Что делать при кишечной непроходимости?
Кишечная непроходимость — это острое заболевание желудочно-кишечного тракта, при котором в кишечнике образовывается препятствие для выхода каловых масс. Это очень болезненное состояние, которое может привести к летальному исходу, если вовремя не обратиться за медицинской помощью. Непроходимость может возникнуть в любом возрасте, начиная от новорожденных, заканчивая пожилыми людьми.
Симптомы этого заболевания очень часто принимают за признаки других болезней желудочно-кишечного тракта и пытаются справиться с ними самостоятельно. Этого делать категорически нельзя, так как только вовремя предоставленная врачебная помощь может спасти жизнь пациенту. Это заболевание лечиться только в стационаре хирургического отделения.
Что это такое?
Кишечная непроходимость состоит в частичном или полном прекращении продвижения содержимого (химуса) по кишечнику. Она требует неотложного врачебного вмешательства, поскольку является состоянием, угрожающим жизни.
Врачи отмечают, что кишечная непроходимость является серьезным состоянием, требующим немедленного медицинского вмешательства. Специалисты подчеркивают, что данное заболевание может быть вызвано различными факторами, включая опухоли, спайки, воспалительные процессы и механические препятствия. Симптомы, такие как сильная боль в животе, рвота и отсутствие стула, должны насторожить пациента и побудить его обратиться за помощью. Врачи акцентируют внимание на важности ранней диагностики, так как запущенные случаи могут привести к серьезным осложнениям, включая перфорацию кишечника и сепсис. Лечение может варьироваться от консервативной терапии до хирургического вмешательства, в зависимости от причины и степени непроходимости. Профилактика включает в себя правильное питание и регулярные медицинские осмотры, что особенно важно для людей с предрасположенностью к заболеваниям кишечника.
https://youtube.com/watch?v=B3szolKz5a8
Причины возникновения
Предрасполагающие факторы при механической кишечной непроходимости:
- спаечный процесс в брюшной полости,
- удлинение сигмовидной кишки в старческом возрасте,
- врождённая долихосигма
- подвижная слепая кишка,
- дополнительные карманы и складки брюшины,
- грыжи передней брюшной стенки и внутренние грыжи.
Причинами могут стать доброкачественные и злокачественные опухоли различных отделов кишечника, приводящие к обтурационной непроходимости. Обтурация может возникнуть также вследствие сдавления кишечной трубки опухолью извне, исходящей из соседних органов, а также сужения просвета кишечника в результате перифокальной, опухолевой или воспалительной инфильтрации. При поражении от трех до пяти лимфатических узлов брыжейки кишечника и опухолевом генезе кишечной непроходимости излечиваемость составляет 99 процентов. Экзофитные опухоли (либо полипы) тонкой кишки, а также дивертикул Меккеля могут обусловить инвагинацию.
Для других видов непроходимости в качестве провоцирующих факторов нередко выступают изменения моторики кишечника, связанные с изменением пищевого режима:
- употребление большого количества высококалорийной пищи
- обильный приём пищи на фоне длительного голодания (возможен заворот тонкой кишки);
- переход с грудного вскармливания на искусственное у детей первого года жизни.
Паралитическая непроходимость чаще всего возникает в результате травмы (в том числе операционной), метаболических расстройств (гипокалиемия), перитонита.
Все острые хирургические заболевания органов брюшной полости, которые потенциально могут привести к перитониту, протекают с явлениями пареза кишечника. Снижение перистальтической активности желудочно-кишечного тракта отмечают при ограничении физической активности (постельный режим) и в результате длительно некупируемой жёлчной или почечной колики.
Спастическую кишечную непроходимость вызывают поражения головного или спинного мозга (метастазы злокачественных опухолей, спинная сухотка и др.), отравление солями тяжёлых металлов (например, свинцом), истерия.
