Чем лечить стоматит у взрослых: эффективные препараты и лекарства
Стоматит — заболевание полости рта, представляющее собой воспалительный процесс, который локализуется на языке, дёснах, внутренней поверхности щёк. Проявлением стоматита являются небольшие раны-язвочки. Заболевание носит инфекционный характер и требует лечения.
Лечение стоматита у взрослых продолжается 4-14 дней, в зависимости от типа и степени заболевания. Заживление язвочек, проходит, как правило, спокойно, а на месте ранок не остаётся практически никаких следов. У людей, переболевших стоматитом хотя бы раз в жизни, существует риск повторного инфицирования. Периодичность возникновения болезни очень изменчива.
Некоторые больные страдают этим заболеванием 3-4 раза в год (типичный случай), у других — после ещё не успевших полностью зажить язвочек, сразу же появляются новые, что позволяет позиционировать стоматит как хроническое заболевание.
Что это такое?
Стоматит — заболевание полости рта, воспаление слизистой оболочки на внутренней поверхности щёк, дёсен, языка. Болезнь сопровождается образованием ран-язвочек. Заболевание является инфекционным, поэтому сами по себе симптомы воспаления не проходят.
Стоматит у взрослых можно вылечить быстро дома, для этого нужно использовать эффективные препараты. Какие именно? Читайте в статье в разделе «лечение».
Стоматит у взрослых вызывает значительное беспокойство у врачей, так как это заболевание может быть признаком более серьезных проблем со здоровьем. Специалисты отмечают, что причины возникновения стоматита могут варьироваться от инфекций до аллергических реакций и стрессов. Врачи подчеркивают важность своевременной диагностики, так как игнорирование симптомов может привести к хроническим формам заболевания. Лечение стоматита обычно включает местные антисептики, противовоспалительные препараты и, в некоторых случаях, антибиотики. Врачи также рекомендуют обратить внимание на гигиену полости рта и избегать раздражающих продуктов, чтобы снизить риск рецидивов. Профилактика и своевременное обращение к специалисту играют ключевую роль в успешном лечении этого недуга.
https://youtube.com/watch?v=Pvvj0UXrYs0
Механизм развития стоматита и причины возникновения
Механизм возникновения стоматита ещё не выявлен полностью, но, вероятнее всего, это связано с реакцией иммунной системы на раздражители. Считается, что стоматит возникает в тех случаях, когда, по невыясненным пока причинам, иммунная система человека реагирует на появление молекул, которые она не может распознать.
Появление таких молекул провоцирует атаку лимфоцитов иммунной системы (разновидность белых кровяных телец), — примерно так же иммунная система человека реагирует, например, на пересадку органа. «Нападение» лимфоцитов на эти неопознанные молекулы приводит к возникновению во рту язвенных образований, которые и получили название «стоматит».
Причиной его возникновения также считают местные факторы: несоблюдение гигиены полости рта. Заболевания желудочно-кишечного тракта, такие как гастрит, дуоденит, колит, а также глистная инвазия, могут быть причиной катарального стоматита. При этом заболевании слизистая оболочка рта становится отёчной, болезненной, гиперемированной, она может быть покрыта белым или жёлтым налётом. Отмечается гиперсаливация (повышенное выделение слюны). Может отмечаться кровоточивость дёсен, появляться неприятный запах изо рта.
Сам по себе стоматит не заразен. При герпесе стоматит может возникать как следствие, но это уже один из вариантов реакции человека на вирус простого герпеса.
Классификация
Язвы во рту, причины и лечение определяются, прежде всего, в зависимости от возбудителя заболевания. Существует определенная классификация болезни в зависимости оттого, какой возбудитель стал причиной, по которой появились белые пятна. Как выглядит стоматит во рту, также в определенной степени зависит от возбудителя.
