Симптомы ангины у взрослого, причины и лечение
Ангина у взрослых возникает не всегда в истинном виде. Зачастую при любой боли в горле пациенты ставят себе диагноз самостоятельно и называют чаще всего ангину, не стремясь разобраться с истинным диагнозом.
Путают ангину чаще всего с ларингитом, фарингитом, обычной простудой. Для того, чтобы избежать подобных заблуждений, необходимо знать, какие есть признаки ангины у взрослых и как она протекает. Уже при наличии этих признаков необходимо обращаться к врачу, чтобы получить адекватное лечение.
Заболевание в основном вызывают стафилококки, реже пневмококки или инфекция комбинированного типа. Бактерии и вирусы поступают как извне, так и активизируются уже присутствующие внутри организма возбудители. Обычно они живут в кариозных зубах, носоглотке, гайморовых пазухах. Их активации способствует любое ослабление иммунитета: переохлаждение, стресс, простуда, длительное воздействие различных аллергенов, контакт с больным человеком.
Причины возникновения
К наиболее характерным возбудителям инфекции относятся стафилококки, стрептококки, пневмококки, некоторые представители рода диплококков и энтеровирусы.
Пути проникновения инфекции:
- Эндогенный (у пациентов, страдающих гастроэнтеритом, гнойным синуситом, хроническим тонзиллитом и кариесом).
- Воздушно-капельный (наиболее характерный путь передачи).
- Энтеральный (вместе с зараженными молочными продуктами).
- Гематогенный (с током крови из зараженных возбудителем органов и тканей).
- Искусственный (при проведении хирургических операций на носоглотке и полости носа).
Чаще всего ангиной заболевают лица, у которых снижена сенсибилизация и реактивность организма, либо отмечается врожденная незрелость физиологических систем или имеются хронические патологические процессы в ЛОР-органах. Вместе с тем немаловажную роль в развитии заболевания играет состояние миндалин и вирулентность микрофлоры.
Врачи отмечают, что ангина у взрослых проявляется различными симптомами, среди которых наиболее распространены боль в горле, затрудненное глотание, повышение температуры и общее недомогание. Важно учитывать, что ангина может быть как вирусной, так и бактериальной, что определяет подход к лечению. Специалисты рекомендуют при первых признаках заболевания обратиться к врачу для точной диагностики. В случае бактериальной ангины назначаются антибиотики, которые помогают быстро справиться с инфекцией. В качестве дополнительной терапии врачи советуют полоскания солевыми растворами, употребление теплых напитков и использование анальгетиков для облегчения боли. Также важно соблюдать постельный режим и питьевой режим, чтобы ускорить процесс выздоровления.
https://youtube.com/watch?v=RQpNEd73fzQ
Классификация
Выделяют несколько форм заболевания:
- Катаральная ангина. Она развивается, как правило, очень быстро. Основные симптомы — недомогание, сухость и першение в горле. Далее появляется отечность зева, боль при глотании и в лимфоузлах. Этот вид ангины характеризуется повышением температуры тела до 39°С, появлением озноба, ломоты в теле и сильной мигрени. Через 3-5 дней основные симптомы болезни проходят или переходят в другую форму — все зависит от лечения.
- Лакунарная ангина. Первым симптомом является резкий скачок температуры (до 40 градусов). Также возникают ощущения боли в районе гортани, мышцах, суставах, сердце. Значительно повышается выработка слюны. У детей вследствие интоксикации может наблюдаться рвота. При этой форме в лакунах скапливается жидкость (фибринозный экссудат). Слизистая поверхность глотки и миндалин краснеет, отекает, появляются желтоватые островки, миндалины покрываются белёсым налётом, который легко счищается медицинским шпателем. Наблюдается разбухание шейных лимфоузлов и болевые ощущения в местах их расположения. Длится такой вид ангины промежуток времени в 5 — 7 суток. Небольшая температура может наблюдаться и после острого периода.
