Опоясывающий лишай: лечение у взрослых с помощью препаратов и мазей в домашних условиях
Герпес опоясывающий (по МКБ 10) — вирусное инфекционное заболевание. При возникновении сопровождается болью, выглядит как сыпь. Преимущественно возникает у пожилых людей, в осенний и зимний период. Причиной и возбудителем выступает вирус ветряной оспы — герпес зостер (Herpes Zoster).
В молодом возрасте, когда происходит встреча организма с ветрянкой, он не исчезает после лечения, а переходит в латентное состояние и скрывается в нервных клетках задних рогов спинного мозга, ганглиях автономной нервной системы, черепных нервах. Происходит поражение задних корешков.
В этой статье мы рассмотрим опоясывающий лишай и его лечение у взрослых с помощью эффективных препаратов и мазей в домашних условиях.
Патогенез
Заражение возможно от человека, который болен опоясывающим герпесом или ветряной оспой. Пути передачи вируса — воздушно-капельный, контактный, также возможен трансплацентарный путь. Вирус нейродерматотропный, то есть может поражать клетки нервной системы и эпителия кожи. Первично или после перенесенной ветряной оспы вирус через кожу и слизистые, далее по кровеносной и лимфатической системам проникает в межпозвонковые узлы и задние корешки спинного мозга, где он может длительное время сохраняться в латентном состоянии, как и родственный ему вирус простого герпеса.
Активизация инфекции наступает при снижении иммунологической резистентности организма. Наиболее частые причины начала заболевания:
- приём препаратов, снижающих иммунитет;
- хронические стрессы и изнуряющие работы;
- локальное переохлаждение;
- онкологические заболевания (лимфогранулематоз, злокачественные опухоли);
- последствия лучевой терапии;
- больные ВИЧ-инфекцией в стадии перехода в синдром приобретённого иммунного дефицита (СПИД);
- пересадка органов и костного мозга.
Предрасполагающие факторы:
- лица, старше 55 лет;
- беременные;
- после длительного лечения антибиотиками, цитостатиками, глюкокортикостероидами.
Обязательным компонентом активизации инфекции является своеобразный вирусный ганглионеврит с поражением межпозвоночных ганглиев (или ганглиев черепных нервов) и поражением задних корешков. Вирус может вовлекать в процесс вегетативные ганглии и обусловливать менингоэнцефалит. Могут поражаться и внутренние органы. Таким образом, в картине опоясывающего лишая в отличие от ветряной оспы на первый план выступают главным образом нейротропные свойства вируса.
Врачи подчеркивают, что лечение опоясывающего лишая должно быть комплексным и своевременным. Основной целью терапии является облегчение симптомов и сокращение продолжительности заболевания. Специалисты рекомендуют использовать противовирусные препараты, такие как ацикловир, которые помогают снизить активность вируса и ускорить заживление. Кроме того, для уменьшения болевого синдрома могут быть назначены анальгетики и противовоспалительные средства. Важно также следить за состоянием кожи, чтобы избежать вторичных инфекций. Врачи акцентируют внимание на необходимости консультации с дерматологом или инфекционистом, особенно в случаях тяжелого течения болезни или у пациентов с ослабленным иммунитетом. Профилактика рецидивов включает в себя вакцинацию и поддержание общего здоровья.
https://youtube.com/watch?v=arTq_gT7guY
Заразен ли опоясывающий лишай?
Люди, не перенесшие ранее ветрянку, особенно дети, могут заболеть ею после контакта с больным опоясывающим лишаем.
Симптомы опоясывающего лишая
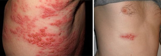
Высыпания и наличие боли — основные симптомы опоясывающего лишая (см. фото). При заболевании у больного всегда отмечаются боли, интенсивность которых бывает от едва ощутимых до мучительных, изнуряющих больного, которые прекращаются на короткий период под воздействия наркотиков. Чаще всего боли появляются в зоне высыпаний на коже, соответствующих пораженным нервам. Интенсивность боли не всегда соответствует тяжести высыпаний на коже.
Продромальный период при опоясывающем герпесе имеет свою особенную окраску. Основные симптомы в этот период: слабость, недомогание, субфебрильная температура тела, головная боль, покалывание, зуд и жжение в местах будущих высыпаний (дерматоме). Продром длится от 2-х дней до недели и более.
