Гингивит у взрослых, симптомы и способы лечения
Гингивит является воспалением слизистой десен ротовой полости. Считается легкой и простой формой воспаления, которая легко и быстро лечится. При отсутствии лечения быстро переходит в более сложные формы воспаления, при которых уже начинают задеваться зубы и места соединения зуба и десны.
Характеризуется кровоточивостью, болезненностью и покраснением десен. Изо рта идет неприятный запах. Становится фактором, который беспокоит как детей, так и многих взрослых.
Что это такое?
Гингивит — это воспалительное заболевание десен, проявляющееся покраснением, отеком и кровотечением. Поражает только слизистую оболочку, не затрагивая зубодесневых связок, поэтому зубы сохраняют прочное положение, оттого гингивит считается легким заболеванием десен.
Врачи отмечают, что гингивит у взрослых является распространенной проблемой, часто возникающей из-за недостаточной гигиены полости рта. По их мнению, основными симптомами заболевания являются покраснение, отек и кровоточивость десен. Специалисты подчеркивают важность регулярных визитов к стоматологу и профессиональной чистки зубов, которые помогают предотвратить развитие гингивита и его осложнений. Кроме того, врачи рекомендуют уделять внимание правильной технике чистки зубов и использовать зубную нить для удаления налета в труднодоступных местах. Они также обращают внимание на связь между гингивитом и общим состоянием здоровья, включая диабет и сердечно-сосудистые заболевания, что делает профилактику и своевременное лечение особенно важными.
https://youtube.com/watch?v=u7e28QFnBdo
Причины
Считается, что основной причиной гингивита является микробный налет. Микробный налет появляется при неправильной либо нерегулярной чистке зубов. Микробный налет появляется также вследствие нарушения естественного очищения зубов. Причиной этого нарушения является употребление большого количества углеводов (сладостей), соответственно снижение употребления таких продуктов как овощи и фрукты.
Немаловажную роль в развитии заболевания играет сниженный иммунитет. Это приводит к ослаблению иммунного ответа и развитию большого количества микробов в ротовой полости.
Факторы, которые увеличивают риск развития гингивита:
- Дыхание через рот (не является нормальным). Приводит к накоплению различных микроорганизмов в полости рта. При нормальном дыхании (через нос) микробы обезвреживаются в носовой полости;
- Изменение количества и качества выделяемой слюны. Как правило, при данной патологии в слюне обнаруживается сниженное количество защитных факторов;
- Химическая травма десен — употребление в пищу сильных кислот (уксусная эссенция);
- Механическая травма десен (например, при неаккуратной чистке зубов);
- Гормональные нарушения могут приводить к появлению гипертрофического гингивита;
- Физическая травма десен (как правило, из-за употребления в пищу слишком горячих, или слишком холодных продуктов питания);
- Частые переохлаждения, ангины. Приводят к ослаблению защитных сил организма;
- Аномалии развития зубов (глубокий прикус, скученность зубов).
Воспалительный процесс в деснах развивается следующим образом:
- Первоначальное воспаление (острый гингивит) возникает примерно через 3-4 дня после образования микробного налета на зубах. Если человек обладает хорошим иммунитетом, то заболевание заканчивается через несколько дней. В случае, когда иммунитет не справляется, заболевание принимает затяжной характер.
- Вторичное воспаление (хронический гингивит) возникает через 3-4 недели после острого гингивита. Протекает хронический гингивит по фазам: вначале происходит обострение, которое затем сменяется временной ремиссией (улучшение состояния). Затем фазы повторяются.
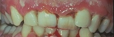
Классификация
Внешние проявления гингивита проявляются его видом. По форме и различию клинической картины заболевание подразделяется на четыре группы:
| язвенно-некротический | характеризуется тяжелым течением, к стандартным проявлениям воспаления десны присоединяется ухудшение состояния, гипертермия, на слизистой оболочки образуются язвочки. |
| катаральный | самая простая форма и проявляется в воспалении межзубных сосочков и маргинальной десны. При этом она становится сглаженной, теряется рельефность, при зондировании возникает кровоточивость и определяется большое количество как мягкого, так и минерализованного налета. |
| атрофический | наблюдается патологический процесс, противоположный предыдущему — происходит убыль мягких тканей, что ведет к образованию рецессий. Заболевание распространено среди детей. |
| гипертрофический | происходит разрастание мягких тканей, из-за чего коронки зубов частично или полностью скрыты десной, которая болит и сильно зудит, а также кровоточит. |
Воспаление десны бывает не только самостоятельным заболеванием — некоторые его формы являются сопутствующими и говорят о присутствии нарушений в функционировании организма.
