Уреаплазмоз у женщин, симптомы и схема лечения в домашних условиях
Уреаплазмоз — инфекционное заболевание мочеполовой системы, имеющее бактериальную природу и провоцируемое возбудителем под названием уреаплазма. Последняя относится к категории условно-патогенных микроорганизмов, т.е. она может присутствовать в человеческом организме, не доставляя ему каких-либо проблем и неудобств.
Это может продолжаться до момента возникновения определенных провоцирующих факторов, к примеру, снижения защитных функций, искусственного прерывания беременности, неудачного применения внутривлагалищных контрацептивов и даже просто на фоне распространенных общих заболеваний или обычной менструации.
Что это такое?
Уреаплазма (Ureaplasma urealyticum) — это собой особый вид микроба, занимающий по своим свойствам и размерам промежуточное место между простейшими и вирусами. Эти бактерии свободно проникают внутрь клеток мочеполовой системы и размножаются там. Благодаря такой уникальной способности они легко ускользают от иммунной системы человека.
Уреаплазму относят к условно-патогенной флоре влагалища — в мазках примерно у 60% клинически здоровых женщин обнаруживается этот вид микроба. Если уреаплазма у женщин не дает симптомы, то и лечение не требуется — это не болезнь, а вариант нормы.
Врачи отмечают, что уреаплазмоз у женщин является распространенной инфекцией, вызванной микроорганизмами рода Ureaplasma. Эта патология может протекать бессимптомно, что затрудняет её своевременную диагностику. Специалисты подчеркивают важность регулярных гинекологических осмотров и тестирования на инфекции, передающиеся половым путем, особенно для женщин с повышенным риском. При наличии симптомов, таких как дискомфорт, выделения или боли, необходимо обратиться к врачу для проведения обследования. Лечение уреаплазмоза обычно включает антибиотики, однако важно учитывать индивидуальные особенности пациентки. Врачи также акцентируют внимание на необходимости информирования половых партнеров и соблюдения мер предосторожности, чтобы предотвратить повторное заражение.
https://youtube.com/watch?v=SqP61fDG8z8
Причины возникновения уреаплазмоза
Непосредственно причиной возникновения заболевания становится попадание в организм любым путем условно-патогенного микроорганизма — уреаплазмы, которая после заражения очень быстро проникает в покровный эпителий или лейкоциты, и может сохраняться в клетках в течение неограниченно продолжительного времени.
Провоцировать манифестирование инфекции могут:
- изменения гормонального фона — менструации, роды, аборты;
- любые состояния, способные приводить к снижению напряженности общего иммунитета организма;
- частая смена половых партнеров — в этом случае в несколько раз увеличивается вероятность проникновения в организм безусловно патогенной микрофлоры, что может провоцировать развитие уреаплазмоза;
- манипуляции на половых или мочевых органах — установление или удаление внутриматочной спирали, хирургическое лечение патологии женской половой системы (прижигание эрозии, удаление кондилом и кист) или манипуляции на органах мочевыведения (катетеризация, цистоскопия, цистография).
Длительное время заболевание может протекать бессимптомно — проявления заболевания возникают только на поздних стадиях, в момент, когда уже в организме возникли необратимые изменения. В этом случае у женщин могут формироваться спайки в малом тазу, что может стать причиной бесплодия или провоцировать развитие внематочной беременности.
Классификация
На самом деле медицине известно несколько типов данной инфекции, но в нынешнее время выделяют основные виды уреаплазмы у женщин:
- парвум (ureaplasma parvum);
- уреалитикум (ureaplasma urealyticum).
Эти два типа можно объединить в один общий вид под названием уреаплазма специес. Выявить определенную форму инфекции просто необходимо, так как в большинстве случаев они сопрягаются с другими болезнями.
Если была обнаружена уреаплазма парвум у женщин, то она не требует проведения особых лечебных мероприятий, так как в норме у женщины эти микроорганизмы присутствуют в нормальной флоре мочеполовой сферы. Оказание медицинской помощи может потребоваться только тогда, когда количество бактерий превышает в несколько раз, так как это является угрозой для возникновения воспалительного процесса.
