Что такое абсцесс печени: симптомы, причины и лечение
Что это такое? Абсцесс печени — это ограниченная полость в органе разных размеров и наполненная гноем. У большинства пациентов абсцесс диагностируется как вторичное заболевание, то есть возникает в результате негативного влияния других патологий. Патология чаще выявляется у лиц от 30 до 45 лет, у детей бывает в очень редких случаях. Прогноз течения болезни всегда очень серьезный и полное выздоровление пациента зависит от ряда сопутствующих патологии факторов.
Абсцесс печени является опасным заболеванием. При единичном гнойном поражении положительный эффект от лечения наблюдается почти у всех больных, но конечно если терапия производилась своевременно. А множественные гнойные образования печени часто имеют летальный исход.
Причины возникновения
Что это такое? Абсцессу печени больше подвержены люди пожилого возраста, длительное время страдающие воспалительными заболеваниями пищевой и гепатобиллиарной системы. Причиной абсцесса печени могут быть бактерии и паразиты (амебы).
В зависимости от пути проникновения инфекции различают такие формы абсцессов печени:
- холангиогенные — инфекция попадает в клетки печени с желчевыводящих путей;
- гематогенные — инфекция распространяется с током крови по сосудам организма;
- контактные и посттравматические — возникают после открытых и закрытых травм живота;
- криптогенные — источник инфекции не установлен.
Бактериальная микрофлора является причиной развития недуга в 50% всех случаев. Стрептококк, стафилококк и смесь микроорганизмов обнаруживаются при бактериальном посеве.
Согласно кодировке МКБ-10 (международной кодировке болезней десятого пересмотра), абсцесс печени зашифрован под пунктом К75.
Врачи отмечают, что абсцесс печени является серьезным заболеванием, требующим своевременной диагностики и лечения. Основные причины его возникновения включают бактериальные инфекции, паразитарные заболевания и осложнения после операций. Специалисты подчеркивают важность раннего выявления симптомов, таких как боль в правом подреберье, лихорадка и желтуха. Для диагностики используются ультразвуковое исследование и компьютерная томография, которые помогают точно определить размер и локализацию абсцесса. Лечение может включать антибиотикотерапию и, в некоторых случаях, хирургическое вмешательство. Врачи акцентируют внимание на необходимости регулярного мониторинга состояния пациента, чтобы избежать возможных осложнений.
https://youtube.com/watch?v=GcIYl10SF40
Классификация
Абсцессы печени подразделяются на следующие группы видов.
- Первичные и вторичные.
- Осложненные нагноительным процессом или не осложненные.
- Одиночные и множественные.
- Пиогенные и амебные.
К осложнениям относят различные нетипичные явления, происходящие с нагноившимися участками: прежде всего, это сепсис, гнойный перикардит, эмпиема плевры. Так же заболевание может иметь осложнения в виде поддиафрагмального абсцесса, и прорыва последнего в плевральную или брюшную полости.
Симптомы абсцесса печени
При абсцессе печени основные симптомы могут проявляться следующим образом: высокая температура тела;
- постоянные, ноющие, тупые, отдающие в правое плечо, лопатку;
- гепатомегалия, озноб, «гусиная кожа» 2-3 раза в сутки;
- снижение аппетита, тошнота, возможна рвота;
- значительное учащение пульса;
- болезненность в проекции печени,
- быстрая потеря веса, обусловленная явлениями интоксикации и диспептическими расстройствами;
- желтушность кожи, склер, потемнение мочи землистый цвет лица.
Симптомы столь серьезной патологии могут сопровождаться заражением крови и судорогами. У пациента в большинстве случаев происходит скопление жидкости в брюшной полости, в результате чего живот значительно увеличивается в размерах (особенно это заметно на фоне сильной худобы, обусловленной потерей веса на фоне интоксикации).
Абсцесс печени — это серьезное заболевание, которое вызывает множество обсуждений среди пациентов и медицинских специалистов. Люди, столкнувшиеся с этой проблемой, часто делятся своими переживаниями и опытом лечения. Многие отмечают, что симптомы, такие как боль в правом подреберье, высокая температура и слабость, могут быть очень тревожными. Некоторые пациенты рассказывают о том, как долго искали правильный диагноз, поскольку проявления абсцесса могут быть схожи с другими заболеваниями.
