Туберкулез легких: симптомы, профилактика и способы лечения
Туберкулез — распространенное и потенциально смертельное инфекционное заболевание, вызванное бактериями Mycobacterium tuberculosis (так называемой туберкулезной палочкой или палочкой Коха).
Туберкулез чаще всего поражает легкие человека (туберкулез легких), но также может атаковать центральную нервную систему, лимфатическую систему, кровеносные сосуды, кости, мочеполовую систему и кожу. Так как в мире фиксируется повсеместная эпидемия туберкулеза, каждый человек должен знать, как распознать первые симптомы недуга и провести эффективное лечение.
Что это такое?
Туберкулёз — широко распространённое инфекционное заболевание, вызываемое различными видами микобактерий из группы Mycobacterium tuberculosis complex (M. tuberculosis и другими близкородственными видами) или иначе палочками Коха.
У человека туберкулёз обычно поражает лёгкие, реже затрагивая другие органы и системы. Mycobacterium tuberculosis передаётся воздушно-капельным путём при разговоре, кашле и чихании больного. Чаще всего после инфицирования микобактериями заболевание протекает в бессимптомной, скрытой форме (тубинфицированность), но примерно один из десяти случаев скрытой инфекции, в конце концов, переходит в активную форму.
Классические симптомы туберкулёза лёгких — длительный кашель с мокротой, иногда с кровохарканьем, появляющимся на более поздних стадиях, лихорадка, слабость, ночная потливость и значительное похудение.
Врачи подчеркивают, что туберкулез легких остается серьезной проблемой общественного здравоохранения, несмотря на достижения в медицине. Они отмечают, что ранняя диагностика и адекватное лечение являются ключевыми факторами в борьбе с этой болезнью. По мнению специалистов, важным аспектом является повышение осведомленности населения о симптомах туберкулеза, таких как длительный кашель, потеря веса и ночные поты. Врачи также акцентируют внимание на необходимости регулярных обследований, особенно для групп риска. Кроме того, они подчеркивают важность соблюдения режима лечения, чтобы предотвратить развитие устойчивых форм заболевания. В целом, комплексный подход к профилактике и лечению туберкулеза может значительно снизить его распространение и улучшить качество жизни пациентов.
https://youtube.com/watch?v=DJ9Q3VHE5VM
Как можно заразиться туберкулезом?
К сожалению, заразиться туберкулезом можно, и сделать это проще, чем мы думаем. По статистике каждую секунду в мире кто-нибудь приобретает в своем организме нежеланного гостя — МБТ. Подцепить туберкулезную микобактерию можно в любом общественном месте, причем, чем чаще вы бываете в людской толчее, в общественном транспорте и в медицинских учреждениях, тем выше риск. Один больной хронической открытой формой туберкулеза за год выбрасывает в воздух около семи с половиной миллиардов бактерий и заражает примерно 15 человек. Всемирная организация здравоохранения утверждает, что треть населения нашей планеты (около 2 млрд человек) заражены туберкулезом. Тогда почему же мы до сих пор не вымерли?
От человека к человеку туберкулез передается воздушно-капельным путем, то есть, заразиться вы можете даже без непосредственного контакта с больным, а просто находясь с ним в одной комнате. В некоторых случаях инфицирование происходит через пищевые продукты и прочие предметы, которые заражены палочками Коха. Если возбудители туберкулеза попали в организм с пищей, то туберкулез у детей и взрослых поражает желудочно-кишечный тракт, а не легкие, как это происходит при вдыхании зараженного воздуха. Максимальную осторожность следует соблюдать людям, которые часто контактируют с больными и обладают повышенной восприимчивостью к действию возбудителей.
Дело в том, что иммунитет здорового человека — это непроходимый барьер для миллионов микробов и бактерий, ежедневно бомбардирующих наше тело. Туберкулезной палочке тоже не дадут прижиться, и носительство, скорее всего, никогда не перейдет в болезнь. Но если организм ослаблен и уязвим, живучая микобактерия не преминет воспользоваться шансом на счастливое будущее. Простуды, стрессы, недоедание, авитаминоз и прочие благоприятные для МБТ факторы могут спровоцировать начало активной стадии туберкулеза.
Первичная и вторичная форма
В зависимости от того, заболел человек туберкулезом впервые или нет, различают первичный и вторичный туберкулез.