Высыпания при опоясывающем лишае:
- 1 период. Появление покраснения (эритемы) в зоне будущих высыпаний. Эритематозные пятна отечны, имеют округлую форму, края приподняты. Если по такому пятну провести пальцем, то можно ощутить шероховатость, представляющую собой множество мельчайших папул. Однако данный симптом часто отсутствует.
- 2 период. Через 1 — 2 дня и в последующие 3 — 4 дня папулы превращаются в везикулы — пузырьки, заполненные прозрачной жидкостью. Пузырьки бывают разной величины, могут располагаться изолированно, реже — сливаются друг с другом.
- 3 период. Через 5 — 7 дней от момента появления первых везикул начинается пустулизация, когда прозрачное содержимое везикул приобретает гнойный характер. Пустулы быстро вскрываются. На их месте образуются корочки. При наличии значительного иммунодефицита у больного в этот период появляются новые высыпания.
- 4 период. На 4-й неделе корочки исчезают. На их месте появляется шелушение и пигментация разной степени выраженности и окраски. Пигментация может оставаться на долгое время. Кожные высыпания располагаются на участках, соответствующих по иннервации черепно-спиномозговых ганглиев.
Чаще всего при опоясывающем герпесе поражаются кожа туловища, чуть реже — конечностей. Высыпания сопровождаются болями, которые часто носят опоясывающий характер. Высыпания локализуются с одной стороны.
После прекращения обострения у 10 — 20% больных развиваются постгерпетические невралгии, при которых боли сохраняются длительное время — от нескольких месяцев до нескольких лет. Боли связаны с поражением вирусами межпозвоночных ганглиев черепно-спиномозговых нервов и задних корешков спинного мозга. Тяжелое течение заболевания регистрируется при поражении спинного и головного мозга, а так же его оболочек. При поражении вегетативных ганглиев нарушается функция внутренних органов.
Боли при опоясывающем герпесе — мучительные проявления заболевания. Нарушается сон, теряется аппетит, снижается вес, развивается хроническая усталость, появляется депрессия. Все это приводит больного к социальной изоляции.
Опоясывающий лишай, или герпес зостер, вызывает множество обсуждений среди пациентов и врачей. Многие отмечают, что раннее обращение к специалисту значительно облегчает течение болезни. Лечение, как правило, включает противовирусные препараты, которые помогают сократить продолжительность симптомов и снизить риск осложнений. Пациенты часто делятся положительным опытом использования обезболивающих средств, которые помогают справиться с интенсивной болью, сопровождающей заболевание.
Некоторые люди также упоминают о важности поддерживающей терапии, включая витамины и иммуномодуляторы, что способствует быстрейшему восстановлению. Однако мнения расходятся: кто-то считает, что народные средства, такие как компрессы с травами, могут быть полезны, в то время как другие настаивают на необходимости традиционного медикаментозного лечения. В целом, большинство согласны, что комплексный подход к терапии позволяет значительно улучшить качество жизни во время болезни.
https://youtube.com/watch?v=zOYoGFNPRqU
Атипичные формы
Встречаются формы опоясывающего герписа, при которых симптомы могут быть нетипичными для данной болезни. К ним относится:
- Абортивная форма — протекает без выраженного болевого синдрома, на коже появляются воспаленные пятна, но сыпь не образуется. Лечение проходит быстро, без осложнений;
- Геморрагическая — это форма характеризуется пузырьковыми высыпаниями наполненными кровью. На пораженном участке эпидермиса снижается чувствительность, возникает онемение и покалывание, кожа сильно зудит;
- Буллезная форма — клинические проявления этой формы проявляются большими пузырьками с неровными краями;
- Гангренозная (некротическая) — на месте папул образуются гнойные язвы покрытые черным струпом. Происходит глубокое поражение тканей, некротические процессы развиваются при присоединении бактериальной инфекции;
- Генерализованная (диссеминированная) форма — встречается у больных с иммунодефицитом и при онкологических заболеваниях. При данной форме заболевания сыпь покрывает все тело с обеих сторон, поражаются слизистые оболочки, внутренние органы и головной мозг.
Около 40% больных раком лимфатической системы страдают от генерализованной формы заболевания, в 10% случаев у них развивается менингоэнцефалит, гепатит, вирусная пневмония и другие тяжелые осложнения.
