Грыжа шейного отдела позвоночника: симптомы и лечение
Если вы думаете, что позвоночная грыжа шейного отдела свойственна только людям пожилым и не очень активным, вы заблуждаетесь. В современном обществе патология молодеет с каждым годом. Нередки случаи, когда данный диагноз ставится гражданам, не достигшим 30 лет! Но излюбленная категория болезни — люди среднего возраста, от 30 до 50 лет.
Согласитесь, в такие годы совсем не хочется страдать от хронических патологий, тем более от межпозвоночной грыжи. При локализации в абсолютно любых сегментах шейного отдела недуг способен здорово подпортить жизнь, ограничив трудовую деятельность человека и принеся дискомфорт, скованность и боль при движениях.
Что это такое?
Грыжа межпозвоночного диска — это выпячивание пульпозного ядра. Основная причина появления патологии — разрыв фиброзного кольца диска вследствие дистрофических изменений хрящевой ткани межпозвоночных образований (остеохондроза), травм или воздействия на позвоночник неравномерных нагрузок.
Наиболее подвержены недугу люди среднего возраста с избыточным весом, в особенности мужчины. Обнаружение же подобных дефектов у детей свидетельствует о врожденном характере патологии.
Врачи отмечают, что грыжа шейного отдела позвоночника становится все более распространенной проблемой, особенно среди людей, ведущих малоподвижный образ жизни. Симптомы, такие как боль в шее, онемение и слабость в руках, могут значительно ухудшить качество жизни пациента. Специалисты подчеркивают важность ранней диагностики и комплексного подхода к лечению, который может включать физиотерапию, медикаментозное лечение и, в некоторых случаях, хирургическое вмешательство. Врачи рекомендуют уделять внимание профилактике, включая регулярные физические упражнения и правильную осанку, чтобы снизить риск развития данной патологии. Своевременное обращение к специалисту и соблюдение рекомендаций могут помочь избежать серьезных осложнений и восстановить нормальную функциональность шейного отдела.
https://youtube.com/watch?v=YmPUvtpWm9E
Причины возникновения
Межпозвоночная грыжа шейного отдела позвоночника возникает из-за воздействия разных факторов.
К причинам развития заболевания относятся:
- Травмы. Любые повреждения, ушибы, удары шейного отдела позвоночника могут спровоцировать образование заболевания. Природа их возникновения может быть разной: спортивные или бытовые травмы.
- Болезни. Часто предпосылкой для образования грыжи является наличие других заболеваний позвоночника, к ним относится остеохондроз, спондилез, сколиоз.
- Образ жизни. Сидячая работа, низкая активность в течение дня, отсутствие элементарных физических нагрузок может послужить образованию грыжи шейного отдела.
- Возраст. Люди в возрасте тридцати — пятидесяти лет находятся в зоне риска развития заболевания. Как правило, они ведут малоактивный образ жизни, позвоночник и межпозвоночные диски теряют свою прежнюю силу, к ним не поступает необходимого количества полезных компонентов.
- Врожденная патология. Патологические образования или изменения позвоночника могут послужить причиной развития грыжи шейного отдела.
- Вредные привычки, неправильное питание. Курения, чрезмерное употребление алкоголя или жирной пищи тормозят поступление к позвоночнику полезных веществ, в результате чего межпозвоночные диски ослабевают, теряют свою эластичность, упругость, что провоцирует образование грыжи шейного отдела.
Классификация
По расположению выделяют грыжи:
- Задние — они растут как раз в сторону спинно-мозгового канала и в худшем варианте могут привести к поперечному сдавлению спинного мозга, развитию спастических параличей ног и вялому параличу рук.
- Передние — они абсолютно безопасны, потому что никогда не приводят к сдавлению спинальных корешков или спинного мозга.
- Грыжа Шморля — если пульпозное ядро диска врастает в тело нижележащего позвонка, то это не опасная грыжа и чаще всего никак себя не проявляет. Просто рентгенологическая находка!
- Задне-боковые грыжи — тоже достаточно опасные, потому что приводят к сдавлению спинно-мозговых корешков, стойкому болевому синдрому в руке и иногда никакое другое лечение, кроме операции, больному не может помочь.
