Арахноидит головного мозга — симптомы и последствия
Арахноидит головного мозга — это воспаление одной из мозговых оболочек, из-за чего она утолщается, в ее тканях образуются спайки, и все это в результате приводит к нарушению нормального движения спинномозговой жидкости.
Она накапливается, спайки трансформируются в опухоль, которая давит на головной мозг, что, как минимум, грозит повышением внутричерепного давления, как максимум — гидроцефалией, инвалидностью и в исключительных случаях летальным исходом. Так что ответ на вопрос: арахноидит — что это такое? — однозначен. Это опасное заболевание, которое можно вылечить, если не игнорировать его симптомы.
Что это такое?
Арахноидит — это тяжелое воспалительное заболевание паутинной оболочки головного или спинного мозга. Симптоматика патологии зависит от ее распространения в мозге и локализации.
Арахноидит необходимо дифференцировать от астении, с которой у него схожие симптомы. Лечение заболевания предусматривает комплексную консервативную (медикаментозную) терапию. При наличии серьезных осложнений больному назначают первую, вторую или третью группу инвалидности.
Врачи отмечают, что арахноидит головного мозга представляет собой серьезное заболевание, которое требует внимательного подхода к диагностике и лечению. Это воспаление арахноидальной оболочки может возникать в результате инфекций, травм или других патологических процессов. Специалисты подчеркивают, что симптомы могут варьироваться от головной боли и нарушений зрения до более серьезных неврологических расстройств.
Важно, что ранняя диагностика и адекватное лечение могут значительно улучшить прогноз для пациентов. Врачи рекомендуют проводить комплексное обследование, включая МРТ и анализы на инфекции, чтобы точно определить причину заболевания. Лечение может включать как медикаментозную терапию, так и хирургическое вмешательство в тяжелых случаях. В целом, врачи акцентируют внимание на необходимости междисциплинарного подхода для достижения наилучших результатов в лечении арахноидита.
https://youtube.com/watch?v=TYr1delfwQ4
Причины возникновения
В каждом втором случае причиной арахноидита являются инфекционные заболевания или гнойные очаговые воспаления (менингит, тонзиллит, грипп, отит), в каждом третьем — черепно-мозговая травма (кровоизлияние, ушиб головного мозга), а в каждом десятом случае точное происхождение патологии установить не удается.
Зато врачи выделяют группы риска, принадлежность к которым повышает степень вероятности развития арахноидита:
- если человек живет в состоянии постоянного стресса, морального переутомления и эмоционального истощения;
- если он очень часто болеет острыми респираторными заболеваниями;
- если человек живет в суровых климатических условиях, к примеру, на Крайнем Севере;
- если его работа при этом связана с тяжелым физическим трудом;
- если организм находится под постоянной химической или алкогольной интоксикацией.
Иногда причиной заболевания становится патологии эндокринной системы и нарушения в обмене веществ.
Патогенез
В паутинной оболочке мозга возникает реактивное воспаление в результате воздействия на него возбудителя или его токсинов, вследствие которого наблюдается нарушение лимфо- и кровообращение. Различают несколько видов заболевания в зависимости от локализации и характера изменений — это церебральный, кистозный, слипчивый, слипчиво-кистозный и спинальный арахноидит. Заболевание может иметь острое, подострое или хроническое течение.
В результате нарушения циркуляции ликвора в некоторых случаях может наблюдаться развитие гидроцефалии:
- окклюзионная гидроцефалия возникает в результате нарушения оттока жидкости из желудочковой системы головного мозга;
- арезорбтивная гидроцефалия может развиться в результате нарушения всасывания жидкости через твердую мозговую оболочку вследствие возникновения слипчивого процесса.
Арахноидит головного мозга — это воспалительное заболевание, которое вызывает интерес и беспокойство у многих людей. В социальных сетях и форумах можно встретить разнообразные мнения о его симптомах и лечении. Некоторые пациенты делятся своим опытом, отмечая, что заболевание проявляется в виде головных болей, нарушений зрения и слуха, а также проблем с координацией. Многие обсуждают сложности в диагностике, так как симптомы могут быть схожи с другими неврологическими расстройствами.
Некоторые пользователи подчеркивают важность раннего обращения к врачу и регулярного наблюдения, чтобы избежать осложнений. В то же время, встречаются и скептики, которые считают, что диагноз ставится слишком часто, и не всегда оправдан. В целом, обсуждения о арахноидите показывают, насколько важно повышать осведомленность о данном заболевании и поддерживать друг друга в трудные времена.
https://youtube.com/watch?v=rSEMy2NLxSY
Классификация
По характеру течения, заболевание разделяют на три формы: острую, подострую и хроническую. В зависимости от того в какой форме протекает патология будет видна та или иная симптоматика.
По месту локализации в головном мозге выделяют следующие виды:локализация зон
- спинальный вид возникает на задней поверхности оболочки спинного мозга, образовывается в результате травмы, проявиться может через какое-то время.