Важным аспектом является лечение: многие делятся положительным опытом после дренирования абсцесса и назначения антибиотиков. Однако не все так просто — некоторые пациенты сталкиваются с рецидивами и необходимостью повторных процедур. В обсуждениях также поднимается вопрос о профилактике, и многие советуют обращать внимание на здоровье печени и избегать факторов риска, таких как злоупотребление алкоголем и инфекции. В целом, опыт людей с абсцессом печени подчеркивает важность своевременной диагностики и адекватного лечения.
https://youtube.com/watch?v=lqHoFERcVJk
Амебный абсцесс печени
Заболевания, вызванные Entamoeba histolytica (дизентерийная амеба) в основном распространены в странах с жарким и тропическим климатом: Азии, Африки и Южной Америки, где амебные абсцессы составляют 80—90% гнойных поражений печени.
Возбудитель существует в трех формах:
| Просветная форма. | Находится в просвете кишечника. Является переходной между зрелой формой и цистой. Питается бактериями. Может выявляться и у больного, и у носителя инфекции. |
| Вегетативная или зрелая форма. | Обладает большими размерами, встречается только у больных людей. Размножается в толстом кишечнике, образуя язвы, а также поражает эритроциты больного. |
| Циста. | Временная форма существования паразита в неблагоприятных условиях внешней среды. Эта форма не обладает патогенными свойствами, может быть обнаружена и у больного, и у носителя. Выводится с калом наружу. |
При амебном заболевании кишечника поражение печени встречается, по разным данным, в 1–25% случаях. Однако, явных кишечных проявлений при амебиазе может и не быть.
Диагностика
Первым этапом диагностики абсцесса печени является тщательное обследование, проведенное врачом. Он может выявить увеличение печени (при пальпации), желтуху (например, в виде желтизны кожи или глаз), учащенное сердцебиение и потливость кожи. Для выявления абсцесса печени врач назначает анализы крови. В результатах обычно наблюдается значительное повышение концентрации лейкоцитов в крови из-за сопутствующей бактериальной инфекции, также увеличены показатели воспаления, такие как белок острой фазы СРБ.
Доктор может назначить другие исследования:
- Выращивание бактерий из образца крови позволяет в 50% случаев обнаружить микроб, ответственный за появление абсцесса печени. Материал для исследования берется с помощью прокола стенки брюшной полости и извлечения жидкости из пораженного места печени. Затем образец отправляется на микробиологические исследования на наличие колоний бактерий, аэробных и анаэробных бактерий. Не рекомендуется забор проб содержимого абсцесса с ранее заложенного дренажа.
- При проведении рентгенографии в проекции печени выявляется полость с уровнем жидкости (гной) и газовым пузырем над ним. Также при этом можно определить некоторые реактивные изменения со стороны органов правой части грудной полости — высокое стояние и ограничение подвижности купола диафрагмы, жидкость в плевральной полости, признаки пневмонии в правом легком. Эти рентгенологические симптомы не характерны именно для печеночного абсцесса, но их присутствие позволяет заподозрить патологический процесс в печени.
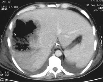
- Компьютерная томография или УЗИ позволяют визуализировать пространство с гнойной жидкостью в печени вместе с сопутствующим отеком. Опытный специалист должен отличить абсцесс печени от возможных опухолей или кист.
Прочие лабораторные исследования могут выявить повышение концентрации билирубина и ферментов в печени. При таком заболевании повреждаются гепатоциты, которые выпускают в этом случае в кровь вещества, являющиеся показателями их повреждения.
https://youtube.com/watch?v=SIvrqgdZ-aA
Лечение абсцесса печени
В случае неосложненного процесса, лечение даёт хорошие шансы на выздоровление. Если же развиваются осложнения — прогноз становится неблагоприятным, и возрастает вероятность летального исхода.
Медикаментозная терапия
В случаях пиогенных бактериальных абсцессов в состав комплексного лечения входит антибактериальная терапия. Как правило, она дополняет хирургические методы дренирования гнойника.
Изолированное использование консервативного лечения проводится редко, лишь в случаях, когда пациент не перенесет операции или когда у него множественные абсцессы, которые невозможно раздренировать. В этих случаях больным требуется много месяцев антибактериальной терапии с постоянным и тщательным наблюдением на предмет развития осложнений. Чаще всего антибиотики назначают в дополнение к хирургическому лечению.
До получения результатов посева крови или содержимого полости гнойника и определения вида возбудителя врачи назначают антибиотики широкого спектра действия — карбапенемы, цефалоспорины третьего поколения и метронидазол. После получения результатов микробиологического обследования лечение меняют, назначая препараты на основании определения чувствительности к ним. Длительность антибактериальной терапии может составлять от 6 недель (при одиночном и хорошо дренированном абсцессе) до 3 месяцев (при множественных абсцессах печени).