Гингивит у взрослых — это распространенное заболевание, о котором многие говорят с тревогой. Люди отмечают, что симптомы, такие как покраснение и кровоточивость десен, могут быть не только неприятными, но и сигнализировать о более серьезных проблемах с зубами. Многие делятся опытом, что игнорирование первых признаков гингивита может привести к пародонтиту и потере зубов. Важно отметить, что регулярная гигиена полости рта и посещение стоматолога играют ключевую роль в профилактике. Некоторые пациенты рассказывают, что изменение рациона и отказ от курения значительно улучшили состояние их десен. Обсуждая лечение, люди подчеркивают важность индивидуального подхода и назначения профессиональной чистки. В целом, осведомленность о гингивите и его последствиях помогает многим сохранить здоровье зубов и десен.
https://youtube.com/watch?v=JfTI-es9KSc
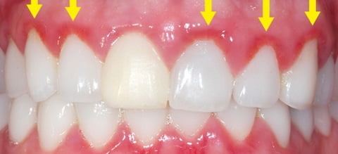
Симптомы гингивита, фото
Есть общие признаки развивающегося гингивита (см. фото), конечно, сложно самостоятельно установить диагноз, не имея специального образования и достаточного опыта диагностирования. Но определить, что воспалительный процесс развивается не в зубе, а в десне, может каждый взрослый человек (патология может проявиться и у детей до трех лет).
Основными симптомами развивающегося воспалительного процесса будут:
- окраснение десны в месте появления очага болезни, что говорит о начале воспалительного процесса;
- отечность десен;
- кровоточивость;
- болевые ощущения, усиливающиеся по мере развития воспаления;
- появление зубных отложений, как следствие этого процесса — неприятный запах из полости рта;
- увеличение объема зубодесневых сосочков (этот симптом может определить только квалифицированный специалист, как и образование ложно-патологических карманов);
- багрово-синий оттенок.
Важно помнить, что это общие симптомы, которые могут проявляться все или группами, в зависимости от того, какой именно вид гингивита присутствует в полости рта и диагностируется специалистом. У отдельных людей симптоматика может проявляться совсем иным образом, вот почему нельзя даже пытаться ставить себе самому диагноз и назначать лечение.
Диагностика
Гингивит необходимо отличать от пародонтита и пародонтоза. Основной признак, отличающий гингивит от других заболеваний пародонта, в том, что воспалительный процесс затрагивает лишь ткань десны, остальные структуры (периодонтальные связки, удерживающие зуб в челюсти, и костная ткань) остаются без изменений. В норме глубина зубодесневого соединения составляет 1—1.5 мм, при деструкции зубодесневого соединения наблюдаются пародонтальные карманы (глубиной 4 мм и более) которые являются признаком пародонтита.
При гингивите не бывает пародонтальных, но бывают ложные пародонтальные карманы, образующиеся при гипертрофической форме гингивита, и вообще при любом отёке десны. Наряду с этим признаком, для гингивита не характерны пародонтальные карманы, обнажение шеек зубов, их подвижность — эти признаки свидетельствуют о поражении костного аппарата. В целях дифференциальной диагностики используется рентгенография — для гингивита нехарактерны изменения высоты межальвеолярных перегородок.
Из передовых технологий можно отметить генетическое тестирование, которое способно показать все риски путем выполнения теста на генетический полиморфизм у предрасположенных лиц к повышенной продукции интерлейкина-1 (ИЛ-1), который является медиатором воспаления.
https://youtube.com/watch?v=YXid5I2vPAM
Лечение гингивита
При воспалении десен, развившемся на фоне плохой гигиены, общее лечение не требуется. В любом случае не будет лишним правильное сбалансированное питание, прием витаминов. Если воспалительный процесс в деснах вызывает изменение самочувствия человека — головную боль, слабость, тошноту, повышение температуры тела, нарушение стула и увеличение лимфатических узлов — необходимо местное лечение сочетать с общим.
Часто назначают (при необходимости) Метронидазол (0,25–3 р./день), Линкомицин (0,25–2 р./день), Бисептол (2 таблетки 2 р./день), Дифлюкан (1 р./день), Бифиформ (2 капсулы 1 р./день) на курсовой прием и другие препараты. Часто гингивит может протекать на фоне таких заболеваний, как стоматит, тонзиллит, ангина, поэтому выбор лекарственных средств для его лечения лучше оставить специалисту.
