Внутричерепная гипертензия — что это такое, причины и лечение
Внутричерепная гипертензия — это повышенное давление в черепной коробке. Внутричерепное давление (ВЧД) — это сила, с которой внутримозговая жидкость давить на мозг.
Его повышение, как правило, обусловлено увеличением объема содержимого черепной полости (крови, ликвора, тканевой жидкости, инородной ткани). ВЧД может периодически увеличиваться или уменьшаться в связи с изменениями условий окружающей среды и необходимостью организма к ним приспосабливаться. Если его высокие значения сохраняются на протяжении длительного времени, диагностируется синдром внутричерепной гипертензии.
Причины синдрома различны, чаще всего это врожденные и приобретенные патологии. Внутричерепная гипертензия у детей и взрослых развивается при гипертонии, отеках мозга, опухолях, черепно-мозговых травмах, энцефалитах, менингитах, гидроцефалии, геморрагических инсультах, сердечной недостаточности, гематомах, абсцессах.
Что это такое?
Внутричерепная гипертензия — это патологическое состояние, при котором внутри черепа повышается давление. То есть по сути это ни что иное, как повышенное внутричерепное давление.
Врачи отмечают, что внутричерепная гипертензия является серьезным состоянием, требующим внимательного подхода к диагностике и лечению. Специалисты подчеркивают, что данное заболевание может возникать по различным причинам, включая травмы головы, опухоли, инфекции и нарушения ликвородинамики. Важно, чтобы пациенты обращали внимание на симптомы, такие как головные боли, тошнота, рвота и изменения в зрении. Врачи рекомендуют проводить комплексное обследование, включая нейровизуализацию, для определения причины повышения давления в черепной полости. Лечение может варьироваться от медикаментозной терапии до хирургических вмешательств, в зависимости от тяжести состояния. Профилактика и ранняя диагностика играют ключевую роль в снижении риска осложнений.
https://youtube.com/watch?v=x5QwJ6HEIgE
Основные понятия
Внутричерепное давление представляет собой разницу давлений в полости черепа и атмосферного. В норме этот показатель у взрослых составляет от 5 до 15 мм ртутного столба. Патофизиология интракраниального давления подчиняется доктрине Монро-Келли.
В основе этой концепции лежит динамическое равновесие трех компонентов:
- Мозга;
- Цереброспинальной жидкости;
- Крови.
Изменение уровня давления одного из составляющих должно приводить к компенсаторному преобразованию других. В основном это происходит благодаря свойствам крови и ликвора поддерживать постоянство кислотно-основного равновесия, то есть выступать в качестве буферных систем. К тому же мозговая ткань и кровеносные сосуды обладают достаточной эластичностью, что является дополнительным вариантом сохранения подобного баланса. За счет таких защитных механизмов и осуществляется поддержание нормального давления внутри черепной коробки.
Если какие-либо причины вызывают срыв регуляции (так называемый, конфликт давлений), возникает внутричерепная гипертензия (ВЧГ).
При отсутствии очаговой причины развития синдрома (например, при умеренной гиперпродукции ликвора или при незначительной венозной дисциркуляции) формируется доброкачественная внутричерепная гипертензия. Только данный диагноз присутствует в международной классификации болезней МКБ 10 (код G93.2). Существует и несколько другое понятие — «идиопатическая внутричерепная гипертензия». При данном состоянии этиологию синдрома установить так и не удается.
Причины развития
Чаще всего повышение внутричерепного давления возникает из-за нарушения циркуляции спинномозговой жидкости (ликвора). Это возможно при повышении ее выработки, нарушении ее оттока, ухудшении ее всасывания. Нарушения кровообращения являются причиной плохого притока артериальной крови и застоя ее в венозном отделе, что увеличивает суммарный объем крови в полости черепа и также приводит к повышению внутричерепного давления.
В целом, наиболее часто встречающимися причинами внутричерепной гипертензии могут быть:
- опухоли полости черепа, в том числе и метастазы опухолей другой локализации;
- воспалительные процессы (энцефалит, менингит, абсцесс);
- врожденные аномалии строения головного мозга, сосудов, самого черепа (заращение путей оттока спинномозговой жидкости, аномалия Арнольда-Киари и так далее);
- черепно-мозговые травмы (сотрясения, ушибы, внутричерепные гематомы, родовые травмы и так далее);
- острые и хронические нарушения мозгового кровообращения (инсульты, тромбозы синусов твердой мозговой оболочки);
- заболевания других органов, которые приводят к затруднению оттока венозной крови из полости черепа (пороки сердца, обструктивные заболевания легких, новообразования шеи и средостения и другие);
- отравления и метаболические расстройства (отравление алкоголем, свинцом, угарным газом, собственными метаболитами, например при циррозе печени, гипонатриемия и так далее).