При любой форме этого заболевания может произойти поражение ганглиев вегетативной нервной системы, что может вызвать атипичные симптомы:
- нарушение стула;
- задержку мочеиспускания;
- зябкость конечностей;
- выраженный венозный рисунок;
- опущение век;
- западание глазного яблока;
- сужение зрачка.
Диагностика
Ответ на вопрос, чем лечить опоясывающий лишай, определяется лечащим врачом. В медицине используется алгоритм, позволяющий выявить характерные изменения при болезни и провести дифференциальную диагностику с заболеваниями внутренних органов (стенокардия, плеврит и др.) и другими инфекционными патологиями (рожа, герпесы 1 и 2 типа, экзема и пр.).
Для всех больных обследование проводится следующим образом:
- Тщательный сбор жалоб и истории появления симптомов. Доктор должен установить факт перенесенной ветрянки в детстве у человека, так как только в этом случае, у пациента возможен опоясывающий лишай. Помимо этого, следует определить давность появления сыпи и особенностей ее локализации на кожном покрове.
- При клиническом и биохимическом исследовании крови, отмечают признаки воспалительных изменений: рост числа лимфоцитов, повышение концентрации С-реактивного белка и фибриногена.
- В тяжелых диагностических случаях, когда не удается сразу же выставить диагноз красного опоясывающего лишай, т.е. герпес зостер, врачи используют молекулярные методы анализа: полимеразную цепную реакцию, иммунофлюоресцентные методы и пр.
Дополнительные диагностические процедуры используются при выявлении патологии у детей в грудном возрасте, при иммунодефицитных состояниях, а также при атипичных формах инфекции, затрудняющих постановку правильного диагноза.
Следует отметить, что только доктор должен заниматься вопросами диагностики, так как при неправильном выявлении болезни, возможно назначение не эффективного лечения опоясывающего герпеса.
https://youtube.com/watch?v=GFdOKu4BSlk
Как и чем лечить опоясывающий лишай
В лечении опоясывающего лишая у взрослых необходимо учитывать несколько моментов:
- выраженность болевого синдрома;
- количество высыпаний и их распространённость;
- наличие либо отсутствие осложнений;
- температуру тела;
- длительность высыпаний.
Большинство случаев опоясывающего лишая заканчивается самостоятельным выздоровлением даже в отсутствии лечения. Однако эффективное лечение существует и может значительно облегчить симптом болезни, а также предотвратить осложнения.
Целями лечения Herpes zoster являются:
- Ускорить выздоровление;
- Уменьшить болевые ощущения;
- Предотвратить осложнения;
- Уменьшить вероятность развития постгерпетической невралгии.
Для лечения опоясывающего герпеса используются препараты нескольких групп:
- патогенетические препараты;
- обезболивающие средства;
- жаропонижающие медикаменты;
- антигистаминные средства.
Противовирусные препараты — основа лечения опоясывающего герпеса у взрослых, их следует начинать с появления первых признаков заболевания, что значительно ускорит заживление кожных поражений и уменьшит частоту возникновения постгерпетического неврита.
Опоясывающий лишай лечение у взрослых: таблетки и мази
Для снятия болей и неприятных ощущений врач может назначить обезболивающие средства, такие как Ибупрофен, Парацетамол, Напроксен или гель с Лидокаином. Если боли носят более интенсивный характер, то такие сильные обезболивающее как Габапентин и Оксикодон будут назначаться вместе с противовирусными средствами. Также возможно применение нестероидных противовоспалительных препаратов (см. список всех НПВС уколы от боли в спине).
Для лечения опоясывающего лишая у взрослых врач может назначить противогерпетические препараты в инъекциях, таблетках, в виде кремов или мазей:
- Препараты ацикловира — Ацикловир, зовиракс, виролекс.
- Препараты валацикловира — Валцикловир, валтрекс. Эфир ацикловира, трансформирующийся после всасывания в ацикловир.
- Препараты пенцикловира — в виде трифосфата пенцикловир также блокирует синтез вирусной дезоксирибонуклеиновой кислоты.