- церебральный арахноидит, образовывается на выпуклой поверхности мозга в заднечерепной ямке/
Церебральный арахноидит, в свою очередь, подразделяется на подвиды:
- арахноидальная киста задней черепной ямки;
- арахноидит мостомозжечкового угла.
- базилярный;
- конвекситальный;
Также ретроцеребеллярный арахноидит может быть:
| Слипчивый тип | представляет собой гнойное воспаление оболочки головного мозга с образованием спаек, которые вызывают сильные боли. |
| Кистозно-слипчивый смешанный тип | при нем наблюдается как слипание тканей мозга, так и образование кистозных наростов. |
| Кистозный тип | характеризуется также воспалением оболочки головного мозга, только с дополнительным образованием на фоне заболевания кисты. |
https://youtube.com/watch?v=MnVEG_gEkJg
Течение воспаления
В большинстве случаев расстройство не ведет к появлению резких болей или повышению температуры, что затрудняет диагностику и оказывается причиной несвоевременного обращения к врачу. Но бывают и исключения.
- Острое течение — наблюдается, например, при арахноидите большой цистерны, сопровождается рвотой, увеличением температуры и сильной головной болью. Такое воспаление излечивается без последствий.
- Подострое — наблюдаемое чаще всего. При этом сочетаются неярко выраженные симптомы общего расстройства — головокружение, бессонница, слабость, и признаки подавления функциональности определенных участков мозга — нарушения слуха, зрения, равновесия и прочее.
- Хроническое — при игнорировании заболевания воспаление быстро переходит в хроническую стадию. При этом признаки общемозгового расстройства становятся все более устойчивыми, а симптомы, связанные с очагом недуга, постепенно усиливаются.
Симптомы арахноидита
Прежде чем говорить о симптомах, которые являются свойственными для арахноидита, необходимо отметить, что признаки заболевания зависят от локализации и делятся на три типа — церебральные, спинальные и цереброспинальные.
Церебральный арахноидит, в первую очередь, характеризуется сильными воспалениями в области оболочки человеческого мозга, а также следующими признаками:
- Слишком сильное мочеиспускание;
- Судороги, а в некоторых случаях и серьезные судорожные припадки;
- Нарушения в органах слуха;
- Повышенная температура тела;
- Проблемы со сном;
- Снижается память и внимание;
- Частичная или полная потеря чувства обоняния;
- Общая слабость организма, а также чрезмерная утомляемость при физических или умственных нагрузках;
- Акроцианоз (кожа приобретает какой-то несвойственный ей синий оттенок);
- Постоянные головокружения, которые сопровождаются мучительными болями голове.
В ситуациях, когда присутствует спинальный арахноидит, наблюдаются практически такие же симптомы, но есть и другие, например, человека беспокоят частые боли в области поясницы, а также возле позвоночного отдела.
Кроме того, пациента беспокоят покалывания в конечностях тела, временные параличи, иногда онемение ног. В наиболее тяжелых случаях человек ощущает нарушения в половых органах, в частности, снижается уровень потенции. Цереброспинальный тип заболевания сочетает в себе симптомы, которые являются характерными как для спинального, так и для церебрального арахноидита.
Диагностика
Воспаление паутинной оболочки мозга диагностируют, сопоставляя клиническую картину заболевания и данные дополнительных исследований:
- обзорной рентгенограммы черепа (признаки внутричерепной гипертензии);
- электроэнцефалографии (изменение биоэлектрических показателей);
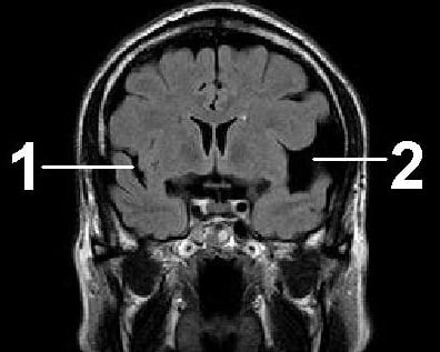
- томографии (компьютерной или магнитно-резонансной) головного мозга (расширение субарахноидального пространства, желудочков и цистерн мозга, иногда кисты в подоболочечном пространстве, спаечный и атрофический процессы при отсутствии очаговых изменений в веществе мозга);
- исследования цереброспинальной жидкости (умеренно повышенное количество лимфоцитов, иногда небольшая белково-клеточная диссоциация, вытекание жидкости под повышенным давлением).
Диагностика арахноидита включает полный неврологический осмотр. В процессе полноценного анализа исследуются рефлексы, вегегатика, чувствительность.
Последствия
Арахноидит может спровоцировать возникновение следующих осложнений:
- судорожные припадки;
- сильное ухудшение зрения;
- стойкая гидроцефалия.
Это довольно серьезные осложнения. Так, при судорожных припадках больному предстоит все время принимать противосудорожные медикаменты. Это последствие арахноидита развивается примерно в 10% случаев и характерно только при тяжелом течении самого заболевания.
В 2% случаев у пациентов, страдающих данных недугом, наблюдается сильное снижение зрения. Крайне редко больные полностью теряют его. Наиболее опасным из осложнений арахноидита является стойкая гидроцефалия, так как она может привести к летальному исходу.
