Самое эффективное лечение пародонтоза в домашних условиях народными средствами
Пародонтоз — это заболевание десен, не связанное с воспалительными процессами, при котором происходит нарушение в питании пораженных тканей. При отсутствии своевременного лечения болезнь поражает костные ткани челюсти и приводит к потере зубов.
Диагностируется эта стоматологическая болезнь достаточно часто, и потому сегодня существует множество способов ее лечения. Применять с успехом можно как средства традиционной медицины, так и препараты народных целителей, проверенные временем. Вне зависимости от того, какое лечение будет выбрано, следует помнить, что чем раньше оно будет начато, тем быстрее наступит выздоровление и тем меньше риск потери зубов.
Что это такое?
Пародонтоз — это заболевание ротовой полости, при котором начинает разрушаться пародонт (околозубная ткань, которая отвечает за фиксацию зубов).
С этой проблемой сталкивается 90 процентов наших соотечественников в возрасте после 35 лет. Вначале вы можете не обращать внимание на симптомы, потому что они незначительны (чувствительность к сладкой и соленой пищи, изменение цвета десен), в результате чего болезнь тайно прогрессирует, разрушая парадонт и оголяя нервы зубов.
Врачи отмечают, что пародонтоз является одной из наиболее распространенных стоматологических проблем, затрагивающих здоровье десен и зубов. По мнению специалистов, основными факторами, способствующими развитию этого заболевания, являются недостаточная гигиена полости рта, курение и генетическая предрасположенность. Врачи подчеркивают важность регулярных профилактических осмотров и профессиональной чистки зубов, которые помогают выявить заболевание на ранних стадиях. Кроме того, они рекомендуют пациентам обращать внимание на симптомы, такие как кровоточивость десен и неприятный запах изо рта. Своевременное обращение к стоматологу и соблюдение рекомендаций по уходу за полостью рта могут значительно снизить риск прогрессирования пародонтоза и сохранить здоровье зубов на долгие годы.
https://youtube.com/watch?v=dzs8yqDTBbw
Причины развития
Причины пародонтоза, в отличие от воспалительных заболеваний тканей пародонта, в основном общего характера:
1) Местные причины: неправильный прикус.
2) Заболевания сердечно-сосудистой и нервной системы:
- вегето- сосудистая дистония;
- атеросклероз;
- железо-дефицитная анемия;
- тахикардия, аритмия, стенокардия;
- гипертоническая болезнь;
- трофические нарушения центральной и периферической нервной системы.
3) Авитаминоз, заболевания ЖКТ: недостаток витаминов, питательных веществ вследствие нарушения переваривания и всасывания ведут к обменным расстройствам.
4) Нарушения обмена веществ: резкая задержка синтеза белка, системный остеопороз, нарушение процессов обновления и построения костной ткани.
5) Наследственные факторы: наличие определенных клеток (так называемых высокорисковых моноцитов-макрофагов), продуцирующих вещества, растворяющие кость.
Несмотря на общеизвестное мнение, что бактерии не участвуют в развитии пародонтоза, некоторые ученые всё же доказали роль простагландина типа Е2, выделяемого посредством воздействия токсинов определенных пародонтопатогенных бактерий. При этом воспаление как таковое не развивается, а провоцирует деструкцию и дистрофию костных тканей.
Симптомы пародонтоза
Пародонтоз нельзя назвать бессимптомным заболеванием. По характерным признакам заболевания человек может даже самостоятельно выявить наличие болезни.
Основными симптомами пародонтоза являются:
- незначительный отек десен;
- незначительный болевой синдром;
- неприятный запах изо рта;
- бледный цвет десен;
- наличие жжения в деснах;
- наличие зуда в деснах;
- наличие обильного бактериального налета;
- открытие корней зубов;
- кровоточивость при употреблении жестких продуктов питания;
- кровоточивость при чистке зубов даже мягкой щеткой;
- уменьшение устойчивости зубов.
Наличие даже части проявлений пародонтоза должно серьезно насторожить человека и привести его на прием к стоматологу. Врач грамотно оценит состояние больного, определит степень болезни и назначит адекватное лечение.