Это, конечно же, далеко не все возможные ситуации, приводящие к развитию внутричерепной гипертензии. Отдельно хотелось бы сказать о существовании так называемой доброкачественной внутричерепной гипертензии, когда повышение внутричерепного давления возникает как бы беспричинно.
Внутричерепная гипертензия — это состояние, о котором многие люди слышали, но не все понимают его серьезность. Некоторые пациенты описывают свои ощущения как постоянные головные боли, которые не поддаются обычным обезболивающим. Другие отмечают ухудшение зрения или появление “мушек” перед глазами. В социальных сетях можно встретить обсуждения о том, как это заболевание влияет на повседневную жизнь: от трудностей с концентрацией до эмоциональных колебаний. Многие делятся своим опытом лечения, включая медикаментозную терапию и изменения в образе жизни. Важно, что люди осознают необходимость обращения к врачу при первых симптомах, так как своевременная диагностика может предотвратить серьезные последствия. Обсуждения на форумах подчеркивают, что поддержка близких и информированность о заболевании играют ключевую роль в борьбе с этой проблемой.
https://youtube.com/watch?v=-VpAD3TVyJ4
Симптомы
Формирование клинического гипертензионного синдрома, характер его проявлений зависят от локализации патологического процесса, его распространённости и быстроты развития.
Синдром внутричерепной гипертензии проявляется такими симптомами у взрослых:
- Головной болью повышенной частоты или тяжести (нарастающая головная боль) иногда пробуждающая ото сна, нередко вынужденным положением головы, тошнотой, повторяющейся рвотой. Она может быть осложнена кашлем, болезненным позывом на мочеиспускание и дефекацию, похожими на манёвр Вальсальвы действиями. Возможны расстройство сознания, судорожные припадки. При длительном существовании присоединяются нарушения зрения.
- История может включать травму, ишемию, менингит, шунт цереброспинальной жидкости, интоксикацию свинцом или с нарушением метаболизма (синдром Рея, диабетический кетоацидоз). Новорождённые с кровоизлиянием в желудочки головного мозга, или с менингомиелоцеле имеют предрасположенность к внутричерепной гидроцефалии. Дети с синим пороком сердца имеют предрасположенность к абсцессу, у детей с серповидно-клеточной болезнью может быть обнаружен инсульт, ведущий к внутричерепной гипертензии.
Объективными признаками внутричерепной гипертензии являются отёк диска зрительного нерва, повышение давления цереброспинальной жидкости, повышение осмотического давления конечностей, типичные рентгенологические изменения костей черепа. Следует учитывать, что эти признаки появляются не сразу, а по истечении длительного времени (кроме повышения давления цереброспинальной жидкости).
Также выделяют такие признаки как:
- потеря аппетита, тошнота, рвота, головная боль, сонливость;
- невнимательность, пониженная способность к пробуждению;
- отёк диска зрительного нерва, парез взгляда вверх;
- повышенный тон, положительный рефлекс Бабинского;
При значительном повышении внутричерепного давления возможны расстройство сознания, судорожные приступы, висцерально-вегетативные изменения. При дислокации и вклинении стволовых структур мозга возникают брадикардия, нарушение дыхания, снижается или пропадает реакция зрачков на свет, повышается системное артериальное давление.
Внутричерепная гипертензия у детей
У детей выделяют два вида патологии:
- Синдром медленно нарастает в первые месяцы жизни, когда роднички не закрыты.
- Болезнь стремительно развивается у детей после года, когда швы и роднички закрылись.
У детей до года из-за открытых черепных швов и родничков симптоматика обычно бывает невыраженной. Компенсирование происходит из-за раскрытия швов и родничков и увеличения объема головы.