По величине выделяют различные размеры грыжевых выпячиваний:
- Грыжи — это разрушение фиброзных волокон наружной части диска и заполнение пространства гелеобразным веществом. При этом наружная стенка еще сохраняет целостность, удерживая выпадение студенистой массы, но истончается и выступает за края диска от 2-3 мм и более;
- Протрузии — небольшое выдавливание наружного кольца диска при полной сохранности плотной наружной стенки. Это начальный, обратимый этап грыжеобразования;
- Секвестрированные грыжи — прорыв и выпадение большей части студенистого ядра за границы межпозвонкового диска. Очень опасный вариант течения заболевания, при котором помочь может только операция.
Правильность проводимого лечения существенно влияет на течение и исход остеохондроза. Будут образовываться грыжи или нет, какого размера они будут, зависит от того, сколько времени и сил вы посвящаете своему здоровью, лечению и профилактике болей в шее.
Грыжа шейного отдела позвоночника — это состояние, о котором многие люди говорят с опасением. Часто можно услышать, что это заболевание вызывает сильные боли в шее и плечах, а также может приводить к онемению и слабости в руках. Люди делятся своими историями о том, как грыжа изменила их повседневную жизнь, ограничив физическую активность и ухудшив качество сна. Некоторые отмечают, что консервативные методы лечения, такие как физиотерапия и массаж, помогли им справиться с симптомами, в то время как другие рассказывают о необходимости хирургического вмешательства. Важно отметить, что многие пациенты подчеркивают значимость ранней диагностики и регулярных обследований, чтобы избежать серьезных осложнений. Обсуждая свои переживания, люди часто находят поддержку в общении с теми, кто столкнулся с аналогичными проблемами, что помогает им не чувствовать себя одинокими в этой непростой ситуации.
https://youtube.com/watch?v=eyBfXmThW-U
Симптомы грыжи шейного отдела позвоночника
Такое заболевание, как грыжа шейного отдела позвоночника богата симптомами. Условно можно выделить два типа симптоматики: общую и очаговую (см. фото).
Общая симптоматика включает в себя:
- Шейная мигрень.
- Слабость мышц рук.
- Боли на уровне поражения. На ранних стадиях формирования грыжи симптомов может не быть вовсе либо их интенсивность ничтожна. Мало кто обращает внимание на такие «мелочи», как слабая боль. По мере разрастания грыжи происходит компрессия нервных корешков, болевой синдром становится явственнее. Дискомфорт отдает в верхние конечности, челюсти, грудную клетку.
- Среди первых симптомов грыжи шейного отдела позвоночника «визитной карточкой» проявлений становится онемение предплечий и пальцев.
- Чувство ползания «мурашек» по предплечьям и кистям. Это грозное проявление говорит о том, что в патологический процесс вовлечены нервные окончания.
- Головная боль. Формируется в ответ на сдавливание грыжей сосудов, питающих мозг.
- Нарушения артериального давления. Уровень артериального давления «скачет». Обычно наблюдается гипертензия. Возможны варианты.
- Вертебробазилярная недостаточность. Развивается в качестве осложнения патологии. Характеризуется нарушениями зрения, головокружением, нарушениями координации.
Специфические (очаговые) признаки грыжи шейного отдела позвоночника разнятся от пациента к пациенту. Все дело в ее локализации.
- Локализация грыжи на уровне С2-С3. Дает знать о себе онемением языка, гортани, снижением зрения. Возможны нарушения со стороны сердечного ритма, дыхания.
- Грыжи на уровне С5-С6. Проявляется чувством слабости одной из рук, особенно локтя. Пациенту сложно манипулировать пальцами, совершать мелкие моторные движения.
- Локализация С6-С7. У людей с грыжей между 6 и 7 шейными позвонками болит и немеет задняя поверхность плеча, частично предплечье, кисть с тыльной стороны, а также средний и безымянный пальцы. Больному тяжело сгибать руку в кулак и делать обратное движение. Появляется «ватность» конечности.
- Локализация С3-С4. Характерные признаки грыжи между 3 и 4 шейными позвонками: боль в области шеи, ключиц, «погонов», ограничение движений головой, а также усиление неприятных ощущений при попытках приподнять плечи.
- Поражение на уровне С4-С5. Невозможно поднять руку, ощущаются боли в плече, онемение мышц.