Уреаплазмоз у женщин вызывает множество обсуждений и разногласий. Многие женщины, столкнувшиеся с этой инфекцией, отмечают, что симптомы могут быть неявными или вовсе отсутствовать, что затрудняет диагностику. Некоторые жалуются на дискомфорт, зуд или выделения, но часто эти проявления воспринимаются как обычные признаки других заболеваний. Важно отметить, что уреаплазма может быть частью нормальной микрофлоры, и не всегда требует лечения. Однако, если инфекция вызывает беспокойство или осложнения, женщины обращаются к врачам, которые рекомендуют анализы и, при необходимости, антибиотики. В социальных сетях можно встретить множество мнений о том, как справляться с этой проблемой, и многие делятся личным опытом, что помогает другим лучше понять ситуацию. Тем не менее, важно помнить, что самолечение может быть опасным, и консультация специалиста остается ключевым шагом в решении вопросов, связанных с уреаплазмозом.
https://youtube.com/watch?v=lxZ4-vrvogM
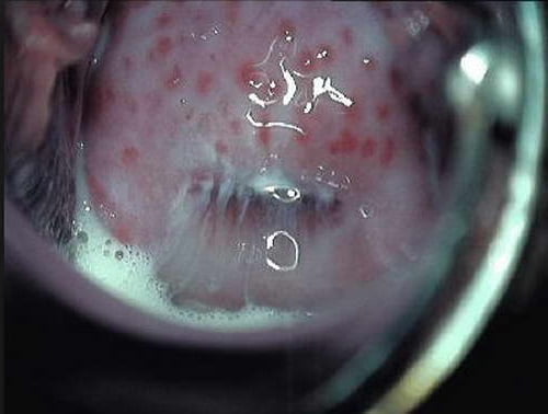
Симптомы
Симптоматика уреаплазмы (см. фото) в женском организме иногда обнаруживается случайно, посредством диагностики другого заболевания. При других обстоятельствах признаки уреаплазмоза распознаются без проблем.
Вот основные из них:
- Болезненные ощущения. Как правило, локализируются в нижней части живота, проявляются по режущему типу. В данном случае уреаплазмоз с большой долей вероятности дал осложнения на придатки и матку.
- Влагалищные выделения. Обычно довольно скудные, не имеющие запаха и цвета. Наряду с этим, если воспалительный процесс уже запущен, выделения могут принять резкий неприятный запах и изменить окраску на зеленоватую или желтую.
- Проблемы с половой функцией. Пациентке становится больно и дискомфортно заниматься сексом. Неприятные ощущения появляются в процессе полового контакта и сохраняются после завершения такового.
- Проблемы с мочеиспусканием. Позывы к опорожнению мочевого пузыря становятся все более частыми, сопровождаясь, при этом, болезненными ощущениями, резями, жжением.
- Лжеангина. Если заражение произошло во время орального секса, могут появиться признаки, характерные для ангины: налет на миндалинах (гландах), болезненные ощущения в ротоглотке, затруднение глотания и пр.
Если уреаплазма не вызывает дискомфорта, болевых чувств, ее все равно необходимо обязательно искоренять. Своевременное обращение к профильному специалисту не позволит инфекционному недугу развиваться, поможет избежать осложнений, в числе которых хронический уреаплазмоз (требует длительной и сложной терапии). Необходимо следить за своим здоровьем постоянно.
Диагностика
Такой недуг, как уреаплазмоз, может быть диагностирован следующими методами:
- Серологический метод (обнаружение антител). Данный метод диагностики назначается для выявления причин выкидыша, бесплодия, а также заболеваний воспалительного характера в послеродовом периоде.
- Молекулярно-биологический метод. При данной диагностике можно выяснить, наличие или отсутствие в исследуемом образце уреаплазма. Но количество данного микроорганизма данный метод диагностики определить не может.
- Бактериологический (культуральный метод). Такая диагностика основана на выращивании уреаплазм в искусственной питательной среде. Для исследования необходимо брать мазок со сводов влагалища, слизистой уретры. Только представленный метод исследование позволит определить количество уреаплазм, которого достаточно для развития данного недуга. Бактериологический метод считается определяющим при вынесении решения о терапии уреаплазмоза.
https://youtube.com/watch?v=LrUm8Ug66ho
Уреаплазма при беременности
При планировании беременности первое, что необходимо сделать женщине, это пройти обследование на наличие уреаплазмы. Это обусловлено двумя причинами. Во-первых, наличие даже минимального количества уреаплазм в мочеполовой системе здоровой женщины в период вынашивания ребёнка, приводит к их активизации, вследствие чего развивается уреаплазмоз.
Во-вторых, на ранних сроках беременности нельзя проводить лечения уреаплазмоза (к слову, в этот период он наиболее опасен для плода), поскольку антибиотики негативно сказываются на росте и правильном развитии плода. Поэтому, лучше заранее, до наступления беременности выявить уреаплазмы, если таковые имеются, и вылечиться. Данное заболевание опасно для плода еще и тем, что во время родов инфекция передается ребенку через родовые пути. Если беременная заразилась уреаплазмозом, следует в обязательном порядке обратиться к врачу для уточнения диагноза.