Признаки острой кишечной непроходимости
Кишечная непроходимость острой степени — крайне опасное состояние, при котором нарушается нормальное прохождение содержимого ЖКТ. Симптоматика острой непроходимости достаточно схожа с частичной. Однако, она протекает более быстро, агрессивно и выражено.
- сильные боли в животе, которые возникают вне зависимости от времени приема пищи;
- тошнота;
- сильная рвота (чем сильнее уровень непроходимости, тем более сильнее выражена рвота);
- вздутие;
- отсутствие отхода газов;
- расстройство стула.
При возникновении подобного состояния необходимо в срочном порядке обращаться в скорую помощь. Драгоценное потерянное время может определить далеко не утешительный прогноз на лечение.
Кишечная непроходимость — это серьезное состояние, о котором люди часто говорят с тревогой. Многие отмечают, что симптомы, такие как сильные боли в животе, вздутие и отсутствие стула, могут внезапно испугать. В социальных сетях можно встретить множество обсуждений о том, как важно не игнорировать эти признаки и обращаться за медицинской помощью. Некоторые делятся личным опытом, рассказывая о том, как им ставили диагноз и какие методы лечения применялись. Важно отметить, что многие пациенты подчеркивают необходимость соблюдения диеты и регулярного контроля за состоянием здоровья, чтобы избежать рецидивов. Обсуждения также касаются роли стресса и образа жизни в развитии этого заболевания, что подчеркивает важность комплексного подхода к своему здоровью.
https://youtube.com/watch?v=yAFlLVS9ttA
Симптомы
При подозрении на непроходимость кишечника важно знать, что такое заболевание имеет симптомы, развивающиеся в 3 периода:
- Ранний период, первые 12 часов (или меньше). Появляется вздутие и чувство тяжести в животе, тошнота. Затем возникают боли, характер и интенсивность которых зависят от причины патологии. Если сдавливание кишки производится снаружи, например, при если диагностируется спаечная непроходимость кишечника, то болевые симптомы постоянны, но меняется их интенсивность: от умеренных до сильных, приводящих к шоковому состоянию. Когда просвет перекрывается изнутри, они приступообразные, продолжаются несколько минут, а затем исчезают. Рвота возникает в том случае, если нарушена проходимость пищи из желудка в кишечник.
- Промежуточный период, от 12 до 24 часов. Симптомы кишечной непроходимости становятся выраженными. В независимости от причины заболевания, боли постоянны, вздутие живота усиливается, рвота частая и обильная. Развивается обезвоживание, отек кишки.
- Поздний период, от 24 часов. Признаки непроходимости кишечника у взрослых и детей на этом этапе свидетельствуют о вовлечении всего организма в патологический процесс. Нарастает частота дыхания, из-за бактериальной интоксикации увеличивается температура, останавливается производство мочи, боли в животе усиливаются. Возможно развитие перитонита и сепсиса.
То, как проявляется кишечная непроходимость, частично зависит от места ее локализации. Так, рвота в раннем периоде заболевания характерна для патологии в тонком кишечнике, особенно в верхних его отделах, а запоры и нарушение отхождения газов — в толстом. Но в позднем периоде, когда развивается перитонит, эти симптомы развиваются при любом виде непроходимости.
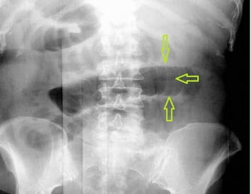
Диагностика
Для постановки диагноза кишечной непроходимости обязательно проводится ряд лабораторных и инструментальных исследований:
- биохимический анализ крови может указать на нарушения обменных процессов (нарушение состава микроэлементов, снижение белка);
- общий анализ крови — может быть увеличение лейкоцитов при воспалительных процессах;
- колоноскопия (исследование толстого кишечника при помощи датчика с видеокамерой на конце) помогает при толстокишечной непроходимости, для исследования тонкого кишечника применяется — ирригоскопия;
- рентгенологическое исследование кишечника обязательно при постановке данного диагноза. При введении рентгеноконтрастного вещества в просвет кишечника можно определить уровень развития кишечной непроходимости;
- ультразвуковое исследование не всегда информативно, так как при кишечной непроходимости происходит скопление воздуха в животе, что мешает нормальной оценке данных.