Для первого типа патологии характерны следующие признаки:
- рвота возникает несколько раз в сутки;
- малыш мало спит;
- расходятся черепные швы;
- ребенок часто и подолгу плачет без причин;
- роднички набухают, пульсация в них не прослушивается;
- под кожей отчетливо видны вены;
- дети отстают в развитии, позднее начинают держать головку и сидеть;
- череп не по возрасту большой;
- кости черепа формируются непропорционально, лоб неестественно выступает;
- когда ребенок смотрит вниз, между радужкой и верхним веком видна белая полоска белка глазного яблока.
Каждый из этих признаков по отдельности не указывает на повышенное давление внутри черепа, но наличие хотя бы двух из них — это повод обследовать ребенка.
Когда зарастают роднички и черепные швы, проявления внутричерепной гипертензии становятся выраженными. В это время у ребенка появляются следующие симптомы:
- постоянная рвота;
- беспокойство;
- судороги;
- потеря сознания.
В этом случае нужно обязательно вызвать скорую помощь.
Синдром может развиться и в более старшем возрасте. У детей от двух лет болезнь проявляется следующим образом:
- нарушаются функции органов чувств из-за скопления ликвора;
- возникает рвота;
- по утрам при пробуждении появляются распирающие головные боли, которые давят на глаза;
- при подъеме боль ослабевает или отступает по причине оттока ликвора;
- ребенок отстает в росте, имеет лишний вес.
Повышенное ВЧД у детей приводит к нарушениям в развитии головного мозга, поэтому важно обнаружить патологию как можно раньше.
https://youtube.com/watch?v=OOF9gSHvLGk
Доброкачественная внутричерепная гипертензия (ДВГ)
Это одна из разновидностей ВЧД, которую можно отнести к временному явлению, которое вызывается рядом неблагоприятных факторов. Состояние доброкачественной внутричерепной гипертензии обратимо и не представляет серьезной опасности, так как в этом случае сдавливание головного мозга происходит не из-за влияния какого-либо инородного тела.
Вызвать ДВГ могут следующие факторы:
- Гиперпаратиреоз;
- Сбои в менструальном цикле;
- Отмена некоторых препаратов;
- Гиповитаминоз;
- Ожирение;
- Беременность;
- Передозировка витамина A и др.
Доброкачественная внутричерепная гипертензия связана с нарушением всасывания или оттока цереброспинальной жидкости. Пациенты жалуются на головные боли, усиливающиеся при движении, а иногда даже при чихании или кашле. Основное отличие заболевания от классической гипертензии головного мозга заключается в том, что у больного не наблюдается никаких признаков угнетения сознания, а само состояние не имеет каких-либо последствий и не требует специального лечения.
Осложнения
Мозг — уязвимый орган. Продолжительное сдавливание приводит к атрофии нервной ткани, а значит, страдают умственное развитие, способность к движению, возникают вегетативные расстройства.
Если вовремя не обратиться к специалисту, будет наблюдаться сдавливание. Мозг может быть вытеснен в затылочное отверстие либо в вырезку намета мозжечка. При этом сдавливается продолговатый мозг, где находятся центры дыхания и кровообращения. Это приведет к гибели человека. Вдавление в вырезку намета сопровождается постоянной сонливостью, зевотой, дыхание становится глубоким и учащенным, зрачки заметно сужены. Встречается вклинивание крючка гиппокампа, симптомом чего служит расширение зрачка или отсутствие световой реакции на стороне повреждения. Увеличение давления приведет к расширению второго зрачка, сбою ритма дыхания и коме.
Высокое внутричерепное давление всегда сопровождается потерей зрения из-за сдавливания зрительного нерва.
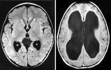
Диагностика
Для диагностики проводится измерение давление внутри черепа с помощью введения иглы присоединенной к манометру в спинномозговой канал или в жидкостные полости черепа.
Для постановки берется во внимание ряд признаков:
- Устанавливается по плохому оттоку венозной крови из области черепа.
- По данным МРТ (магнитно-резонансной томографии) и КТ (компьютерной томографии).
- Судят по степени разрежения краев желудочков мозга и расширению жидкостных полостей.
- По степени расширения и кровенаполненности вен глазного яблока.
- Согласно данным УЗИ сосудов головного мозга.
- Согласно данным результатов энцефалограммы.
- Если глазные вены хорошо просматриваются и сильно наполнены кровью (красные глаза), то можно косвенно утверждать о повышении давления внутри черепа.