- Первичный туберкулез является острой формой заболевания, которая начинает проявляться после попадания патогенного возбудителя в кровь. Часто первичный туберкулез отмечается у детей, не достигших 5 лет. Это происходит потому что у детей еще не до конца сформирована иммунная система, которая не в состоянии справиться с микобактерией. Несмотря на то, что болезнь на данном периоде протекает тяжело, она не опасна для окружающих. В начале при первичном туберкулезе в легких образуется небольшая гранулема. Это первичный очаг поражения легких, который в случае благоприятного исхода может самостоятельно зарубцеваться. Так, пациент может и не подозревать, что на самом деле переболел туберкулезом, списывая свое самочувствие на простуду. Однако после очередной рентгенографии окажется, что в легких у него зарубцевавшаяся гранулема. Развитие плохого сценария предусматривает увеличение гранулемы с образованием полости, в которой и скапливаются туберкулезные палочки. Микобактерии выходят в кровь, где разносятся по всему организму.
- Вторичный туберкулез. Данная форма заболевания возникает в том случае, когда человек один раз уже переболел туберкулезом, но он заразился другим типом микобактерий. Или же вторичный туберкулез может протекать в виде обострения ремиссии заболевания. Вторичный туберкулез протекает значительно тяжелее первичного. В легких образуются новые очаги. В ряде случаев они располагаются очень близко друг от друга, что сливаются, образуя обширные полости. Примерно 30% заболевших вторичным туберкулезом умирают в течение 2-3 месяцев после начала заболевания.
Также различают легочные и нелегочные формы туберкулеза. Фазы туберкулезного процесса: инфильтрации, распада, обсеменения; рассасывания, уплотнения, рубцевания, обызвествления. Более чем в 90% случаев приходится на легочную форму туберкулеза. Также возможно поражение мочеполовых органов, мозга, костей, кишечника и других органов.
Туберкулез легких вызывает множество мнений и эмоций среди людей. Многие считают его болезнью, связанной с бедностью и недостатком медицинской помощи, что порождает стигматизацию пациентов. Некоторые люди уверены, что туберкулез — это заболевание, которое давно побеждено, и не осознают его актуальности. Однако врачи подчеркивают, что болезнь все еще представляет серьезную угрозу, особенно в регионах с высоким уровнем заражения. Обсуждая туберкулез, люди часто выражают страх перед его заразностью и последствиями для здоровья. В то же время, растет осознание важности профилактики и ранней диагностики, что помогает разрушить мифы и повысить уровень информированности о заболевании.
https://youtube.com/watch?v=ZcRSypAx1-o
Первые признаки
Самые первые признаки туберкулёза лёгких варьируют в зависимости от формы, стадии и локализации процесса. В 88% случаев инфекция принимает лёгочную форму.
Симптомы туберкулёза лёгких в начальной стадии его развития:
- резкое похудение;
- наличие крови в мокроте;
- кашель с мокротой в течение 2–3 недель;
- периодически повышенная температура до 37,3 °C;
- потливость по ночам;
- общая слабость и упадок сил;
- боль в груди.
Начальные проявления туберкулёзной инфекции можно принять за любое другое заболевание. Если пациент не обращается к врачу своевременно, туберкулёзная инфекция будет прогрессировать и распространяться в организме. Вот почему так важно проходить переодическую флюорографию, которая своевременно выявит очаг заболевания.
Симптомы туберкулеза
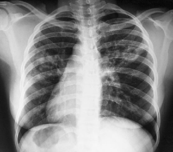
У взрослых туберкулёз лёгких может длительное время протекать бессимптомно или с малым количеством симптомов и обнаружиться случайно при проведении флюорографии или на рентгеновском снимке грудной клетки. Факт обсеменения организма туберкулёзными микобактериями и формирования специфической иммунологической гиперреактивности может быть также обнаружен при постановке туберкулиновых проб.
В случаях, когда туберкулёз проявляется клинически, обычно самыми первыми признаками выступают неспецифические проявления интоксикации: слабость, бледность, повышенная утомляемость, вялость, апатия, субфебрильная температура (около 37 °C, редко выше 38°), потливость, особенно беспокоящая больного по ночам, похудение. Часто выявляется генерализованная или ограниченная какой-либо группой лимфатических узлов лимфаденопатия — увеличение размеров лимфатических узлов. Иногда при этом удаётся выявить специфическое поражение лимфатических узлов — «холодное» воспаление.