Лечение хронического гингивита:
- Профессиональная гигиена: удаление твердого и мягкого зубного налета;
- Обучение гигиене полости рта и подбор индивидуальных средств чистки зубов, контроль усвоенных навыков в последующем;
- Общеукрепляющая терапия: витамины, препараты, улучшающие кровообращение;
- Лечение больных зубов;
- Местная терапия: применение антисептических, противовоспалительных мазей, гелей, ополаскивателей;
- Если необходимо, исправление прикуса или вставление отсутствующих зубов.
Лечение острого гингивита отличается тем, что на первое место выходит антимикробная и противовоспалительная терапия. После того, как спадет отек и десна перестанет болеть, с катаральным гингивитом начинают бороться так же, как описано выше.
Лечение гипертрофического гингивита
В таком случае план лечения соответствует плану лечения катарального гингивита, однако после этапа санации патологических зубов идет хирургическое удаление чрезмерного разрастания десен.
При этом до проведения операции фиброзный гипертрофический гингивит лечится по типу хронического катарального, отечный — по типу острого катарального. При наличии лейкоза выполняется исключительно симптоматическое лечение, разрастание десен не удаляется.
Лечение язвенного гингивита
Схема лечения заключается в следующем:
- Обработка язв: вначале делается обезболивание, затем с помощью ферментов и инструментов десна очищается от язв;
- Борьба с зубными отложениями. Этот этап включает в себя обязательную антисептическую обработку всей полости рта и поверхностное обезболивание с помощью геля;
- Прием антибиотиков (метронидазол внутрь);
- Местная антибактериальная терапия с помощью метронидазола;
- После начала заживления используют местные ранозаживляющие препараты (масляные растворы витаминов А, Е, облепихи);
- Противовоспалительная терапия;
- Противоаллергические препараты;
- После выздоровления — лечение больных зубов;
- Общеукрепляющая терапия: витамины, возможно назначение иммуномодуляторов.
При язвенном гингивите обязаны выдать листок нетрудоспособности (больничный) на несколько дней.
Терапия у беременных
С лечением беременных традиционно возникают проблемы, так как большинство лекарственных препаратов не рекомендованы в этом положении. Поэтому терапия гингивита должна быть в первую очередь безопасной.
Схема лечения гингивита беременных:
- Начинают с удаления зубного камня при помощи ультразвука, это абсолютно безопасно для малыша, хотя некоторые заблуждаются, считая ультразвуковые волны вредными.
- Растительные препараты для обработки полости рта. Как для лечения, так и для профилактики рекомендованы полоскания полости рта отваром коры дуба. Наиболее хорошо себя зарекомендовал препарат Мараславин. Это сбор пяти растительных ингредиентов, которые обладают противовоспалительным, антисептическим действием, уменьшают отек и кровоточивость десен. Раствор разводят с водой один к одному, и полощут ротовую полость 3 раза в сутки.
- Безопасны растворы для полоскания полости рта Хлоргексидин и Фурацилин.
- При сильной кровоточивости десен можно применять: перекись водорода или аппликации Гепариновой мазью и Аспирином.
- Физиотерапия в области десен также безопасна для будущей матери и малыша.
- Важно соблюдать правила гигиены полости рта. С самого начала беременности хорошо использовать антибактериальные зубные пасты, которые лучше справляются с зубными налетами. А если эта паста еще содержит и растительные противовоспалительные ингредиенты, то это идеальный вариант.
Такие пасты есть в сериях «Лакалют», «Пародонтол», «Президент» и многих других торговых марок. Для полоскания ротовой полости после приема пищи рекомендовано использование бальзамов-ополаскивателей на растительной основе.
Зубные пасты
Как бы больно и неприятно ни было, но болеющему необходимо чистить зубы два раза в день. Запрещается щадить и травмировать, поэтому зубную щетку нужно брать средней жесткости. Зубную пасту следует выбирать с противовоспалительным и лечебным эффектом, в ее составе должны быть шалфей, ромашка, календула, тысячелистник. Они снижают отечность и кровоточивость, укрепляют десны.
Отбеливающие зубные пасты не применяются при гингивите, так как в них содержатся абразивные вещества, которые наносят травму при чистке, их следует отложить до того времени, пока десны вновь не станут здоровыми.
Мази и гели
Локально применяют мази и гели, они снижают воспаление и облегчают симптомы. Мази «Солкосерил» и «Метрагил дента» на длительное время снимают зуд и болевые ощущения. Создаваемая ими тонкая пленка защищает от температурных и химических раздражителей, благодаря этому предотвращается возникновение неприятных ощущений.