Пародонтоз — это заболевание, о котором многие говорят с опасением. Люди часто делятся своим опытом, подчеркивая, что ранние симптомы, такие как кровоточивость десен и неприятный запах изо рта, могут быть незаметны. Некоторые отмечают, что игнорирование этих признаков приводит к серьезным последствиям, включая потерю зубов. В социальных сетях можно встретить множество советов по профилактике и лечению, от регулярной гигиены полости рта до посещения стоматолога. Многие подчеркивают важность здорового питания и отказа от вредных привычек, таких как курение. Однако, несмотря на все предупреждения, некоторые продолжают относиться к проблеме легкомысленно, что вызывает недоумение у тех, кто уже столкнулся с последствиями. Обсуждения на форумах часто наполнены вопросами о лучших методах лечения и рекомендациями по выбору стоматолога, что свидетельствует о растущем интересе к этой теме.
https://youtube.com/watch?v=cqmHY62bKqg
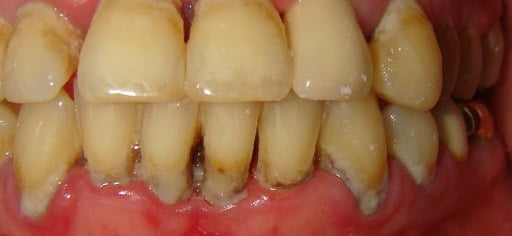
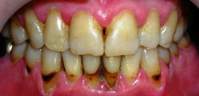
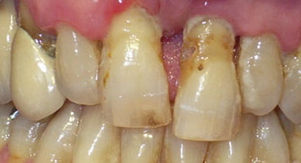
Как выглядит пародонтоз: фото
На фото ниже показано, как проявляется заболевание у человека.
Пародонтоз — лечение в домашних условиях
Самостоятельное лечение пародонтоза, без участия врача-профессионала, крайне нежелательно. Заболевание лечится длительное время и с трудом даже при использовании интенсивной терапии, а самолечение может (в лучшем случае) оказаться неэффективным.
Но существуют методы лечения в домашних условиях, которые весьма полезно использовать в совокупности с регулярным посещением пародонтолога. Главная задача в лечении пародонтоза — предотвратить образование зубного налета:
- в первую очередь, усовершенствовать технику чистки зубов, уделяя внимание труднодоступным местам;
- использовать зубную нить после каждого приема пищи;
- ополаскивать зубы медицинским антисептическим средством, как минимум, на ночь;
- исправить (при необходимости) прикус зубов;
- найти совестливого стоматолога, который делает красивые, плотные края на коронках, и тщательно шлифует пломбы.
Лечение средствами народное медицины рекомендуется проводить только в сочетании с профессиональным лечением в стоматологической клинике, так как пародонтоз достаточно сложно лечится. Далее, идут наиболее эффективные и имеющие под собой обоснованную базу, ведь ими избавлялись от недуга еще наши дедушки и бабушки.
Вот список:
- Бессмертник, аир и девясил смешать в одинаковом количестве. Отделить от общей массы 50 г сырья и залить это количество пол литровой бутылкой водки. Поместить настой в темное место на 10-14 дней (содержимое взбалтывать каждый день). В стакан чуть теплой воды добавлять 1 ч. ложку настой и этим содержимым полоскать ежедневно ротовую полость.
- Алоэ вера. Этот суккулент полон лекарственными свойствами, которые заживляют и лечат уйму заболеваний и недугов. Его противовоспалительное, антибактериальное и антимикробное свойства очень быстро уничтожают бактерии, предотвращая распространение инфекции. Применение. Со свежего листа алоэ вера срезать края и разрезать лист на две части. Натереть гелеобразной стороной листа десны и зубы и массировать в течение пяти минут. Прополоскать рот теплой водой. Повторять три раза в день. Десны заживают в кратчайшие сроки.
- Лечение медом. Мед является традиционным средством, употребляемым при лечении многих лечение медомзаболеваний. Применяется он и при парадонтозе. Предварительно стоит убедиться в отсутствии аллергической реакции на мед. Неприятные ощущения в деснах можно устранить, растерев 20 гр. меда с 10 гр. соли. Смесь получается настолько густая, что из нее можно скатать шарик. Далее этот шарик заворачивается в чистую ткань. Изготовленным таким образом мешочком следует натирать десны.
- Растолочь два зубчика чеснока и смешать его с чайной заваркой (1 ч. ложка). Полученную смесь насыпают в заварочный чайник и заваривают, как чай. Ополаскивать рот средством нужно не менее 14 дней ежедневно.
- Облепиховое масло оказывает на десны успокаивающее воздействие. Необходимо обильно пропитать маслом ватный тампон и приложить его к пораженным участкам особенно к карманам.