Далее по ходу развития заболевания присоединяются более или менее явные симптомы со стороны поражённого органа. При туберкулёзе лёгких это кашель, отхождение мокроты, хрипы в лёгких, насморк, иногда затруднение дыхания или боли в грудной клетке (указывающие обычно на присоединение туберкулёзного плеврита), кровохарканье. При туберкулёзе кишечника — те или иные нарушения функции кишечника, запоры, поносы, кровь в кале и т. д. Как правило (но не всегда), поражение лёгких бывает первичным, а другие органы поражаются вторично путём гематогенного обсеменения.
Однако встречаются случаи развития туберкулёза внутренних органов или туберкулёзного менингита без каких-либо текущих клинических или рентгенологических признаков поражения лёгких и без такового поражения в анамнезе.
https://youtube.com/watch?v=jfq5imhL_oE
Действия пациента
При малейшем подозрении на болезнь необходимо обратиться к семейному врачу. Затяжной кашель, который не купируется обычными противокашлевыми средствами, должен насторожить человека. Следует обратиться к врачу и пройти все необходимые обследования на предмет наличия/отсутствия туберкулеза.
Диагностика туберкулеза
Задача медиков — выявить туберкулез как можно раньше. Для этого детям проводят ежегодно туберкулинодиагностику (пробу Манту), а взрослым — флюорографию. Если возникают какие-то подозрения после проведения этих исследований, а также при наличии симптомов, характерных для туберкулеза, пациента направляют на консультацию к фтизиатру и обследуют более углубленно по следующей схеме:
- Сбор анамнестических данных (какие жалобы, были ли контакты с больными туберкулезом и т.п.).
- Клинический осмотр.
- Рентгенография.
- Лабораторные исследования (анализы крови и мочи).
- Трехкратно микроскопическое и бактериологическое исследование мокроты.
При необходимости проводят ряд специальных обследований: бронхоскопию, биопсию легочной ткани, молекулярно-биологическую диагностику и т.п.
Последствия
Возможные осложнения туберкулёза лёгких:
- Генерализация процесса путём гематогенного распространения с развитием туберкулёзного сепсиса.
- Легочное кровотечение. Его массивность и технические трудности в его остановке — служат часто причиной смерти.
- Развитие хронического «легочного сердца» путём повышения давления в малом круге кровообращения при значительных изменениях в тканях лёгких.
- Туберкулёзный плеврит. Экссудативные формы, с постепенным накоплением жидкости в плевральной полости, так же приводят к прогрессированию дыхательной и последующей сердечной недостаточности.
- Спонтанный пневмоторакс. Проникновение в плевральную полость воздуха в значительном количестве при кавернозных формах может привести к смещению средостения и рефлекторной остановке сердца.
Чем лечить туберкулез?
У взрослых лечение туберкулеза сложное и длительное, в зависимости от типа и тяжести заболевания оно продолжается до двух лет и включает в себя следующие мероприятия:
- Химиотерапию;
- Поддерживающую медикаментозную терапию;
- Хирургические вмешательства (если необходимо);
- Реабилитацию в санаторно-курортных учреждениях.
В современной фтизиатрической практике применяется противотуберкулезная терапия с участием нескольких видов антибиотиков.
На данный момент актуальны три схемы лечения:
- Трёхкомпонентная;
- Четырехкомпонентная;
- Пятикомпонентная.
Лечение туберкулеза состоит из двух основных фаз:
- Интенсивной;
- Пролонгированной.
Целью первой, интенсивной фазы является остановка воспалительного процесса, предотвращение дальнейшей деструкции тканей, рассасывание инфильтрата и экссудата, прекращение выведения туберкулезных микобактерий из организма в окружающую среду. То есть, врачи пытаются сделать так, чтобы человек перестал быть заразным. Это занимает, в среднем, от двух до шести месяцев.
Пролонгированное лечение туберкулеза направлено на полное заживление очагов воспаления, рубцевание поврежденных тканей и восстановление у больного крепкого иммунитета. В зависимости от характера и тяжести заболевания, терапия может продолжаться до двух лет, а в случае мультирезистентной формы туберкулеза — и до трех-четырех лет, пока рентгенологическое обследование не докажет полное затухание болезни.