| Вид стоматита | Описание |
| Вирусный | Следствие поражения вирусом простого герпеса (стоматит герпесный) Эпштейн-Барра (стоматит герпетический). Такие возбудители провоцируют появление пузырьковых высыпаний, в которых содержится прозрачная жидкость. Позже отмечается присоединение вторичной бактериальной инфекции. Далее происходит их вскрытие, и появляются эрозии. Также появляются похожие язвы во рту при ВИЧ. Как лечить ранки, определяет врач, выяснив причину развития болезни. |
| Бактериальный | Проявляется вследствие действия стафилококков или стрептококков. При такой форме болезни проявляется гнойная сыпь (легко рассмотреть на фото), впоследствии быстро вскрывающаяся. Как следствие, образуются язвы и эрозии во рту. |
| Грибковый | Как правило, проявляется после курса антибиотиков, которыми пациент пытается вылечить другие заболевания. Грибковый стоматит во рту, фото которого четко демонстрирует плотный белый налет, появляется вследствие действия, которое оказывает грибок Кандида. После удаления белого налета во рту, на миндалинах наблюдаются болезненные эрозии. |
| Эрозивный | Проявляется после перенесенных болезней и характеризуется возникновением эрозий. |
| Химический | Следствии ожогов, которые производит кислота или щелочи. Позже происходит рубцевание и деформация слизистой. |
| Лучевой | Следствие лучевой болезни, также развивается после химиотерапии. У больного в ротовой полости появляются эрозии, на определенных участках утолщается слизистая оболочка. |
Также, в зависимости от сопутствующих заболеваний, выделяют сифилитический, стрептококковый стоматит.
Стоматит у взрослых — это довольно распространенное заболевание, которое вызывает множество дискомфортных ощущений. Люди часто описывают его как болезненное воспаление слизистой оболочки рта, которое может проявляться в виде язвочек, покраснений и отечности. Многие отмечают, что стоматит может возникать на фоне стресса, ослабленного иммунитета или неправильного питания.
Некоторые пациенты делятся своим опытом, рассказывая о том, как они справлялись с симптомами. Многие рекомендуют использовать антисептические растворы и специальные гели для облегчения боли. Также часто упоминается важность соблюдения гигиены полости рта и отказа от раздражающих продуктов, таких как острые или кислые блюда.
Тем не менее, не все случаи стоматита проходят легко. Некоторые люди сталкиваются с рецидивами, что заставляет их обращаться к врачу для более тщательного обследования. Важно помнить, что стоматит может быть симптомом более серьезных заболеваний, поэтому при частых обострениях стоит не откладывать визит к специалисту.
https://youtube.com/watch?v=01ryIrKZ3K4
Симптомы стоматита у взрослых
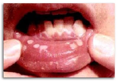
При любых видах стоматита симптомы практически одинаковы (см. фото). У взрослых болезнь начинается обычно с небольшого покраснения. Оно может быть одиночным, может быть множественным. Затем вокруг очага область отекает, становится болезненной. На следующий день на этом месте образуется язвочка с ровными краями и с красным ореолом вокруг. Если язвочек несколько рядом расположенных, то они могут сливаться друг с другом. Центральная область язвочки покрыта сероватым или белесым налетом.
Язвочка сама по себе очень болезненна, но больного беспокоит повышенное слюноотделение, кровоточивость десен и неприятный запах изо рта. Боль от стоматита может быть настолько сильной, что мешает пережевывать пищу. Язвочки преимущественно появляются с внутренней стороны губ, на щеках, на миндалинах, на мягком небе. Иногда могут появиться на языке или под ним.
Проходит заболевание за период от 4 дней до месяца. После него не остается никаких следов.
Как выглядит стоматит :фото
На фото ниже показано, как проявляется заболевание у взрослых.
https://youtube.com/watch?v=8gwo9hZ2FLc
Аллергический стоматит
Как уже понятно из названия, этот вид стоматитита вызван аллергическими реакциями организма. Спровоцировать развитие заболевания могут: пломбы, зубные протезы, контактные и пищевые аллергены, антибиотики.
Клинические проявления аллергического стоматита: отёк слизистых оболочек глотка, мягкого нёба, языка, щёк и губ, что мешает процессу пережёвывания и глотания пищи, а также затрудняет дыхание. Слизистая полости рта раздражена, отмечаются кровоизлияние и наличие эрозивных участков. Язык покрыт налётом, увеличен в размерах. Слюноотделение слабое.
При аллергии на протез наблюдается жжение на месте поставленной конструкции. Общие симптомы: бессонница, раздражительность, повышение температуры до критических отметок.
Афтозный стоматит
Афтозный стоматит — симптомы прежде всего заключаются в появлении на слизистой оболочке полости рта афт (эрозий) округлой или овальной формы, размером 5-10 мм. Обычно образуется всего одна афта, реже — две или три. Афты окружены ярко красным ободком воспаленной слизистой, а сами покрыты беловато-серым фибринозным налетом. Афты, как правило, резко болезненны при прикосновении к ним, в связи с чем может быть затруднен прием пищи. Длительность клинических проявлений — около 8-10 дней.