- Препараты фамцикловира. Пролекарство, которое превращается в пенцикловир в печеночных клетках
Противовирусная терапия необходима, поскольку без адекватного лечения опоясывающий лишай может давать осложнения, к тому же противогерпетическое лечение способствует быстрому заживлению язвочек, снижает болевой синдром и улучшает общее состояние. И дозировка, и курс терапии определяется специалистом с учетом индивидуального протекания воспалительного процесса, сопутствующих заболеваний и в среднем составляет не более 10 дней.
В 2019 году достаточно эффективным препаратом для лечения герпеса считается противовирусный крем Эпиген, в состав которого входит глицирризиновая кислота. Он оказывает местное противовоспалительное, противовирусное, иммуномодулирующее, противозудное действие.
При гангренозной форме, когда присоединяется бактериальная инфекция назначают антибиотики широкого спектра действия. Также при необходимости специалистом могут быть назначены ниммуномодуляторы, такие как Циклоферон, Генферон, физиолечение и витаминотерапия.
Для обработки высыпании также существует несколько противоположных мнений. Одно — что можно использовать зеленку — раствор бриллиантовой зелени, борную кислоту — жидкость Кастеллани, фукорцин, крепкий раствор марганцовки. Все эти средства обладают подсушивающим эффектом и использовать их следует с осторожностью во избежании образования ожогов, что ухудшает состояние кожи. Другое мнение, что не стоит обрабатывать высыпания этими средствами, а лучше использовать противовирусные, противогерпетические крема, мази, спреи.
Нельзя применять кортикостероидные препараты, ни перорально, ни в виде кремов и мазей, поскольку это только ухудшает ситуацию. Гормональные средства оказывают подавляющее действие на иммунную систему, которая должна сама справиться с вирусными агентами.
Лечение постгерпетической невралгии с хроническими болями у пожилых людей не всегда успешно, поскольку противовирусные препараты оказываются бессильны. Невропатологи могут назначить плазмоферез, иглоукалывание, физиотерапию, трициклические антидепрессанты, Прегабалин, Габапентин.
Витамины и диета
При опоясывающем лишае рекомендуется употреблять следующие продукты питания:
- молочные продукты (молоко, кефир, сливочное масло, творог);
- овощи (свекла, брокколи, морковь, баклажаны, кабачки, тыква, помидоры, перец, лук);
- белое мясо;
- морепродукты (лосось, судак, сельдь);
- орехи (арахис, фисташки, миндаль, грецкие орехи, кешью);
- фрукты (виноград, абрикосы, яблоки, киви, сливы, цитрусовые);
- крупы (овсяная, пшеничная, ячневая крупы);
- бобовые (горох, фасоль);
- зеленый чай, чай с шиповником или малиной.
Также при опоясывающем лишае для укрепления иммунитета рекомендуется принимать следующие витамины:
- Витамин А;
- Витамин Е;
- Витамин С.
Данные витамины, являясь антиоксидантами, уменьшают способность клеток реагировать на воспаление, а также способствуют повышению защитных сил организма.
- Витамины группы В.
Витамины из данной группы улучшают регенерацию эпителия, участвуют в формировании антител, а также во всех обменных процессах.
Также следует учитывать, что во время лечения больному с герпесом зостер рекомендована щадящая диета, богатая питательными веществами, витаминами и микроэлементами. Продукты питания рекомендуется варить или готовить на пару, также следует снизить употребление соленой, жирной и жареной пищи.
Что еще делать для лечения в домашних условиях?
В лечении опоясывающего лишая в домашних условиях важно уделять внимание обработке высыпаний. При этом использовать мази не рекомендуется. Необходимо наносить антисептические средства в жидкой форме. Лучше всего для этого подойдёт Хлоргекседин. Он может использоваться в любом периоде заболевания. Средство не вызывает неприятных ощущений.
Кроме обработки высыпаний, нельзя забывать о мерах личной гигиены. Ежедневно необходимо принимать душ. Однако на поражённых участках тела нельзя использовать моющие средства и мочалку. Места поражения лучше просто промыть проточной водой комнатной температуры. Не рекомендуется использовать холодную либо горячую воду.
Заживление опоясывающего лишая у человека и его лечение медикаментозными средствами не будет эффективным без подбора правильной одежды. Лучше всего выбирать натуральные материалы — хлопок или лён. Нельзя использовать тесное и облегающее белье — оно может вызвать раздражение и привести к появлению пузырьков на соседних участках кожи.
К какому врачу обратиться?