Признаки грыжи шейного отдела позвоночника развиваются постепенно. Важно вовремя прислушаться к собственному самочувствию и не дать болезни прогрессировать.
Диагностика
После осмотра, некоторых тестирований, постановки предварительного диагноза назначается аппаратное обследование:
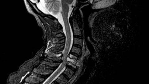
- Магнитно-резонансная томография. Наиболее популярный и информативный метод диагностирования грыжи шейного отдела позвоночника. Показателен, когда нужно получить сведения о структуре, параметрах, локализации грыжи. Если же доктора интересует состояние позвонков, лучше для этих целей прибегнуть к КТ.
- Рентгенография. С целью исследования состояния шейных позвонков делают два вида снимков: в анфас и профиль. Обнаружить новообразование посредством этого метода невозможно, однако врач сможет изучить состояние позвонков и установить причину, что спровоцировала рассматриваемый недуг.
- Инвазивная КТ-миелография. Применяется в условиях стационара, когда есть подозрения на передавливание грыжей спинного мозга. Для этой манипуляции используют контрастное вещество, которое внедряют в область вокруг спинного мозга.
- Компьютерная томография. Она дает полную картину о состоянии дисков, визуализирует локализацию небольших дефектных образований.
https://youtube.com/watch?v=hmbgfDEOn7c
Осложнения
Если патологию вовремя не диагностировать, она будет прогрессировать, что крайне неблагоприятно может впоследствии отразиться на здоровье человека и привести к таким осложнениям, как:
- ярко выраженная боковая деформация позвоночного столба — сколиоз;
- нарушение дыхания или его остановку из-за сильного повреждения спинного мозга, что требует немедленного врачебного вмешательства;
- мышечная слабость верхних конечностей, включая их частичную или полную парализацию;
- невротические расстройства, ухудшение слуха и зрения, частые обмороки, нарушения со стороны желудка (состояние тошноты, рвота), раскоординация походки и др.;
- плохая циркуляция кровотока в системах мозгового и спинномозгового отделов, такие острые нарушения приводят к инсультным ударам.
Вышеописанные последствия относятся к числу крайне опасных осложнений, которые не только могут значительно испортить качество мирского существования, а и стоить человеку жизни. Если патология доведена до критической точки развития и повредила нервные структуры спинного мозга, без хирургии в данном случае не обойтись. Вот почему важно на ранних этапах взять болезнь под медицинский контроль, когда все еще решается простыми методами — медикаментами и физиотерапией.
Как лечить грыжу шейного отдела?
Лечение указанной патологии будет определяться выраженностью симптомов, наличием сопутствующих заболеваний, эффективностью консервативной терапии, а также специалистом, к которому пациент обратился за помощью.
Чтобы уменьшить неудобства, вызванные межпозвоночной грыжей, и избежать дальнейшего прогрессирования заболевания, необходимо:
- свести к минимуму пребывание в позах, которые вызывают и усиливают болевые симптомы;
- не подниматье тяжелых предметов;
- не делать резких движений шеи и головы;
- правильно отдыхать (выбрать ортопедическую подушку для сна и удобный матрас);
- использовать противовоспалительные препараты, уменьшающие боль;
- пройти курс мануальной терапии (массажа).
Медикаментозное лечение
Лечение с помощью медикаментозных средств осуществляется после постановки диагноза по рецепту врача. Для облегчения состояния больного используются следующие группы лекарств:
- Противовоспалительные (они снимают боль путем устранения ферментов воспаления). В первые 3-5 дней их лучше принимать в виде инъекций (это «Диклофенак», «Анальгин», «Денебол»), затем переходить на прием данных препаратов в виде таблеток («Ибупрофен», «Мелоксикам», «Нимесил»).
- Миорелаксанты (расслабляющие мышцы). Это препараты, устраняющие спазм только «зажатых» мышц. Это «Тизалуд», «Мидокалм», «Толперизон», «Сирдалуд». Их вначале назначают в виде внутримышечных уколов. затем переходят на таблетки.
- Хондропротекторы. Это «Артра», «Дона», «Структум» и другие препараты. Их нужно принимать не менее полгода, чтобы запустить процесс восстановления фиброзного кольца диска.
- Если отмечаются выраженные слабость, онемение или жжение в руке, может быть полезна блокада пораженного сегмента с помощью новокаина с добавлением глюкокортикоидов. Данную процедуру не стоит повторять чаще 3-4 раз за 2 месяца лечения.