В сложных случаях проводят лапароскопическое исследование брюшной полости, при которой в брюшную полость вводится датчик с видеокамерой через небольшой прокол. Данная процедура позволяет исследовать органы брюшной полости и поставить точный диагноз, а в некоторых случая сразу провести и лечение (заворот кишок, спаечный процесс).
Дифференцировать кишечную непроходимость необходимо с:
- острым аппендицитом (УЗИ, локализация в правой подвздошной области);
- прободные язвы желудка и 12-перстной кишки (проведение ФГДС, рентгенография с контрастным веществом);
- почечная колика (УЗИ, урография).
Для уточнения диагноза всегда необходимо проведение дополнительных методов исследования, так как только по симптомам дифференцировать кишечную непроходимость невозможно.
https://youtube.com/watch?v=XtXIU3389P4
Последствия кишечной непроходимости
Это заболевание при отсутствии лечения приводит к массе серьезных осложнений. Так, выключение части кишечника, омертвевающего вследствие нарушения в нем кровоснабжения, провоцирует нарушение в нем пищеварения и всасывания питательных веществ.
Снижение защитных функций слизистой оболочки приводит к увеличению проницаемости стенки кишечника для бактерий и продуктов их жизнедеятельности — возникает тяжелая интоксикация, а впоследствии и бактериальные осложнения: перитонит, сепсис, полиорганная недостаточность. Прекращение всасывания в омертвевшей кишке касается и воды. Недостаточное поступление ее в кровь вкупе с частой рвотой приводит к быстрому обезвоживанию организма.
Все эти явления развиваются сравнительно быстро и в течение нескольких суток приводят к неизбежному летальному исходу, если пациент не будет своевременно доставлен в хирургический стационар.
Лечение кишечной непроходимости
Начинают лечение острой кишечной непроходимости с консервативных мероприятий. Независимо от причины, вызвавшей данное состояние, всем больным показан голод и покой. Через нос в желудок проводят назогастральный зонд. Он необходим для опорожнения желудка, что способствует прекращению рвоты. Начинают внутривенное введение растворов и лекарственных препаратов (спазмолитических, обезболивающих и противорвотных средств).
Проводят стимуляцию моторики кишечника подкожным введением прозерина. При ущемлении грыжи необходимо выполнение экстренной операции — купировать кишечную непроходимость в такой ситуации без оперативного вмешательства невозможно. В других случаях при неэффективности консервативного лечения также необходимо проведение оперативного вмешательства.
Перед операцией необходимо эластическое бинтование нижних конечностей для профилактики тромбообразования в венах голеней.
Операцию по поводу кишечной непроходимости выполняют под общим обезболиванием (интубационный эндотрахеальный наркоз с миорелаксантами). При данной патологии необходимо выполнение широкой срединной лапаротомии — срединный разрез на передней брюшной стенке. Такой разрез необходим для адекватного осмотра органов брюшной полости и поиска заболевания, вызвавшего непроходимость кишечника. В зависимости от установленной причины выполняют соответствующее оперативное пособие.
Питание
После лечения любой формы кишечной непроходимости необходимо строго следить за питанием и придерживаться диеты.
При кишечной непроходимости категорически запрещены продукты, способствующие метеоризму, запорам:
- копченые, соленые, острые, пряные продукты;
- газировки, кофе, алкоголь;
- сладости и шоколад;
- жирное мясо, рыба;
- крупы, которые тяжело перевариваются (пшенная крупа, перловка);
- бобовые, грибы;
- свежий хлеб и сдобная выпечка;
- белокачанная капуста;
- яблоки;
- кефир, сметана, сыр, сливки, молоко.