- Фолликулярная ангина, в отличие от катаральной, развивается медленно, но проходит не менее болезненно. Опасность ее в осложнениях: когда у вас усиливается головная боль, повышается температура тела, ломит суставы, нужно обратиться к доктору для диагностирования и рекомендаций по поводу лечения. При этом виде ангины сильно болят и увеличиваются лимфоузлы под челюстью. Ее следует лечить в стационарных условиях.
- Некротическая ангина протекает с более выраженными симптомами, чем лакунарная и фолликулярная ангины. Она сопровождается высокой температурой, тошнотой, рвотой. Анализы крови при некротической ангине показывают выраженный лейкоцитоз, нейтрофилёз. Миндалины при этой ангине покрываются налетом желто-зеленого цвета, реже — серого. Часто, при снятии налета, слизистая кровоточит, так как в очаге инфекции происходит отторжение тканей под воздействием фибрина. Это отторжение может распространяться не только на миндалины, но и на окружающие участки — дужки, язычок, заднюю стенку глотки.
Иногда формы ангины могут сочетаться, что значительно затрудняет лечение. На одной миндалине может быть лакунарная, а на другой — фолликулярная ангина.
Общие симптомы ангины
При развитии ангины основные симптомы у взрослого проявляются в зависимости от тяжести клинической картины. Заболевание острой формы характеризуется быстрым развитием.
Первые признаки проявляются:
- гипертермией (высокой температурой), нарушением глотательных функций;
- увеличением и воспалением миндалин (гланд), возможны гнойничковые очаги;
- внезапным синдромом острых болей в горле, постепенным усилением болей;
- гипертрофией и воспалением лимфатических узлов подчелюстной зоне.
В подострой форме болезнь протекает вяло. Слабая выраженность симптоматики проявляется и варьирует длительностью от 1 до 3 месяцев. Как у взрослых, так и у детей наблюдаются:
- изменения в интенсивности болевых проявлений;
- галитозом (не свежий запах рта);
- небольшая гипертрофия (увеличение) миндалин;
- зловонные выделения вязкой структуры из тонзиллярных ниш;
- изменение вкусовых качеств.
Хроническая форма развивается обычно у пациентов, регулярно пытавшихся самостоятельно лечить ангину в домашних условиях, переносивших заболевание «на ногах», не доводя лечение до полного выздоровления. Симптомы периодичны — то проявляются, то исчезают. Отмечаются:
- легкое набухание лимфатических узлов;
- небольшие признаки покраснения миндалин, незначительное их увеличение;
- периодичное проявление болевой симптоматики в горле.
Симптоматика заболевания у взрослых пациентов и у детей одинакова, так как в силу своей заразности, один заболевший член семьи может инфицировать всех домочадцев, включая детей.
Ангина, или острый тонзиллит, вызывает у взрослых множество дискуссий. Многие отмечают, что основными симптомами являются сильная боль в горле, затрудненное глотание и высокая температура. Некоторые пациенты также упоминают о появлении налета на миндалинах и увеличении лимфатических узлов. Важно, что люди часто делятся опытом о том, как справляться с болезнью. Многие предпочитают использовать полоскания с солью и содой, а также теплые напитки для облегчения боли. Однако, не все согласны с домашними методами: некоторые считают, что без антибиотиков не обойтись, особенно если ангина вызвана бактериальной инфекцией. Врачебная консультация становится ключевым моментом в лечении, так как неправильное лечение может привести к осложнениям. В целом, опыт людей показывает, что важно не только следовать рекомендациям, но и прислушиваться к своему организму.
https://youtube.com/watch?v=tWDcxHsweFo
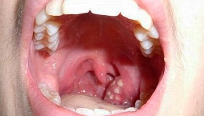
Как выглядит ангина: фото
На фото ниже показано, как проявляется заболевание у взрослых.
Какая симптоматика гнойной ангины?
