Хламидиоз: симптомы у женщин и схема лечения
Генитальный хламидиоз — коварное заболевание, которое часто становится причиной женского бесплодия и срыва беременности среди женщин. Провоцируют возникновение венерического заболевания грамотрицательные бактерии — хламидии. Передается заболевание чаще половым путем, реже — бытовым. Например, через белье, предметы гигиены, банные принадлежности при условии их использования больным человеком.
Симптомы болезни у женщин отличаются от признаков, возникающих у мужчин. При этом они могут быть самыми различными. Нередко заболевание протекает без каких-либо симптомов, что приводит к его осложнению. О хламидиозе крайне необходимо знать женщинам, которым небезразлично свое здоровье.
Что это такое?
Хламидиоз — заболевание инфекционного характера, причиной которого являются внутриклеточные паразиты — хламидии, поражающие органы мочеполовой системы.
Врачи отмечают, что хламидиоз у женщин является одной из наиболее распространенных инфекций, передающихся половым путем. Эта болезнь часто протекает бессимптомно, что затрудняет ее своевременную диагностику и лечение. Специалисты подчеркивают важность регулярных обследований, особенно для женщин в репродуктивном возрасте. При отсутствии лечения хламидиоз может привести к серьезным осложнениям, таким как воспалительные заболевания органов малого таза, бесплодие и повышенный риск внематочной беременности. Врачи рекомендуют использовать барьерные методы контрацепции и проходить тестирование на инфекции, чтобы снизить риск заражения. Своевременное обращение к специалисту и соблюдение рекомендаций помогут предотвратить негативные последствия и сохранить здоровье.
https://youtube.com/watch?v=_z1pujMo3_o
Причины и факторы риска
Возбудителями хламидиоза у женщин являются внутриклеточные микроорганизмы Chlamydia trachomatis. Эти бактерии могут длительное время находится в организме человека, не вызывая клинических проявлений, в случае же ослабления защитных сил организма хламидии начинают усиленную жизнедеятельность и рост, вызывая признаки хламидиоза у женщин. Наиболее частым путем передачи хламидиоза является половой — как при традиционном, так и при нетрадиционных видах незащищенного полового акта.
Кроме того, передача хламидиоза может произойти на этапе внутриутробного развития или во время родов от матери к ребенку при прохождении плода через родовые пути. Наблюдается и контактно-бытовой путь передачи заболевания — через контаминированные инфицированными выделениями руки, предметы индивидуальной гигиены, постельное белье и пр. Такие случаи заражения редки, так как хламидии вне организма быстро погибают. Известны случаи передачи хламидиоза во время гемотрансфузий.
Первые признаки
Чаще заражение хламидиями не дает симптомов, но в некоторых случаях наблюдаются определенные жалобы.
Первые признаки хламидиоза у женщин:
- Чувство небольшой болезненности и дискомфорт при мочеиспускании;
- Ощущение повышенной влажности половых органов;
- Чувство жжения в области наружных половых органов и зуд в мочеиспускательном канале;
- Слизисто-гнойные выделения из влагалища. При осмотре выделения появляются при надавливании на пораженный участок;
- Тянущие боли в нижней области живота;
- Дефект в виде эрозии в области шейки матки;
- Тяжесть и боль в поясничном отделе позвоночника;
- Нарушение менструального цикла;
- Общая слабость и повышение температуры тела.
Так же может возникнуть хламидийный конъюнктивит, при вовлечении глаз в патологический процесс.
Хламидиоз у женщин — тема, вызывающая много обсуждений и мнений. Многие женщины, столкнувшиеся с этой инфекцией, отмечают, что первоначально не испытывают никаких симптомов, что делает диагностику сложной. Это приводит к тому, что заболевание может прогрессировать и вызывать серьезные осложнения, такие как воспаление органов малого таза. Некоторые женщины делятся опытом, как важно проходить регулярные обследования, даже если ничего не беспокоит. В социальных сетях можно встретить истории о том, как открытое обсуждение хламидиоза помогло другим женщинам не бояться обращаться к врачу. Также многие подчеркивают необходимость повышения осведомленности о безопасных методах контрацепции, чтобы предотвратить распространение инфекции. В целом, хламидиоз остается актуальной проблемой, требующей внимания и открытого диалога.
https://youtube.com/watch?v=DRlP6u6Tc0c
Симптомы хламидиоза у женщин
Это заболевание может многие годы протекать бессимптомно, признаки заболевания обнаруживаются только у 30–40 % женщин. Однако скрытое течение процесса вовсе не безопасно: хламидиоз, даже протекающий без каких-либо симптомов, может стать причиной многих осложнений вплоть до бесплодия. Инкубационный период заболевания составляет 2–4 недели, поэтому появление каких-либо симптомов часто не связывается с половыми контактами, имевшими место в прошлом.