В первый месяц после операции питайтесь перетертой пищей. Разрешены следующие продукты:
- овощи после термической обработки, не вызывающие вздутие живота;
- фрукты, не вызывающие вздутие живота, перетертые, можно печеные;
- нежирный творог, ацидофилин;
- крупы (манная, гречневая, рисовая, овсяная крупы);
- нежирные сорта мяса и рыбы;
- компоты и кисели из фруктов и ягод.
Как и при любом заболевании кишечника, при КН показано есть часто и маленькими порциями. Это снижает нагрузку с ЖКТ, дозирует выделение желудочных соков и желчных кислот, облегчает работу тонкого и толстого кишечников. Избегайте есть слишком горячую и слишком холодную пищу. Также не ешьте грубую пищу, которая тяжело переваривается. Минимизируйте употребление соли. Пейте много воды.
Прогноз и профилактика
Благоприятный прогноз при лечении кишечной непроходимости зависит от своевременности медицинской помощи. Тянуть с обращением к врачу нельзя, иначе при развитии тяжелых осложнений велик риск летального исхода. Неблагоприятный исход может отмечаться при поздней диагностике, у ослабленных и пожилых пациентов, при наличии неоперабельных злокачественных опухолей. При возникновении в брюшной полости спаечных процессов возможны рецидивы непроходимости кишечника.
К профилактическим мероприятиям по предупреждению кишечной непроходимости относится своевременное обнаружение и удаление опухолей кишечника, лечение глистных инвазий, предупреждение спаечных процессов и травм брюшной полости, правильное питание.
Вопрос-ответ
Что такое кишечная непроходимость и какие ее основные причины?
Кишечная непроходимость — это состояние, при котором происходит блокировка кишечника, что препятствует нормальному прохождению пищи и жидкости. Основные причины включают механические факторы, такие как опухоли, спайки, инвагинация (вхождение одной части кишечника в другую) и заворот кишечника, а также функциональные расстройства, например, паралитическая непроходимость, вызванная нарушением работы нервной системы.
Какие симптомы могут указывать на кишечную непроходимость?
Симптомы кишечной непроходимости могут варьироваться, но наиболее распространенные включают сильные боли в животе, вздутие, отсутствие стула и газов, тошноту и рвоту. Также может наблюдаться сухость во рту и общее ухудшение состояния пациента. Важно немедленно обратиться к врачу при появлении этих симптомов.
Как диагностируется кишечная непроходимость?
Диагностика кишечной непроходимости обычно включает физикальное обследование, анализы крови и визуализирующие исследования, такие как рентгенография или компьютерная томография (КТ) живота. Эти методы помогают определить местоположение и причину непроходимости, а также оценить общее состояние пациента.
Советы
СОВЕТ №1
Обратите внимание на симптомы. Если вы испытываете сильные боли в животе, вздутие, рвоту или отсутствие стула и газов, немедленно обратитесь к врачу. Эти признаки могут указывать на кишечную непроходимость и требуют срочной медицинской помощи.
СОВЕТ №2
Следите за своим питанием. Избегайте продуктов, которые могут способствовать образованию запоров, таких как обработанные продукты и низкоклетчатые диеты. Включайте в рацион больше фруктов, овощей и цельнозерновых продуктов, чтобы поддерживать нормальную работу кишечника.
СОВЕТ №3
Регулярно занимайтесь физической активностью. Умеренные физические нагрузки, такие как прогулки или легкие упражнения, могут помочь улучшить перистальтику кишечника и предотвратить запоры, что снижает риск развития кишечной непроходимости.
СОВЕТ №4
Не игнорируйте хронические заболевания. Если у вас есть заболевания, такие как воспалительные заболевания кишечника или опухоли, регулярно проходите обследования и следуйте рекомендациям врача для предотвращения осложнений, включая кишечную непроходимость.