Хроническое течение заболевания у взрослых с частыми рецидивами свидетельствует о наличии заболеваний ЖКТ или печени. Проявляется такими симптомами: множественные поражения губ, щек, языка; болезненные ощущения, мешающие приему пищи; повышение температуры тела до 38. Лечение стоматита дома включает комплекс мер, связанных с симптоматическими признаками, укреплением иммунитета.
Кандидозный стоматит
Возбудитель — грибок Кандида — всегда находится в организме человека на его слизистых оболочках. Его рост и размножение сдерживается кисломолочными бактериями (бифидо, лакто). В некоторых условиях равновесие микроорганизмов нарушается, бифидобактерии гибнут и Кандида бесконтрольно размножается на слизистой оболочке. Наиболее частой причиной кандидозного стоматита (молочницы во рту) является приём антибиотиков.
В начальной стадии заболевания появляются симптомы предвестники:
- сухость;
- жжение во рту;
- отёк слизистой;
- покраснение слизистой;
- белый или серый налёт;
- густые белые выделения;
- несвежее дыхание или неприятный запах изо рта;
- боль при жевании и разговоре.
Белый налёт во рту может лежать на слизистых оболочках полностью или пятнами. Если налёт аккуратно снять (вытереть ваткой), то под ним окажется красная воспалённая слизистая рта.
Признаки герпетического стоматита
Инкубационный период не превышает 4 дней. Чаще всего первое проявление болезни имеет место в детском возрасте, после чего заболевание периодически рецидивирует и по достижении зрелых лет. Как правило, развитие герпетического стоматита обусловлено снижением защитных сил организма, вызванным сбоем иммунной системы, переутомлением, стрессом или другими факторами.
Характерные образования в виде наполненных жидкостью пузырьков формируются на щеках, небе и языке. После лопания единично расположенные пузырьки сливаются в болезненные эрозии. Во взрослом возрасте реакция организма редко сопровождается симптомами сильной интоксикации, но в ряде случае возможны мышечные и головные боли, повышение температуры (особенно при игнорировании начальных симптомов).
Язвенный стоматит
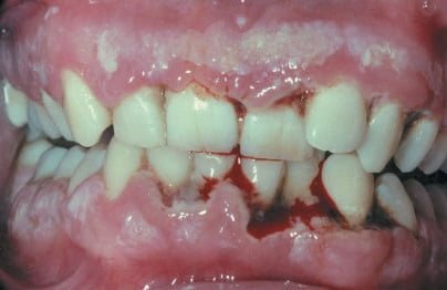
Язвенный стоматит протекает относительно легко. В полости рта появляются признаки воспаления: слизистая краснеет, становится отечной, в области десен возникает жжение. Через несколько дней таких проявлений на внутренней стороне щек, на деснах возникают одиночные язвы, сверху которых имеется бело-грязный налет. При этом больные жалуются на повышенное слюноотделение, неприятный запах изо рта. Может появляться лихорадка. При язвенном стоматите наблюдается резкая болезненность, которая усиливается в момент контакта воспаленных участков с пищей, зубами и языком.
Язвенно-некротический стоматит Венсана проявляется обширным воспалением слизистой полости рта с быстрым нарастанием симптоматики. За несколько дней ткани покрываются язвами с неровными краями, сверху которых находятся плотные пленки серо-зеленого цвета. Вокруг них расположены гиперемированные ткани, а сами язвы нередко распространяются и на язык. Воспаленные очаги могут сливаться, затрагивать более глубокие слои слизистой оболочки. Если попытаться снять налет, то под ним покажется красная кровоточащая поверхность.
Травматический стоматит
Возникает в результате механического нарушения целостности слизистой из-за небрежного протезирования, при травме. Пораженный участок воспаляется, отекает, сосуды переполнены кровью. Через некоторое время появляется эрозия, затем незаживающая язвочка. В тяжелых случаях заболевание осложняет грибковая инфекция.
Как лечить стоматит у взрослых?
Основа лечения любой формы стоматита у взрослых — это обезболивание и снятие воспаления при помощи эффективных препаратов. Прежде всего, применяются орошение полости рта или аппликации местных анестетиков. Особенно важно обрабатывать полость рта детям перед едой. Для стимуляции заживления и борьбы с микробной инфекцией применяют растворы трав (кора дуба, липовый цвет, отвар ромашки, зверобоя, календулы), раствор фурациллина или мирамистина.