На практике в большинстве случаев для более точной постановки диагноза и степени развития заболевания используется дифференциация симптомов клинического проявления гипертензии в сочетании с результатами аппаратного исследования головного мозга.
Лечение внутричерепной гипертензии
Каково же лечение при повышенном внутричерепном давлении у взрослых? Если это доброкачественная гипертензия, невролог назначает мочегонные препараты. Как правило, одного этого достаточно для облегчения состояния больного. Однако это традиционное лечение не всегда приемлемо для больного и не всегда может им выполняться. В рабочее время не «посидишь» на мочегонных. Поэтому для снижения внутричерепного давления можно выполнять специальные упражнения.
Также очень хорошо помогает при внутричерепной гипертензии особый питьевой режим, щадящая диета, мануальная терапия, физиотерапевтические процедуры и иглоукалывание. В некоторых случаях больной обходится даже без медикаментозного лечения. Признаки заболевания могут пройти в течение первой недели от начала лечения.
Несколько иное лечение применяется при черепно-мозговой гипертензии, возникшей на почве каких-то других заболеваний. Но перед тем как лечить последствия этих заболеваний, требуется ликвидировать их причину. Например, если у человека развилась опухоль, создающая давление в черепной коробке, надо сначала избавить пациента от этой опухоли, а потом уже бороться с последствиями ее развития. Если же это менингит, то нет смысла проводить лечение мочегонными средствами без одновременной борьбы с воспалительным процессом.
В очень тяжелых случаях (например, ликворный блок после нейрохирургических операций или врожденный ликворный блок) применяется хирургическое лечение. Например, разработана технология вживления трубок (шунтов) для отвода избытка ликвора.
PS: К понижению внутричерепного давления (гипотензия) приводят обезвоживание организма (рвота, диарея, большие кровопотери), хронический стресс, вегето-сосудистая дистония, депрессия, невроз, заболевания, сопровождающиеся нарушением кровообращения в сосудах головного мозга ( например ишемия, энцефалопатия, шейный остеохондроз).
Итог
Таким образом, внутричерепная гипертензия — это патологическое состояние, которое может возникать при самых различных заболеваниях головного мозга и не только. Она требует обязательного лечения. В противном случае возможны самые разнообразные исходы (в том числе полная слепота и даже смерть).
Чем ранее будет диагностирована данная патология, тем лучших результатов можно добиться меньшими усилиями. Поэтому не стоит затягивать с посещением врача при наличии подозрения на повышение внутричерепного давления.
Вопрос-ответ
Что такое внутричерепная гипертензия и каковы ее основные причины?
Внутричерепная гипертензия — это состояние, при котором повышается давление внутри черепной коробки. Основные причины могут включать травмы головы, опухоли мозга, инфекции, такие как менингит, а также нарушения оттока ликвора. В некоторых случаях причина может оставаться неизвестной.
Какие симптомы могут указывать на наличие внутричерепной гипертензии?
Симптомы внутричерепной гипертензии могут варьироваться, но наиболее распространенные включают головные боли, тошноту, рвоту, изменения в зрении (например, двоение в глазах), а также возможные изменения в сознании. Важно обратиться к врачу при появлении этих симптомов.
Как диагностируется и лечится внутричерепная гипертензия?
Диагностика внутричерепной гипертензии обычно включает нейровизуализационные методы, такие как МРТ или КТ, а также измерение давления ликвора с помощью люмбальной пункции. Лечение может варьироваться в зависимости от причины и может включать медикаментозную терапию, хирургическое вмешательство или другие методы, направленные на снижение давления внутри черепа.
Советы
СОВЕТ №1
Регулярно консультируйтесь с врачом. Если у вас есть симптомы, такие как головные боли, тошнота или изменения в зрении, важно обратиться к специалисту для диагностики и назначения лечения.
СОВЕТ №2
Следите за своим образом жизни. Правильное питание, регулярные физические нагрузки и достаточное количество сна могут помочь снизить риск развития внутричерепной гипертензии.
СОВЕТ №3
Избегайте стрессовых ситуаций. Стресс может усугубить симптомы и привести к ухудшению состояния. Рассмотрите методы релаксации, такие как медитация или йога.
СОВЕТ №4
Обратите внимание на свои привычки. Ограничьте потребление соли и алкоголя, так как они могут способствовать повышению артериального давления и, как следствие, внутричерепной гипертензии.