В зависимости от пораженного инфекцией органа, возникают различные заболевания и проявляются явные симптомы.
- Уретрит — поражение хламидиями мочеиспускательного канала с развитием жжения и боли при справлении малой нужды.
- Бартолинит — воспалительные процессы в бартолиниевой железе, которая находится с двух сторон у входа во влагалище. Проявляется болью, отеком и покраснением со стороны поражения, повышением температуры тела.
- Эрозия и воспаление шейки матки (эндоцервицит), сопровождающиеся тянущими болями внизу живота, появлением слизисто-гнойных выделений, нередко кровомазаньем после полового акта.
- Сальпингит и аднексит — воспаление маточных труб и яичников (часто это сочетанная патология). Боли в правом или левом боку, нарушения менструального цикла, повышение температуры тела — такие симптомы позволяют заподозрить хламидиоз придатков у женщин.
- Эндометрит (воспаление внутреннего слоя матки) — характерные симптомы: высокая температура тела, маточные кровотечения, слизисто-гнойные выделения, выраженной болью за лобком.
- Хламидийный фарингит — возникает при инфицировании во время орального секса. Характеризуется першением в горле, болями при глотании.
- Пельвиоперитонит — поражение брюшины в области малого таза. При этом возникают довольно резкие боли в животе, запор, вздутие живота, напряжение брюшной стенки.
- Артрит (синдром Рейтера) — хронический хламидиоз у женщин может привести к аутоиммунному воспалению суставов.
- Хламидийный проктит — воспаление прямокишечной слизистой оболочки (после незащищенных анальных контактов) с появлением болей, слизисто-гнойных выделений из ануса.
- Воспаление легких — первые признаки хламидийного воспаления характеризует кашель, боли в грудной клетке, одышка, повышение температуры тела.
- Конъюнктивит — поражение глаз с развитием слезотечения, покраснения, жжения. Развивается при заносе инфекции в глаза грязными руками, при совместном использовании полотенец.
Само по себе заражение может протекать скрыто — первые симптомы возникнут вместе со спровоцированными инфекцией болезнями!
Диагностика
Методики, помогающие диагностировать хламидиоз:
- Бактериологический посев микрофлоры. Определяется наличие бактерий. Для него может использоваться кровь, моча, половые выделения.
- ПЦР. Полимеразная цепная реакция в течение нескольких часов поможет установить возбудителя болезни даже по одному маленькому фрагменту, если таковой находился в исходном материале.
- РИФ. Анализ реакции иммунофлюоресценции путем окрашивания материала специальным реагентом. Флюоресцентный микроскоп при наличии хламидий высветит их.
- ИФА. С помощью иммуноферментного анализа крови определяют антитела к хламидиям. Уточняется, в какой стадии находится заболевание.
- Мазок. Небольшое количество выделений из мочеиспускательного канала, влагалища рассматривают с помощью микроскопа.
Лабораторные исследования имеют большое значение для постановки правильного диагноза, так как имеющийся хламидиоз: невыраженные симптомы у женщин встречаются очень часто, протекают в скрытой форме. Анализ крови, мазок из влагалища сдают в несколько этапов — в начале лечения и контрольный по окончании.
https://youtube.com/watch?v=fkeQHb7Z8-o
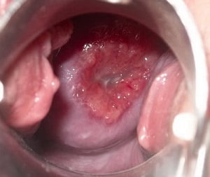
Как выглядит хламидиоз: фото
На фото ниже показано, как проявляется заболевание у женщин.
Что будет, если не лечить?
Осложнения хламидиоза у женщин:
- Спаечный процесс приводит к возникновению хронических болей в области малого таза.
- Сальпингоофорит осложняется пельвиоперитонитом — воспалением брюшины малого таза. Острая фаза болезни протекает с высокой температурой тела и сильными болями внизу живота. При переходе болезни в хроническую фазу течения острота клинических симптомов сглаживается.