Катаральный стоматит, вызванный банальным нарушением гигиены полости рта, при легком течении можно лечить в домашних условиях самостоятельно, и человек через неделю забывает о его появлении. При этом следует использовать антисептические средства для полоскания рта, соблюдать диету, исключающую острую, твердую, слишком соленую или кислую, слишком горячую или холодную пищу.
При вирусной природе стоматита применяют противовирусные мази. С целью создания над язвочками защитной пленки применяют вазилин, масло шиповники или облепихи, сок алоэ. Они помогают в регенерации эпителия.
При грибковом стоматите применяют противогрибковые препараты — кандид для местной обработки, мирамистин, гексорал.
Препараты для лечения стоматита
Иногда болезненность язв сильно мешает больному вести привычный образ жизни, принимать пищу. Поэтому врач может порекомендовать использование некоторых эффективных анестезирующих препаратов, таких как:
| Название препарата | Механизм действия |
| Анестезин | анестетик локального действия для поверхностной анестезии, выпускается в форме таблеток для формирования порошка и присыпок места поражения. |
| Гексорал табс | выпускается в форме таблеток для рассасывания, в препарат входят «Хлоргексидин» и «Бензокаин», которые оказывают местное антимикробное и обезболивающее действие |
| Лидокаин Асепт | антисептическое средство, обладающее местным анестезирующим эффектом, довольно часто применяется при афтозном стоматите и для лечения эрозивных поражений слизистой. |
| Лидохлор | препарат комбинированного действия в виде геля, который оказывает местноанестезирующий и антисептический эффект, обезболивание и противомикробное действие наступает спустя 5 минут после нанесения геля. |
| Народные средства | Отвар шалфея, календулы, ромашки, сок коланхоэ — используют для обезболивания и терапии язв. |
Кроме этого, лечение обязательно должно включать средства для полоскания полости рта, мази, спреи, гели, рассасывающие таблетки, леденцы с противомикробным действием.
Вот список актуальных и эффективных препаратов для лечения стоматита дома:
- «Актовегин» — гель, который применяется для начальной терапии язв.
- «Эвкалипт М» — таблетки для рассасывания.
- «Каметон» — спрей и аэрозоль.
- «Холисал» — стоматологический гель с комбинированным обезболивающим, противовоспалительным и противомикробным действием.
- «Винилин гель», «Люголь спрей», «Гексорал спрей», «Ингалипт спрей».
- «Гексетидин» («Стоматидин») — антисептик со слабым анальгезирующим и противомикробным действием.
- «Эвкаром», «Ингафитол» — сбор для полоскания ротовой полости и ингаляций, состоит из эвкалиптовых листьев и цветов ромашки.
- «Камистад» — стоматологический гель с анестезирующим и антисептическим действием, в состав входят ромашка аптечная и лидокаин.
Противовирусные, противогрибковые, антигистаминные препараты применяют в зависимости от причины появления стоматита, при герпетическом стоматите у взрослых, лечение заключается в применении противовирусных средств в мазях, таблетках, при грибковом происхождении стоматита (молочница) используют противогрибковые средства, антигистаминные препараты следует применять и при аллергическом стоматите, и при прочих видах поражений слизистой оболочки ротовой полости.
- Антигистаминные средства — в таблетированной форме «Фенистил», «Кларитин», «Лоратодин», «Цетрин», «Супрастин», «Тавегил».
- Противогрибковые — «Микозон», «Дактарин», гель «Миконазол», «Леворин», нистатиновая мазь.
- Противовирусные — оксолиновая, бонафтоновая мазь, интерфероновая, теброфеновая мазь, «Зовиракс», «Ацикловир», «Виру-Мерц Серол».
Средства, ускоряющие заживление эпителия:
- Масло шиповника, облепихи оказывает заживляющее действие.
- Каротолин — масляный раствор, предназначенный для наружного использования с антиоксидантным действием, витамин А.
- Прополис спрей — дополнительное средство для терапии стоматита у взрослых, которое оказывает благоприятное воздействие при наличии различных повреждений кожи, при герпесе, язвах.
- Бальзам Шостаковского, или «Винилин» — способствует очищению ран и ускоряет регенерацию и эпителизацию тканей, оказывает антисептическое и противовоспалительное действие.
- «Солкосерил» — паста стоматологическая, которая улучшает трофику тканей и стимулирует регенерацию эпителия при стоматите.
Народные средства
Лечение стоматита в домашних условиях стоит выполнять по назначению врача, который учтет причины возникновения заболевания, общее состояние организма. После устранении причины он назначит полоскания, мази, гели, поливитаминные препараты.