- Хвою (200 г сосновых иголок) залить стаканом чистой холодной воды. Поместив на средний огонь, отвар доводят до кипения, а после оставляют на огне еще на 15 минут. Большую ложку мёда растворяют в теплом отваре, после чего следует начинать полоскание.
- Календула оказывает мощное противовоспалительное воздействие. Спиртовая настойка календулы из аптеки для лечения пародонтоза не подходит, лучше всего настой приготовить самостоятельно. 3 ч.л. цветков залить полулитром кипятка, настаивать минимум в течение получаса, процедить. После того как отвар остынет, полоскать им ротовую полость утром и вечером.
- Морская соль. В условиях домашнего лечение пародонтоза поможет такое народное средство, как морская соль без различных примесей, настойка из шалфея или ромашки, а иногда и коры дуба, витаминно-минеральный комплекс, адаптивные зубные пасты. При помощи соли заболевание лечили давних времен. Для этого ее измельчали и использовали, чтобы натереть десна и зубы. Такой метод прекрасно сочетается со всевозможными полосканиями рта или чисткой зубов ингредиентами, описанными выше.
Использовать методы народной медицины против пародонтоза можно, только предварительно посоветовавшись с врачом.
https://youtube.com/watch?v=1iZzdG6JT-M
Диета при пародонтозе
Пришло время обратить внимание на питание при пародонтозе. При поражении и болезненности ротовой полости человек просто обязан следить за тем, что он ест и в каком виде продукты попадают в его рот.
- Необходимо употреблять больше твердой пищи, которая способствует укреплению и массажу десен. Пища должна тщательно пережевываться. Включите в свой ежедневный рацион как можно больше свежих овощей и фруктов.
- Необходимо исключить из ежедневного рациона употребление кофе, черного чая и любых других напитков, содержащих газы и красители. Важно отказаться от сладкого, способствующего разрушению зубов, образованию зубного налета и скоплению бактерий в полости рта. Также откажитесь от чипсов и печенья.
- Не забывайте про молочные продукты, которые обязательно должны присутствовать в пище — творог, сметана, молоко, кефир, закваска, сыр и другие. В таких продуктах полно кальция, который способствует укреплению зубов и костей.
Представляем вашему вниманию примерное меню диеты при пародонтозе:
- Завтрак — творожная запеканка, зеленый чай, морковь или яблоко.
- Второй завтрак (ланч) — салат из капусты и моркови, заправленный оливковым маслом, апельсин или несколько абрикос, отвар шиповника.
- Обед — гороховый суп, тушеная говядина с гречкой, салат из капусты, помидоров и болгарского перца, сок.
- Полдник — сухофрукты, йогурт, свежие овощи или фрукты.
- Ужин — печеночные котлеты с тушеной морковью, салат из цветной капусты, ряженка.
При пародонтозе в большинстве случаев к скорейшему выздоровлению ведет соблюдение сбалансированной диеты. Диета при пародонтозе должна соблюдаться не менее 6 месяцев до полного выздоровления больного.
Лечебная гимнастика
Гимнастические упражнения стимулируют напряжение мышц челюсти из-за чего кровь начинает активнее поступать к зубам и деснам.
Как проводить гимнастику:
- В первые 5-7 дней: взять в зубы небольшую деревянную палочку и аккуратно покусывать ее снизу-вверх.
- Следующие 2-3 недели задание усложняется: крепко сжав веточку зубами, в направлении слева направо и вперед-назад осуществлять движение челюстями.
- Далее прибавляется еще одно упражнение: один конец веточки крепко зажимается зубами, взявшись за другой конец, надо стараться выдернуть палочку изо рта.
Чтобы усилить лечебный эффект, лучше брать веточку дуба или хвойных деревьев.
Не следует забывать, что любой из предложенных методов может вызывать побочный эффект в виде аллергической реакции на компоненты. Потому следует использовать народные методы лечения пародонтоза с осторожностью.
Антибиотики
Курс их приема колеблется в зависимости от того, насколько ярко выражен патологический процесс, но в среднем составляет 10-14 дней. Антибиотики могут приниматься в виде таблеток или вводиться пациенту внутримышечно. Их прием оказывает противомикробное воздействие.
Правильная дозировка подбирается специалистом, при этом нужно учитывать особенности пациента. К примеру, если он страдает сахарным диабетом, назначаются антибиотики фторхинолонового ряда. Параллельно с их приемом врачи часто назначают метронизадол и витамины. Метронизадол (Трихопол) является универсальным противомикробным средством, воздействующим на патогенную флору ротовой полости, а витаминный комплекс укрепляет иммунитет.