Лечение арахноидита
Терапия арахноидита обычно проводится в стационаре. Она зависит от этиологии и степени активности заболевания. Медикаментозное лечение проводится длительно, курсами, с учетом этиологического фактора и включает:
- Антибактериальные или противовирусные препараты;
- Антигистаминные средства (пипольфен, димедрол, супрастин, кларитин и др.);
- Противосудорожную терапию (карбамазепин, финлепсин);
- Противовоспалительные лекарства, — глюкокортикоиды (особенно, при аллергическом и аутоиммунном характере воспаления);
- Рассасывающее лечение, направленное против спаечного процесса в межоболочечном пространстве (лидаза, румалон, пирогенал);
- Мочегонные средства при гипертензионном синдроме (маннит, диакарб, фуросемид);
- Нейропротекторное лечение (милдронат, церебролизин, ноотропил, витамины группы В).
Поскольку заболевание протекает длительно, сопровождается проявлениями астенизации и эмоциональными расстройствами, ряду больных необходимо назначение антидепрессантов, успокоительных средств, транквилизаторов.
Во всех случаях арахноидита проводится поиск и лечение других очагов бактериальной или вирусной инфекции, поскольку они могут быть источником повторного воспаления оболочек мозга. Помимо антибиотиков, противовирусных средств показаны общеукрепляющие мероприятия, прием поливитаминных комплексов, полноценное питание и адекватный питьевой режим.
Хирургическое вмешательство
Тяжелый оптико-хаозмальный арахноидит или арахноидит задней черепной ямки в случае прогрессирующего снижения зрения или окклюзионной гидроцефалии являются показанием для проведения хирургического лечения.
Операция может заключаться в восстановлении проходимости основных ликворных путей, удалении кист или разъединении спаек, приводящих к сдавлению расположенных рядом мозговых структур.
С целью уменьшения гидроцефалии при арахноидите возможно применение шунтирующих операций, направленных на создание альтернативных путей оттока цереброспинальной жидкости: кистоперитонеальное, вентрикулоперитонеальное или люмбоперитонеальное шунтирование.
Прогноз при арахноидите
В большинстве случаев больные арахноидитом получают третью группу инвалидности. Однако если у них наблюдается сильное ухудшение зрения и часто случаются эпилептические припадки, им могут назначить вторую группу инвалидности.
В первую группу инвалидности входят пациенты с оптико-хиазмальным арахноидитом, который спровоцировал полную слепоту. Больным арахноидитом противопоказана работа на транспорте, на высоте, у огня, в шумных помещениях, в неблагоприятных климатических условиях, с токсическими веществами.
Вопрос-ответ
Чем опасен арахноидит?
Конвекситальный арахноидит. Раздражение, а в случаях образования кисты и сдавление коры и подлежащих отделов мозга при арахноидите вызывают фокальные эпилептические припадки. В тяжёлых случаях могут возникнуть генерализованные судорожные приступы вплоть до развития эпилептического статуса.
Что такое арахноидит мозга?
Арахноидитом называют прогрессирующее заболевание арахноидальной (паутинной) оболочки мозга нейровоспалительного характера. Арахноидит может протекать в разных видах и формах, проявляться многочисленными симптомами очаговой и общемозговой направленности.
Какова ожидаемая продолжительность жизни при арахноидите?
Хотя другие случаи смерти не были напрямую связаны с арахноидитом, средняя продолжительность жизни сократилась на 12 лет. Результаты лечения оказались неутешительными. Арахноидит может приводить к инвалидности, однако долгосрочное наблюдение показывает, что прогрессирование симптомов и функциональные нарушения не являются естественным течением заболевания.
Как МРТ покажет арахноидит головного мозга?
Слипчивый арахноидит характеризуется слипанием нервных корешков и спинного мозга, которые могут выглядеть как слипшиеся пучки на МРТ-снимках. Этот признак лучше всего виден на Т2-взвешенных изображениях. Повышенный сигнал от окружающих тканей на Т2-взвешенных изображениях указывает на отек и воспаление.
Советы
СОВЕТ №1
Обратитесь к врачу при первых симптомах. Если вы испытываете головные боли, нарушения зрения или другие неврологические симптомы, не откладывайте визит к специалисту. Ранняя диагностика может значительно улучшить прогноз и качество жизни.
СОВЕТ №2
Следите за своим состоянием. Ведите дневник симптомов, чтобы отслеживать их частоту и интенсивность. Это поможет вашему врачу лучше понять ваше состояние и выбрать наиболее эффективное лечение.
СОВЕТ №3
Изучите доступные методы лечения. Арахноидит может требовать комплексного подхода, включая медикаментозную терапию, физиотерапию и, в некоторых случаях, хирургическое вмешательство. Обсудите с врачом все возможные варианты и выберите наиболее подходящий для вас.
СОВЕТ №4
Поддерживайте здоровый образ жизни. Правильное питание, регулярные физические упражнения и достаточный сон могут помочь улучшить общее состояние организма и снизить уровень стресса, что важно при хронических заболеваниях.