- При распространении инфекции в верхнюю область брюшной полости появляются сильные боли в правом подреберье, что говорит о поражении капсулы печени (синдром Фитца-Хью-Куртиса). Развитие мощного спаечного процесса приводит к хроническим болям в верхнем этаже брюшной полости.
- Хроническое воспалительное заболевание шейки матки, тазовых органов, органов брюшной полости — грозные осложнения хламидиоза у женщин. Множественные спайки являются причиной развития патологии беременности и инфицированию плода либо во время беременности, либо во время родов.
- У некоторых хламидий обнаружен белок теплового шока, способный вызывать аутоиммунные реакции. У таких больных развивается синдром Рейтера, при котором воспаление влагалища сочетается с реактивным артритом одного или нескольких суставов и воспалением слизистой оболочки глаза (конъюнктивит). Синдром развивается в 20 раз чаще у мужчин.
Чаще всего хламидиоз у женщин часто протекает со сглаженной симптоматикой и принимает хроническую форму с минимальным количеством внешних проявлений, оказывая значительное воздействие на репродуктивную систему человека.
Нужно ли лечиться половому партнеру (мужу, парню)?
Если у вас был обнаружен хламидиоз, обязательно сообщите об этом своему сексуальному партнеру. Ему необходимо обратиться к урологу и сдать анализы на венерические инфекции.
Даже если у вашего партнера хламидия не будет обнаружена, ему все равно нужно пройти курс лечения.
Лечение хламидиоза у женщин
Проблему комплексного лечения хламидийной инфекции у женщин следует решать с учетом клинической картины у пациентки. Готовых алгоритмов, общих схем лечения хламидиоза у женщин нет, поскольку в каждом конкретном случае стоит учитывать состояние иммунитета, сопутствующие заболевания, состояние микрофлоры кишечника.
Любая бактериальная инфекция, и хламидиоз в том числе, требует применения антибиотиков. Поскольку возбудитель инфекции паразитирует внутриклеточно, то и выбор антибиотиков при лечении хламидиоза должен ограничиваться только такими антимикробными средствами, которые способны уничтожить инфекцию внутри клеток:
- Тетрациклины: Доксициклин — Юнидокс солютаб, Дорикс, Вибрамицин, Вибра-Табс.
- Макролиды: Азитромицин (Сумамед, Зитромакс, Хемомицин), Джозамицин (Вильпрафен) и Кларитромицин (Кларбакт, Фромилид Уно)
- Фторхинолоны: Офлоксацин (Флоксин, Заноцин, Таривид, Офлоксин), Левофлоксацин (Таваник, Глево, Левостар, Флексид), Ципрофлоксацин (Цифран, ципробай, ципринол, Ципро-бид), Спирамицин (Ровамицин), Норфлоксацин (Нолицин, норбактин), Ломефлоксацин (Ломфлокс), Спарфлоксацин (Спарфло).
Обязательно должно учитываться наличие сопутствующих инфекций, передающихся половым путем, для того чтобы выбор антибиотика был максимально эффективен при наличии смешанной инфекции.
Существуют Европейские рекомендации лечения хламидиоза, согласно которым назначается:
- Азитромицин 500 мг 2 табл. однократно, или Доксициклин 0,1 дважды в сутки 7 дней.
- При такой схеме эффективность лечения достигает 97%.
Второй ряд:
- Эритромицин 500 мг 4 раза в сутки черехз 6 часов 7 суток
- Офлоксацин 300 мг дважды в сутки через 12 часов на 7 дней
- Рокситромицин 150 мг дважды в сутки через 12 часов 7 дней
- Спирамицин 3 млн Ед каждые 8 часов 7 дней
Для беременных:
- Эритромицин 500 мг через 6 часов 4 раза в сутки 7 дней
- Джозамицин 750 мг 3 раза в сутки через 8 часов 7 дней
- Спирамицин 3 млн Ед через 8 часов 3 раза в сутки 7 дней.
Вся информация о препаратах и схемах лечения предназначена только для ознакомления. Лечение хламидиоза осуществляется только квалифицированным специалистом на основании результатов анализов, анамнеза пациентки, в динамике с учетом критериев излеченности.
Иммуномодуляторы
Являются важной составляющей эффективной терапии хламидиоза и применяются при острых и хронических хламидийных инфекциях. К ним относятся: «Метилурацил», «Тималин», «Таквитин», «Лизоцим», «Виферон», «Полиоксидоний», «Циклоферон».