- Перекись водорода. Полоскать ротовую полость разведенной таким же количеством воды 3% перекисью водорода 2-3 раза в день в течение одной-двух недель.
- Синий йод. Развести синий йод в пропорции 1:1 теплой водой. Полоскать рот стаканом воды 3 раза в день. На пораженные участки на 5 минут накладывать марлевые повязки, увлажненные синим йодом. Лечить данным способом стоматит 3 раза в день.
- Настойка прополиса. После приема пищи прополоскать рот горячей водой, затем перекисью водорода, чтобы как следует промыть язвочки. Некоторые дополнительно их подсушивают теплым воздухом с помощью фена. Затем смазать пораженные участки разведенной водой спиртовой настойкой прополиса и снова высушить теплым воздухом, чтобы скорее образовалась пленка.
- Масло мирры. Как гласит предание, древнегреческие воины не отправлялись в поход без пасты из смолы мирры. Густое масло предотвращает распространение инфекции, лечит различные повреждения кожи, помогает при кашле и простуде, оказывает противовоспалительное и антисептическое действие при бактериальных и вирусных поражениях.
- Серебряная вода. Применяют для лечения стоматита у детей и взрослых. Теплой водой полощут рот несколько раз в день. Для приготовления серебряной воды в воду комнатной температуры на сутки помещают серебряную вещь.
- Мед. Заварить 1с.л. зеленого чая стаканом кипятка в заварочном чайнике, настоять 45 минут, процедить. Растопить на водяной бане 1с.л. меда, добавить в настой зеленого чая. Полоскать несколько раз в день теплым настоем ротовую полость для лечения стоматита.
- Черника. Заварить 0,5л кипятка 3-4с.л. ягод черники, варить 15 минут на медленном огне с закрытой крышкой, дать остыть. Полоскать отваром рот при стоматитах, раздражении слизистой.
- Получить 1ч.л. свежевыжатого сока репчатого лука, 1ч.л. сока каланхоэ, добавить в смесь соков 3 с.л. воды. Полоскать рот несколько раз в день.
Профилактика стоматита
Стоматит у взрослых считается рецидивирующим заболеванием, то есть он склонен к возврату, рецидиву. Для того чтобы предупредить повторную болезнь, необходимо придерживаться норм профилактики:
- своевременно лечить кариес;
- своевременно лечить ЖКТ;
- мыть руки перед едой;
- своевременно удалять зубного камень и налёт;
- правильно выбрать зубную пасту и ополаскивающий раствор для полости рта;
- обеспечить себя и близких здоровым питанием, со сбалансированным сочетанием белков, жиров, углеводов, витаминов, микроэлементов.
Стоматит — не страшная, но очень неприятная болезнь полости рта. Её появление можно эффективно предупредить. А своевременное лечение помогает быстро избавить себя от болезненных симптомов.
Вопрос-ответ
Какое самое эффективное средство от стоматита?
При герпетическом стоматите назначают противовирусные препараты. Наиболее эффективными считаются таблетки для сублингвального приема (Эргоферон, Ацикловир, Зовиракс). Если присоединяется вторичная инфекция, проводят курс антибиотикотерапии. При кандидозном стоматите назначают противогрибковые средства для полости рта.
Чем полоскать рот при стоматите у взрослых?
Полоскания при стоматите. Полоскания ротовой полости помогают снять воспаление и устранить налет. Рекомендуется полоскать рот раствором хлоргексидина, фурацилина и перекиси водорода 3-4 раза в день.
Советы
СОВЕТ №1
Регулярно поддерживайте гигиену полости рта. Чистите зубы дважды в день и используйте зубную нить, чтобы предотвратить накопление бактерий, которые могут способствовать развитию стоматита.
СОВЕТ №2
Обратите внимание на свое питание. Избегайте острых, кислых и жестких продуктов, которые могут раздражать слизистую оболочку рта. Включите в рацион больше мягкой пищи и увлажняющих напитков.
СОВЕТ №3
Управляйте стрессом. Психоэмоциональное состояние может влиять на здоровье полости рта. Практикуйте методы релаксации, такие как йога или медитация, чтобы снизить уровень стресса и предотвратить обострения стоматита.
СОВЕТ №4
При появлении первых симптомов стоматита, таких как болезненные язвы или воспаление, не откладывайте визит к стоматологу. Раннее обращение за медицинской помощью поможет избежать осложнений и ускорить процесс выздоровления.