- В случае амебного абсцесса печени у 90-95% пациентов удается добиться выздоровления без хирургического вмешательства. Им назначают метронидазол. У большинства пациентов улучшение наступает в течение 72-96 часов. В случае неэффективности метронидазола применяют хлорохин, к которому иногда добавляют эметин или дигидроэметин. После успешного лечения амебного абсцесса врачи назначают дилоксанида фуроат, который уничтожает амебы в кишечнике.
- В случае грибковых абсцессов проводится системная противогрибковая терапия. Это лечение является дополнением к хирургическому дренированию полости гнойника. Врачи чаще всего назначают Амфотерицин В или Флуконазол.
Кроме антибактериальной или противогрибковой терапии, пациентам с печеночным абсцессом может понадобиться инфузионная терапия (для коррекции водно-электролитного баланса), обезболивающие препараты и устранение дефицита питательных веществ.
Хирургическое лечение
Операция проводится в случае неэффективности медикаментозного в течение 4 — 6 месяцев или при наличии осложнений по острым медицинским показаниям.
- Чрезкожное дренирование абсцесса печени — в полость абсцесса вводится две резиновые трубки, в одну подается жидкость, содержащая антибиотики, из другой выходи содержимое. Процедура длительная и занимает 3 — 4 дня;
- Лапаротомия — средины разрез брюшной полости. Выполняется при наличии множественных абсцессов печени или при развитии осложнений. В операционную рану выводится печень, полости всех абсцессов вскрываются, содержимое из них аспирируется специальным прибором аспиратором. Пустая, высушенная полость иссекается до здоровой ткани органа и затем ушивается.
Помните, что при данном заболевании народными методами лечения пользоваться запрещено.
Диета
При установленном диагнозе питание должно быть щадящим, с исключением жирных блюд.
Пища не должна оказывать нагрузки на сам орган, желчные протоки и систему ЖКТ. Необходимо выбирать блюда, содержащие в большом количестве витамины. В послеоперационный период пища должна быть протертой, питаться нужно небольшими порциями.
Осложнения и профилактика
Абсцесс печени страшен именно своими осложнениями. Так, в случаях, когда несвоевременно начато лечение, возможен прорыв абсцесса, кровотечение, что также может спровоцировать заражение крови.
В результате прорыва может образоваться перитонит (воспалительный процесс проходящий в оболочке брюшной полости), эпинема плевры (когда гной скапливается в плевральной области грудины), а также оболочка абсцесса печени может вскрыться и гной имеет вероятность попасть в область следующих органов:
- в брюшную полость;
- кишечник;
- околосердечную сумку;
- бронхи.
Первичная профилактика по предупреждению абсцессов печени заключается в предупреждении и своевременном, грамотном лечении болезней, которые влияют на возникновение гнойника. Паразитарные формы предупреждаются соблюдением личной гигиены, санитарных правил на предприятиях питания.
Вопрос-ответ
Чем опасен абсцесс печени?
Наиболее часто абсцесс осложняет течение аппендицита, желчнокаменной болезни, сепсиса, развиваясь вторично на их фоне при отсутствии своевременного лечения. Причиной подавляющего большинства абсцессов печени является бактериальная инфекция.
Как удаляют абсцесс печени?
При абсцессах небольшого размера (до 3 см в диаметре) гнойник может ликвидироваться без оперативного вмешательства на фоне эффективной антибиотикотерапии. При размерах образования до 80 мм выполняется чрескожное дренирование путем аспирации содержимого шприцем под контролем УЗИ или КТ и медикаментозное лечение.
Советы
СОВЕТ №1
Обратите внимание на симптомы. Если вы испытываете постоянную боль в правом верхнем квадранте живота, лихорадку или желтуху, немедленно обратитесь к врачу. Раннее выявление абсцесса печени может значительно улучшить прогноз.
СОВЕТ №2
Следите за своим здоровьем и образом жизни. Избегайте злоупотребления алкоголем и следите за питанием, чтобы снизить риск заболеваний печени. Регулярные медицинские осмотры помогут выявить возможные проблемы на ранней стадии.
СОВЕТ №3
Не пренебрегайте назначениями врача. Если вам поставили диагноз абсцесс печени, строго следуйте рекомендациям по лечению, включая прием антибиотиков и, при необходимости, хирургическое вмешательство. Это поможет избежать осложнений и ускорить выздоровление.
СОВЕТ №4
Обсуждайте свои опасения с врачом. Если у вас есть вопросы о лечении или восстановлении после абсцесса печени, не стесняйтесь задавать их. Открытое общение с медицинским специалистом поможет вам лучше понять свое состояние и принять активное участие в процессе лечения.