В последнее время для лечения женского хламидиоза очень широко используется препарат «Полиоксидоний», особенно если присутствует атипичная форма урогенитального хламидиоза. «Полиоксидоний» способствует повышению выработки антител, а также уменьшает побочные действия других препаратов, сокращает период выздоровления, увеличивает резистентность организма к другим инфекциям.
Но стоит помнить, что категорически запрещен самостоятельный прием каких-либо препаратов, а особенно иммуномодуляторов.
Схемы лечения хламидиоза у женщин
Эффективное лечение инфекции у женщин основано на приеме препаратов, которые уничтожают хламидии или угнетают рост микроорганизмов. Врач дает общую оценку состояния организма пациентки, выявляет сопутствующие заболевания, чтобы назначить правильную терапию.
Схемы лечения хламидиоза у женщин:
- Вялотекущего хламидиоза. В первые две недели проводится иммунотерапия, системная энзимотерапия. Потом врач выписывает антибиотики, поливитамины, противогрибковые средства. Для восстановления и поддержки организма гинеколог назначает физпроцедуры, местное лечение, пробиотики, гепатопротекторы. Схема лечения с начала приема антибиотиков идентична схеме острого хламидиоза.
- Острого хламидиоза. Назначаются препараты: антибиотик доксициклин (3 недели по 100 мг 2 раза в день), иммуномодулятор по выбору врача, поливитамины. По истечению 7 дней проводится системная энзимотерапия. Если наличествуют грибковые инфекции, применяются препараты «Флуконазол», «Нистатин». В комплексе с лечебными средствами выписываются пробиотики, гепатопротекторы, назначаются физпроцедуры, местное лечение.
- Хронического хламидиоза. В течение двух недель проводится индуктотерапия, назначается «Амиксин» на 30 дней (через день). Проводится системная энзимотерапия (2 недели). Через 10 дней после начала лечения инфекции назначаются антибиотики (количество препарата идентично количеству при терапии острого заболевания), поливитамины. Проводится физиотерапия, используются гепатопротекторы. Лечение хронического хламидиоза у женщин может сопровождаться приемом препаратов гиалуронидазы (например, «Лонгидаза» по 1 свече раз в 10 дней).
Профилактика
Для эффективной профилактики необходимо знать и выполнять следующие правила:
- Исключить беспорядочные половые связи.
- Обязательное использование презервативов при любых видах секса.
- Помнить, что существуют другие пути заражения хламидиями кроме полового, и быть настороженной в этом отношении.
- Помнить, что даже один незащищённый половой контакт приводит к заражению хламидиями.
- Обязательное обследование после незащищённого полового контакта на наличие венерических инфекций.
- Если диагностирован хламидиоз, необходимо прекратить половые контакты, оповестить половых партнёров, ужесточить личную гигиену, принять все меры в отношении живущих рядом членов семьи для их защиты от заражения бытовым путём.
Хламидиоз, исходя из вышеперечисленного, легче предотвратить, чем лечить.
Вопрос-ответ
Чем опасна хламидия у женщин?
Чем опасен хламидиоз? Осложнения могут привести к развитию синдрома Рейтера, который характеризуется целой триадой симптомов таких болезней, как уретрит, конъюнктивит и артрит, а также к сужению мочеиспускательного канала и воспалительным заболеваниям органов малого таза.
Как гинеколог определяет хламидиоз?
ПЦР-тест — наиболее точный лабораторный метод диагностики болезни. Позволяет обнаружить хламидии в 95% случаев.
Советы
СОВЕТ №1
Регулярно проходите медицинские обследования. Хламидиоз часто протекает бессимптомно, поэтому важно регулярно проверяться у гинеколога, особенно если вы ведете активную половую жизнь или меняете партнеров.
СОВЕТ №2
Используйте барьерные методы контрацепции. Презервативы не только предотвращают нежелательную беременность, но и снижают риск передачи инфекций, включая хламидиоз.
СОВЕТ №3
Не игнорируйте симптомы. Если вы заметили необычные выделения, зуд или боли внизу живота, обратитесь к врачу. Раннее выявление и лечение хламидиоза помогут избежать серьезных осложнений.
СОВЕТ №4
Обсуждайте здоровье с партнером. Открытое общение о сексуальном здоровье и регулярные проверки на инфекции помогут вам и вашему партнеру оставаться здоровыми и защищенными.