Блокада
В зависимости от локализации грыжи и сопутствующих ей симптомов врачом может назначаться медикаментозная блокада, проводимая при помощи лидокаина, новокаина, тримекаина и пр. Подобный шаг имеет несколько важных плюсов:
- дает отличный обезболивающий эффект;
- нетоксичен и безопасен;
- нервная ткань чувствительна к вводимому препарату.
Однако данная процедура считается хирургическим вмешательством, поэтому не исключено развитие осложнений, с которыми вам следует ознакомиться, прежде чем давать согласие на ее проведение.
Массаж
Массаж при грыже шейного отдела позвоночника относится к эффективному методу лечения. С его помощью удается наладить кровообращение в шее и области пораженных тканей, снять мышечный тонус, устранить болевой синдром, оказать расслабляющее воздействие на все мышцы тела. Грыжи шейного отдела часто сопровождаются ущемлением нервных окончаний. С помощью массажа достигается лечебный эффект, позволяющий снять спазм и освободить ущемленный нерв.
Сеанс проводится квалифицированным специалистом в условиях стационара или на дому. Количество процедур и вид массажа подбираются индивидуально для каждого пациента лечащим врачом.
Лечебная гимнастика
Упражнения при грыже шейного отдела разделяют на три периода. В первом, остром, который длится первые 7 суток от начала лечения, можно лежа выполнять только дыхательные упражнения на диафрагмальное дыхание.
Через неделю уже можно расширять выполняемые упражнения. Шеей еще двигать нельзя, но нужно начинать укреплять мышцы рук. Для этого производят:
- круговые движения кистями;
- сжимание рук в кулаки и разжимание кулаков;
- круговые движения в локтевых суставах;
- сгибание-разгибание в локтях.
Гимнастика при грыже через 2 или больше недели от начала лечения состоит из таких упражнений, которые будут укреплять мышечный корсет шеи:
- лежа на спине, давите затылком на кушетку;
- из этого же положения, давите на ладонь врача или помощника, лбом;
- лежа на животе, давите лбом на кушетку;
- из предыдущего положения нужно надавливать затылком на руку помощника;
- теперь нужно давить на руку помощника то лбом, то затылком (но не в полную силу), из положения сидя;
- так же сидя, но положив кисти на стол, поднимайте и опускайте плечи;
- из положения сидя, руки свободно лежат на коленях, потихоньку поворачивайте голову то вправо, то влево, постепенно увеличивая угол поворота;
- следующим этапом станут наклоны головы вправо-влево, а потом — вперед и назад;
- встаньте на ноги, руки свободно висят вдоль тела, спина прямая. Постепенно опускайте голову, пытаясь достать подбородком до груди.
Имейте в виду, при появлении боли, головокружения или каких-либо неприятных симптомов, упражнение стоит прекратить.
Физиотерапия
Актуальным вопросом на сегодняшний день является межпозвоночная грыжа шейного отдела и лечение с помощью физиотерапии. К основным методам этого вида лечения относят:
- электрофорез;
- иглоукалывание;
- фонофорез;
- магнитотерапия;
- внутритканевая электромиостимуляция
Физиотерапия основана на использовании природных ресурсов, таких как тепло, свет, магнитные волны, электричество. Такой вид лечения широко применяют в послеоперационный период, а также во время реабилитации больного после тяжелого течения заболевания.
Каждый из методов физического лечения имеет свои противопоказания. Использовать тот или иной способ терапии разрешается строго по назначению врача с учетом всех необходимых рекомендаций.
Оперативное лечение
В том случае, если консервативное лечение грыжи в шейном отделе позвоночника оказалось неэффективным, то нужна операция. Какие показания существуют к оперативному вмешательству?
- Усиление болевого синдрома, который не купируется;
- Прогрессирование мышечной слабости, паралича и пареза;
- Появление спинальной симптоматики, связанной с компрессией спинного мозга.
Операции грыжи шейного отдела позвоночника чаще всего, сводятся к выполнению микродискэктомии из маленького доступа. Большого разреза не требуется. Кроме удаления диска, вторым этапом является проведение стабилизации между соседними позвонками.