Дополнительная терапия туберкулеза включает:
- Витамины группы B, глутаминовая кислота и АТФ нужны для предупреждения периферической нейропатии и прочих нежелательных эффектов со стороны ЦНС;
- Иммуностимуляторы (галавит, ксимедон, глутоксим) помогают организму бороться с туберкулезной микобактерией;
- Метилурацил, алоэ вера, глюнат, ФиБС назначают во время лечения туберкулеза для ускорения процессов клеточной регенерации;
- Сорбенты (ацетилцистеин и реосорбилакт) назначают на время отмены химиотерапии в случае крайне тяжелых побочных эффектов. После небольшого периода отдыха лечения все равно приходится возобновлять;
- Гепатопротекторы необходимы для защиты печени от разрушительного действия антибиотиков, их назначают при постоянном контроле уровня билирубина в крови;
- Глюкокортикоиды — крайняя мера, поскольку они обладают сильным иммуносупрессивным действием. Но иногда их все же назначают на короткий срок, чтобы заглушить слишком бурные проявления воспалительного процесса при обширном и тяжелом туберкулезе.
В запущенных случаях может потребоваться оперативное лечение туберкулеза.
Как питаться?
Питание при туберкулёзе лёгких направлено на восстановление веса тела и восполнение недостатка витаминов C, B, A и минералов.
В состав диеты при туберкулёзе входят следующие категории продуктов.
- Полезные жиры рекомендовано получать из оливкового, сливочного и растительного масла.
- Углеводы, содержащиеся в любых продуктах (крупах, бобовых). Рекомендуется мёд, мучные изделия. Легко усвояемые углеводы содержатся во фруктах и овощах.
- Требуется повышенное количество белков в связи с их быстрым распадом. Предпочтительны легко усвояемые белки, содержащиеся в молочных продуктах, рыбе, домашней птице, телятине и яйцах. Мясные продукты нужно варить, тушить, но не жарить.
Пища должна быть калорийной и подаваться свежеприготовленной. Рацион состоит из 4 кратного питания.
Меры профилактики
Предусматривает профилактика туберкулеза, в первую очередь, защиту от заражения активной формой недуга. Для этого нежелательно длительное время находиться в тесном помещении с людьми, болеющими активным туберкулезом. Людям, находящимся в местах скопления больных, в качестве профилактики туберкулеза следует носить защитные маски для лица и соблюдать все правила гигиены. Нельзя допустить перехода латентной формы заболевания в активную. Профилактика туберкулеза у детей предусматривает защиту от инфицирования. Для этого должно регулярно проводиться обследование всех, кто работает в детских заведениях.
Профилактика туберкулеза у детей предусматривает обязательное проведение вакцинации БЦЖ, а также химиопрофилактики заболевания. Кроме того, с целью профилактики туберкулеза проводятся массовые обследования населения путем проведения флюорографии. Раннее выявление признаков туберкулеза позволяет начать лечение на начальных этапах и сделать его максимально эффективным.
Не менее важно принять все меры для укрепления иммунной системы. В данном случае важен здоровый образ жизни, правильное и регулярное питание, полный отказ от курения, наркотиков, злоупотребления спиртными напитками.
Вопрос-ответ
Каковы основные симптомы туберкулеза легких?
Основные симптомы туберкулеза легких включают продолжительный кашель (более трех недель), кровохарканье, ночные поты, потерю веса, усталость и повышенную температуру. При появлении этих признаков важно обратиться к врачу для диагностики.
Как передается туберкулез легких?
Туберкулез легких передается воздушно-капельным путем. Это происходит, когда инфицированный человек кашляет, чихает или говорит, выделяя бактерии в воздух. Здоровые люди могут заразиться, вдыхая эти бактерии.
Как проводится диагностика туберкулеза легких?
Диагностика туберкулеза легких включает несколько этапов: медицинский осмотр, рентгенография грудной клетки, анализ мокроты на наличие бактерий и тесты на туберкулез, такие как проба Манту или интерфероновый тест. Эти методы помогают подтвердить или опровергнуть наличие заболевания.
Советы
СОВЕТ №1
Регулярно проходите медицинские обследования, особенно если вы находитесь в группе риска. Раннее выявление туберкулеза легких значительно увеличивает шансы на успешное лечение.
СОВЕТ №2
Обратите внимание на симптомы, такие как длительный кашель, потеря веса, ночные поты и усталость. Если вы заметили эти признаки, не откладывайте визит к врачу.
СОВЕТ №3
Следите за своим иммунитетом. Здоровый образ жизни, включая правильное питание, физическую активность и отказ от вредных привычек, поможет вашему организму бороться с инфекциями.
СОВЕТ №4
Если вы находитесь в контакте с людьми, у которых диагностирован туберкулез, соблюдайте меры предосторожности, такие как использование масок и регулярная вентиляция помещений, чтобы снизить риск заражения.