Гели и мази
Это средства для местного применения, их наносят непосредственно на десны. Они оказывают на десна укрепляющий противовоспалительный, противоотечный эффект, нормализуют кровоток в сосудах, заживляют поврежденный эпителий.
Благодаря своей структуре, гели и мази отлично впитываются. Если у пациента образовались пародонтальные карманы, гель закладывается непосредственно в них. Чаще всего специалистами назначается гепариновая мазь, троксевазин, криогель. Они улучшают кровоснабжение околозубных тканей.
Физиотерапевтические процедуры
Положительное действие при пародонтозе оказывают такие физиотерапевтические процедуры, как:
- Дарсонвализация и динамические токи — действуют по тому же принципу, что и массаж. Они способствуют стабилизации трофики и приостанавливают развитие атрофии.
- Массаж десен — осуществляется с помощью специального аппарата. При этом приток крови к пародонтальным тканям усиливается, улучшаются обменные процессы.
- Самомассаж десен тоже допускается, но только с разрешения врача. Дважды в день десну можно слегка массировать в течение нескольких минут. Перед процедурой необходимо почистить зубы и вымыть руки, во избежание занесения инфекций.
- Электрофорез в сочетании с глюконатом кальция — снижает гиперестезию (повышенную чувствительность) в области обнаженных шеек зубов. Электрофорез — это введение лекарственного вещества в мягкие ткани пародонта с помощью тока низкого напряжения.
Смысл физиотерапевтических процедур состоит в насыщении тканей пародонта кислородом, усилении притока крови и восстановлении процессов обмена питательных веществ.
Профилактика
Не в качестве лечения, а для профилактики пародонтоза и пародонтита, можно производить:
- Ванночки — из аптечной ромашки, зверобоя или шиповника делается отвар и в течении 10 минут следует держать растительный раствор во рту. Ванночки можно производить каждый день в течение месяца, затем делать перерыв.
- Полоскание полости рта специальными растворами для профилактики пародонтоза — «Лесной бальзам», «Весна», а также отварами лекарственных трав — календулы, ромашки, коры дуба или раствором прополиса. Это позволяет и очистить полость рта от остатков пищи и от бактерий.
- Использование зубной пасты или ополаскивателей для рта Пародонтакс, в состав которых входят экстракты лекарственных трав, также способствует профилактике пародонтита и пародонтоза.
Важно усвоить, что пародонтоз не считается настолько безобидным заболевание, в лечении которого можно разобраться самостоятельно без участия стоматолога. Лечение пародонтоза народными средствами будет эффективным лишь в комплексном лечении с традиционной медициной. В противном случае, есть риск остаться без зубов.
Вопрос-ответ
Что такое пародонтоз и как он проявляется?
Пародонтоз — это хроническое заболевание тканей, окружающих зубы, которое приводит к их разрушению и потере. Основные симптомы включают кровоточивость десен, неприятный запах изо рта, подвижность зубов и их изменение в положении. На ранних стадиях заболевание может протекать бессимптомно, что делает регулярные стоматологические осмотры особенно важными.
Каковы основные причины развития пародонтоза?
Основные причины пародонтоза включают плохую гигиену полости рта, курение, генетическую предрасположенность, гормональные изменения и некоторые системные заболевания, такие как диабет. Накопление зубного налета и камня также способствует развитию воспалительных процессов в деснах, что может привести к пародонтозу.
Какие методы лечения пародонтоза существуют?
Лечение пародонтоза может включать профессиональную чистку зубов, использование антисептических растворов, а также медикаментозную терапию для уменьшения воспаления. В более запущенных случаях может потребоваться хирургическое вмешательство для восстановления тканей десен. Важно также соблюдать правила гигиены полости рта и регулярно посещать стоматолога для профилактики.
Советы
СОВЕТ №1
Регулярно посещайте стоматолога для профилактических осмотров и чистки зубов. Это поможет выявить проблемы на ранних стадиях и предотвратить развитие пародонтоза.
СОВЕТ №2
Обратите внимание на свою гигиену полости рта. Чистите зубы дважды в день и используйте зубную нить для удаления остатков пищи и налета между зубами.
СОВЕТ №3
Следите за своим питанием. Употребление продуктов, богатых витаминами C и D, а также кальцием, может укрепить десны и снизить риск пародонтоза.
СОВЕТ №4
Избегайте курения и чрезмерного потребления алкоголя, так как эти факторы могут усугубить состояние десен и способствовать развитию пародонтоза.