Правила питания
Рацион питания страдающего гингивитом должен включать как можно больше свежих фруктов и овощей.
- Яблоки и груши содержат пектин и микроэлементы, ускоряющие процесс регенерации.
- Большое количество витамина С, способствующего укреплению сосудов и снижению степени кровоточивости, содержится в цитрусовых.
- Овощи богаты клетчаткой и антиоксидантами. Включив в меню капусту, морковь и кабачки, можно ускорить обменные процессы в организме и сократить время регенерации (заживления) десны.
- Ягоды (ежевика, смородина, малина) обогащают организм витаминами и минералами, повышая его общий иммунитет.
Не следует в больших количествах принимать пищу с содержанием быстрых углеводов (мучные продукты, картофель, сладости), так как они способствуют образованию мягкого зубного налета.
Народные средства
Для ускорения лечения можно применять различные полоскания и ванночки из отвара целебных трав. Рецепты для приготовления настоя:
- Вяжущими свойствами обладают чистотел и кора дуба. Они снимают отечность и кровоточивость при воспалении десен. Используются измельченная кора дуба и сушеная трава чистотела. Для приготовления настоя они смешиваются: по две столовые ложки каждой заливаются двумя стаканами кипятка. После того как настой остынет при комнатной температуре, полоскать ротовую полость необходимо четыре раза в день пока симптомы сохраняются.
- Столовую ложку шалфея залить 200 мл кипятка и настаивать в течение 20 минут. Дождаться, когда отвар остынет и после каждого приема пищи полоскать полость рта. Также можно приготовить настой из ромашки. Она обладает бактерицидными свойствами и ускоряет процесс заживления десны.
Если применяете народную медицину, то обсудите свои действия с пародонтологом. Советами от непросвещенных лиц следует пренебречь.
Профилактика
Профилактика довольно проста и каждый, при желании, сможет защитить себя от воспалительных заболеваний десен. Нужно, всего лишь, придерживаться нескольких простых правил:
- использование электрических зубных щёток;
- соблюдение гигиены полости рта (зубные пасты, гели, ополаскиватели);
- отказ от курения;
- стоматологические гели с метронидазолом, например «Метрогил Дента»;
- амбазон, 2,4-дихлорбензиловый спирт, амилметакрезол в виде таблеток для рассасывания;
- применение зубных паст с триклозаном;
- употребление препаратов кальция;
- полоскание полости рта растворами содержащими хлоргексидин, пероксид водорода, этанол, тимол, цинеол, метилсалицилат, ментол, метилпарабен, бензалкония хлорид, фториды и ксилит. Последние научные исследования также показали благотворное воздействие жидкостей для полоскания рта с эфирными маслами.
Указанные выше профилактические меры также используются и для лечения. Применение зубной нити нецелесообразно.
Вопрос-ответ
Какие симптомы гингивита у взрослых?
Симптомы гингивита могут включать покраснение и отечность десен, кровоточивость при чистке зубов, неприятный запах изо рта, а также болезненные ощущения в области десен. В некоторых случаях может наблюдаться образование карманов между деснами и зубами.
Каковы основные причины развития гингивита?
Основной причиной гингивита является накопление зубного налета, который содержит бактерии. Другие факторы, способствующие развитию заболевания, включают курение, недостаточную гигиену полости рта, гормональные изменения, стресс и некоторые заболевания, такие как диабет.
Как лечить гингивит у взрослых?
Лечение гингивита обычно включает профессиональную чистку зубов у стоматолога, улучшение гигиенических привычек, таких как регулярная чистка зубов и использование зубной нити. В некоторых случаях могут быть назначены антисептические растворы или антибиотики для борьбы с инфекцией.
Советы
СОВЕТ №1
Регулярно посещайте стоматолога для профилактических осмотров и профессиональной чистки зубов. Это поможет выявить гингивит на ранней стадии и предотвратить его развитие.
СОВЕТ №2
Обратите внимание на свою гигиену полости рта. Чистите зубы дважды в день и используйте зубную нить, чтобы удалить налет и остатки пищи из труднодоступных мест.
СОВЕТ №3
Соблюдайте сбалансированную диету, богатую витаминами и минералами, особенно витамином C, который способствует здоровью десен. Избегайте избыточного потребления сахара и кислых продуктов.
СОВЕТ №4
Если у вас уже есть симптомы гингивита, такие как кровоточивость десен или неприятный запах изо рта, не откладывайте визит к стоматологу. Раннее лечение поможет избежать серьезных осложнений.