При ангине человек ослабевает, повышается температура тела до 40 градусов, невозможно глотать, беспокоят сильные боли в горле, возникает головная боль, сильно краснеет глотка. Когда врач осматривает горло, замечает, что миндалины увеличиваются и сверху покрываются налетом, часто ломит суставы. Если вовремя лечить заболевание, человеку становится легче уже спустя 5 дней. Часто врачи вместо ангины ставят диагноз ОРЗ, но запомните, если температура выше 39 градусов, это говорит, что сильно воспалено горло. При этом больной не может пить, есть, ему тяжело говорит, затем он начинает быстро уставать.
Если ангина гнойная, значительно увеличиваются лимфатические узлы, изменяются миндалины, расположенные на мягком небе, на них начинают появляться гнойники.
https://youtube.com/watch?v=T8xmPerdpwU
Сколько держится температура при ангине?
Ангина — явная причина повышения температуры тела. Отличительной чертой острого инфекционного заболевания является резкий подъем температуры, сохраняющийся на протяжении короткого времени. Видимые симптомы ангины — боль в горле, налет на миндалинах, общая слабость. В среднем высокая температура держится до 5 дней. От характера ангины зависит продолжительность болезни:
- катаральная — продолжительность составляет 1-2 дня;
- фолликулярная — 3 — 4 дня;
- лакунарная — 4 — 5 дней;
- герпесная ангина (герпангина) — 1- 3 дня;
- ангина Симановского-Плаута-Венсана — 1 — 2 дня или проходит без температуры.
Следует учитывать естественные изменения показателей из-за индивидуальных особенностей организма, особенно, иммунитета и общей восприимчивости к вирусам. Разные виды ангин имеют похожие признаки заболевания, отличающиеся размещением гнойных участков. Отсутствие температуры при тонзиллите, говорит о снижении защитных функций организма, о неспособности собственными силами противостоять недугу.
Как лечить ангину?
Ниже приведен ряд универсальных рекомендаций, которые необходимо соблюдать при лечении ангины в домашних условиях:
- Постельный режим. Перенесение ангины на ногах часто приводит к развитию осложнений.
- Обильное питье. Необходимо для снятия интоксикации и выведении из организма возбудителей болезни и продуктов их жизнедеятельности. Можно пить воду, чай, компоты, морсы, соки. Главное, чтобы они были теплыми.
- Антисептики. Всевозможные леденцы, пастилки и аэрозоли от боли в горле применяют в случае сильных болевых ощущений в качестве средств симптоматической терапии.
- Жаропонижающие средства. Их принимают, если температура поднялась выше 38 градусов и больному становится трудно ее переносить.
- Полоскание горла при ангине. Помогает избавиться от белого налета, который является источником воспаления. Полоскать горло при ангине рекомендуется каждый час.
В большинстве случаев ангина вызывается стрептококками, поэтому основными лекарствами от ангины являются антибиотики пенициллинового ряда. Наиболее эффективным из них считается бензилпенициллин. Если у пациента аллергия на пенициллины, то возможно назначение макролидов («Азитромицин», «Эритромицин»). Тетрациклины и сульфаниламиды неэффективны при ангине.
Народные средства
Народная медицина предлагает большое количество рецептов для лечения такого сложного заболевания, как ангина в домашних условиях. При остром тонзиллите необходимо вымыть микробов со слизистой глотки, и для этой цели рекомендуется применять настои и отвары из трав.
Хороший эффект дают следующие процедуры:
- частые полоскания ротовой полости раствором морской воды помогают избавиться от болевых ощущений в горле.
- избавиться от неприятной симптоматики заболевания за несколько дней можно с помощью чеснока, используя его для компрессов, ингаляций и полосканий.
- употребление отвара душицы на протяжении дня поможет избавиться от охриплости голоса.
- в самом начале развития тонзиллита рекомендуется жевать цедру лимона вместе с мякотью и полоскать горло раствором лимонного сока.