Так как опоясывающий лишай — проявление обострения герпетической инфекции, при его возникновении можно обратиться к инфекционисту. Кроме него, в лечении поможет дерматолог. при развитии осложнений больного консультирует невролог, офтальмолог.
Последствия и осложнения
В молодом возрасте, человек столкнувшийся с опоясывающим лишаем, чаще всего не ощутит на себе каких-либо последствий или осложнений болезни. Она завершится для больного полным выздоровлением и исчезновением всех симптомов.
Однако, если функционирование иммунной системы нарушено, то возможно развитие серьезных проблем со здоровьем:
- Менингоэнцефалит — еще одно возможное осложнение опоясывающего лишая. Если больной в результате менингоэнцефалита не погибает, то он становится инвалидом.
- Есть вероятность развития нарушений функционирования двенадцатиперстной кишки, брюшных мышц, мочеполовой системы (сфинктера мочевого пузыря), легких (присоединение пневмонии).
- Болезнь может оказать влияние на работу спинного и головного мозга, так как вирус имеет возможность там активно размножаться. Если происходит переход на мозговые ткани, то они подвергаются разрушению, что может привести параличу нижних и верхних конечностей, параличу лицевого нерва. Кроме того, есть угроза нарушения дыхания и гибели больного.
- Если вирус поражает органы зрения, то возможно развитие неврита зрительного нерва. Это грозит формированием глаукомы, поражением роговицы и полной слепотой больного.
- Если заболевание сопровождается присоединением бактериальной инфекции, то состояние человека ухудшается, а процесс выздоровления значительно затягивается.
Как правило, осложнения возникают лишь у людей с ослабленным иммунитетом. Если болезнь протекает в легкой форме, то она не грозит рецидивами и быстро проходит.
Профилактика
Против возникновения заболевания предложена живая вакцина, известная как Zostavax.
Эта вакцина редко вызывает побочные эффекты, но противопоказана пациентам с ослабленным иммунитетом и не может быть эффективной у пациентов, принимающих противовирусные препараты, активные против вируса Varicella zoster. С экономической точки зрения целесообразно применять её для пациентов в возрасте старше 60 лет.
В систематический обзоре Cochrane Library восьми рандомизированных плацебоконтролируемых исследований, которые охватили 52269 участников, удалось установить, что вакцина Zostavax у лиц старшего возраста предотвращает один эпизод опоясывающего лишая на каждые 70 вакцинированных, то есть она была эффективна в снижении риска опоясывающего лишая почти на 50 %. Побочные эффекты, вызванные вакциной, были представлены в основном лёгкими и умеренными симптомами в месте инъекции.
Вопрос-ответ
Какой препарат лучше при опоясывающем лишае?
В настоящее время, согласно общемировой практике, препаратом выбора при лечении ОЛ является фамцикловир в дозе 500 мг 3 раза в сутки.
Можно ли мазать ацикловиром опоясывающий лишай?
Ацикловир лечит опоясывающий лишай, который вызывается реактивацией вируса ветряной оспы (того же вируса, который вызывает ветряную оспу). Он уменьшает продолжительность и тяжесть симптомов опоясывающего лишая.
Советы
СОВЕТ №1
Обратитесь к врачу при первых симптомах. Опоясывающий лишай может проявляться в виде болезненных высыпаний и жжения. Раннее обращение к специалисту поможет начать лечение на ранней стадии и снизить риск осложнений.
СОВЕТ №2
Используйте противовирусные препараты. Лечение опоясывающего лишая часто включает в себя противовирусные средства, такие как ацикловир или валацикловир. Эти препараты могут помочь сократить продолжительность болезни и уменьшить симптомы, если начать их принимать в первые 72 часа после появления высыпаний.
СОВЕТ №3
Обеспечьте себе комфорт. Для облегчения симптомов используйте холодные компрессы на пораженные участки кожи, а также принимайте обезболивающие препараты, такие как ибупрофен или парацетамол, чтобы справиться с болью и дискомфортом.
СОВЕТ №4
Следите за состоянием иммунной системы. Укрепление иммунитета может помочь в борьбе с опоясывающим лишаем. Включите в свой рацион больше витаминов, занимайтесь физической активностью и избегайте стрессов, чтобы поддерживать здоровье на высоком уровне.