Это связано с тем, что в шейном отделе велика подвижность. Кроме того, этим достигается нормальное расстояние между позвонками, и восстановление фораминального (межпозвонкового) кровотока. Для этого используется собственный костный аутотрансплантат, который берется из тазовой кости пациента, который вставляется между соседними позвонками, а через несколько месяцев срастается с ними.
Таким образом, цена за лечение боли и параличей — это незначительное ограничение в шее.
Более современной методикой является установка кейджа, или сетки, содержащего костную крошку пациента. Этот кейдж со временем также прорастает костной тканью, иммобилизируя два соседних позвонка.
Самым современным методом является установка искусственного межпозвонкового диска, который полностью заменяет удаленный, сохраняя эластичность и подвижность в зоне операции. Искусственный диск имеет такую же подвижность и амортизационные свойства, как и человеческий хрящ.
Подобное эндопротезирование шейного диска можно сделать за 35 — 40 тысяч долларов за рубежом.
В заключение можно сказать, что грыжа шейного отдела позвоночника, симптомы и лечение которой мы рассмотрели, не возникает внезапно. И всегда, в той или иной степени, пациентом бывает упущено драгоценное время.
Своевременная диагностика и лечение грыжи в шейном отделе позвоночника, уже на стадии минимальных изменений, позволят пациентам обойтись без операции в большом числе случаев.
Профилактические мероприятия
Выполнять несложные профилактические мероприятия под силу каждому человеку. Если вы хотите сохранить позвоночник здоровым и не допустить образования межпозвонковой грыжи, то вам стоит:
- Стараться не допускать чрезмерных физических нагрузок на шею.
- Отказаться от вредных привычек, если они имеются.
- Обратить внимание на свою кровать. Для здоровья позвоночника рекомендовано спать на ортопедических матрасах, обладающих достаточной жесткостью.
- Не допускать появления лишнего веса. Лишние килограммы существенно нагружают ваш позвоночник, что негативно сказывается на межпозвоночных дисках.
- Вести активный образ жизни. В это понятие включается правильно организованный рабочий день и полноценный отдых. Вы должны быть достаточно подвижным человеком, ежедневно заниматься оздоровительными упражнениями, практиковать занятия в бассейне и правильное питание.
Эти простые профилактические правила в совокупности с хорошей мотивацией, позволят сохранить здоровье и в большинстве случаев избежать появления такого неприятного заболевания, как межпозвоночная грыжа.
Вопрос-ответ
Что такое грыжа шейного отдела позвоночника и как она возникает?
Грыжа шейного отдела позвоночника — это состояние, при котором межпозвоночный диск в шейной области выходит за пределы своего нормального положения, что может привести к сдавлению нервных корешков или спинного мозга. Это может произойти из-за возрастных изменений, травм, неправильной осанки или чрезмерной нагрузки на шею.
Какие симптомы могут указывать на наличие грыжи шейного отдела?
Симптомы грыжи шейного отдела могут включать боль в шее, иррадиирующую в плечи и руки, онемение или покалывание в руках, слабость в мышцах верхних конечностей, а также головные боли и ограничения в движении шеи.
Как диагностируется грыжа шейного отдела позвоночника?
Диагностика грыжи шейного отдела обычно включает физический осмотр, оценку симптомов и медицинскую историю пациента. Для подтверждения диагноза могут быть назначены дополнительные исследования, такие как рентген, магнитно-резонансная томография (МРТ) или компьютерная томография (КТ), которые помогут визуализировать состояние дисков и нервных структур.
Советы
СОВЕТ №1
Регулярно выполняйте упражнения для укрепления мышц шеи и спины. Это поможет улучшить осанку и снизить нагрузку на позвоночник, что может предотвратить развитие грыжи.
СОВЕТ №2
Обратите внимание на свою позу при работе за компьютером. Убедитесь, что экран находится на уровне глаз, а кресло поддерживает правильную осанку. Это поможет избежать перенапряжения шейных мышц.
СОВЕТ №3
Не игнорируйте симптомы, такие как боль или онемение в руках. При первых признаках дискомфорта обратитесь к врачу для диагностики и своевременного лечения, чтобы избежать осложнений.
СОВЕТ №4
Следите за своим весом и придерживайтесь здорового питания. Избыточный вес может увеличить нагрузку на позвоночник, что повышает риск развития грыжи шейного отдела.