- в том случае, если ангина сопровождается повышением температуры тела и ознобом, то облегчить состояние помогает теплый чай с добавлением брусники, лимона либо малины.
При диагностировании острого тонзиллита важно употреблять как можно больше жидкости, что поможет вывести из организма все скопившиеся токсины и восстановить водный баланс.
Чем полоскать горло?
Местное лечение тонзиллита не менее эффективно, чем прием препаратов общего действия. Устранению боли и снятию воспаления миндалин способствует полоскание горла растворами (фурацилин, элюдрил, сода + йод + соль), отварами (шалфей, календула).
Полоскать горло следует не реже 1 раза в 2 часа, данный процесс обеспечивает очищение слизистой глотки от продуктов жизнедеятельности болезнетворных микроорганизмов, смывает с ее поверхности гной, борется с воспалением.
Также вы можете посмотреть видеозапись передачи «Жить Здорово» про лечение ангины.
Осложнения ангины
Ангина очень опасна своими осложнениями. Одно из них — паратонзиллярный абсцесс, который является продолжением ангины. Кажется, наступило выздоровление, но внезапно у больного возникает сильная боль в горле, которая постоянно усиливается. Через 2–3 дня глотание становится невозможным, повышается температура, усиливается слюноотделение. Вскоре состояние больного ухудшается настолько, что во время глотания в результате отекания мягкого нёба пища может попадать в носоглотку и нос. Затрудняется дыхание. В этом случае поможет только срочная госпитализация и хирургическое вмешательство.
Есть и другие осложнения. Различают местные и общие проявления. К местным принадлежат острый гнойный лимфаденит (воспаление лимфатических узлов), флегмона шеи. К общим осложнениям — ревматизм, миокардит, инфекционный полиартрит, пиелонефрит, сепсис, менингит. Именно поэтому после ангины следует обязательно дважды исследовать кровь, мочу и сделать электрокардиограмму, чтобы убедиться, что нет осложнений.
Вопрос-ответ
Какие основные симптомы ангины у взрослых?
Основные симптомы ангины включают сильную боль в горле, затрудненное глотание, увеличение лимфатических узлов на шее, повышение температуры тела, а также общее недомогание и головную боль. В некоторых случаях может наблюдаться налет на миндалинах.
Как проводится лечение ангины у взрослых?
Лечение ангины может включать прием антибиотиков, если заболевание вызвано бактериальной инфекцией, а также противовоспалительных и обезболивающих средств для облегчения симптомов. Важно также соблюдать постельный режим, пить много жидкости и использовать полоскания для горла. В случае вирусной ангины лечение в основном симптоматическое.
Когда следует обратиться к врачу при ангине?
Обратиться к врачу следует, если симптомы ангины не проходят в течение нескольких дней, если температура тела превышает 38,5°C, или если возникают затруднения с дыханием и глотанием. Также стоит посетить врача при наличии сильной боли в горле, которая не поддается лечению домашними средствами.
Советы
СОВЕТ №1
При первых симптомах ангины, таких как боль в горле, высокая температура и общее недомогание, не откладывайте визит к врачу. Раннее обращение за медицинской помощью поможет установить точный диагноз и назначить правильное лечение.
СОВЕТ №2
Для облегчения симптомов ангины используйте полоскания солевым раствором или раствором соды. Это поможет уменьшить воспаление и боль в горле. Также не забывайте пить много теплой жидкости, чтобы поддерживать гидратацию.
СОВЕТ №3
Если вам назначены антибиотики, обязательно завершите курс лечения, даже если симптомы исчезли. Это поможет предотвратить развитие устойчивости бактерий и рецидив заболевания.
СОВЕТ №4
Обратите внимание на свой рацион. Употребление мягкой, нераздражающей пищи, такой как супы и пюре, может помочь снизить дискомфорт при глотании. Избегайте острых и кислых продуктов, которые могут усугубить состояние.