Для предотвращения инфицирования малыша в процессе родов, послеродового заражения крови матери, а также для снижения риска преждевременного родоразрешения или самопроизвольных выкидышей на ранних сроках, беременной с данным заболеванием после двадцати двух недель беременности проводят антибактериальную терапию. Препараты подбирает лечащий врач. Помимо антибиотиков, назначают препараты для повышения защитных сил организма в целях снижения риска вторичного развития инфекции.
Последствия
В силу этого факта, и того, что болезнь очень часто протекает в хронической форме, уреаплазмоз выражается незаметными симптомами. Женщины чаще обращаются за помощью только тогда, когда уже возникли следующие осложнения:
- Оофорит — воспаление яичников.
- Нарушение регулярности менструального цикла.
- Аднексит — воспалительный процесс, захватывающий придатки матки (яичники, маточные трубы, связки).
- Восходящий пиелонефрит обнаруживается при восхождении возбудителей выше мочевого пузыря к почкам.
- Цистит (воспаленный мочевой пузырь) и хронический уретрит (хроническое воспаление уретры) возникают как результат восходящей инфекции.
- Вагиноз — осложнение, доставляющее неудобства и болезненные ощущения при половом акте.
- Вторичное бесплодие, которое является следствием продолжительного воспалительного процесса в шейке матки и маточных трубах. Даже после адекватного лечения уреаплазмоза врач может обнаружить, что маточные трубы непроходимы для яйцеклеток.
Кроме перечисленного, бактерии уреаплазмы могут повредить оболочку и структуру яйцеклетки, что делает невозможным зачатие здорового ребенка.
Как лечить уреаплазмоз у женщины?
Эффективное лечение уреаплазмоза — это процесс длительный, требующий от женщины терпения и настойчивости, поскольку за один короткий курс медикаментозной терапии ликвидировать уреаплазмы невозможно. Кроме того, очень важно чтобы женщина придерживалась рекомендаций врача относительно питания и образа жизни.
Пациенткам с уреаплазмозом гинекологи обычно назначают комплексное лечение, включающее:
- Санацию влагалища.
- Иммуностимулирующие препараты.
- Антибактериальную терапию.
- Витаминотерапию.
- Ферментные средства, обладающие противовоспалительным действием.
- Восстановление нормальной микрофлоры путем применения специальных лекарств (пробиотиков) внутрь и место.
- Физиотерапевтические процедуры. Из физиотерапевтических процедур при уреаплазмозе гинекологи предпочтение отдают магнитотерапии, электрофорезу. Хорошее эффективностью обладает также внутривенное лазерное облучение крови, грязелечение и гинекологический массаж.
Антибиотики при уреаплазме
Как вылечить уреаплазмоз у женщин? Только с антибиотиками:
| Группа антибиотиков | Препараты |
| Макролипиды | Сумамед, Азитромицин. Это средства первой линии, которые аккумулируются в клетках, в нужной концентрации не менее 3 дней. |
| Тетрациклиновые | Доксицилин, Юнидокс. Еще 10 лет назад они были основой терапии, но сейчас их назначают только комплексно с другим антибиотиком. А все потому, что к нему бактерия быстро адаптируется. |
| Фторхинолониды | Авелокс, который не может длительно аккумулироваться в клетках, поэтому их прием длительны, более 21 дня. |
Важно! При невыраженном воспалении курс терапии обходится лечением только одним антибактериальным препаратом, а если оно осложненное, то схема лечения будет тандемной, например, чередование макролидов и тетрациклинов.
Пробиотики
Чтобы не было кандидоза, одновременно с антибактериальными препаратами необходимо принимать пробиотики — препараты, содержащие «полезные» микроорганизмы, входящие в состав нормальной микрофлоры или способствующие ее восстановлению.
К наиболее эффективным современным пробиотикам можно отнести:
- Лактовит.
- Бифидумбактерин.
- Лактобактерин.
- Линекс.
- Наринэ.
- Биовестин.
При острой форме заболевания назначения системных антибиотиков на фоне пробиотиков часто достаточно для успешного лечения. При подострой форме такое лечение целесообразно дополнять антибиотиками местного действия (влагалищными таблетками, спринцеваниями).
Профилактика заболевания
Профилактические мероприятия для предупреждения женского уреаплазмоза:
- применение барьерных способов предохранения;
- отказ от случайной интимной близости с разными партнерами;
- строгое соблюдение правил интимной гигиены;
- постоянное поддержание иммунитета в надлежащем состоянии (закаливание, витамины, здоровое питание);
- уреаплазмоз необходимо лечить не только у женщины, но и у постоянного сексуального партнера.
Вероятность заболеть зависит от состояния иммунной системы и наличия в организме сопутствующих инфекций. При скрытом течении определить это заболевание невозможно, поэтому необходимо проходить осмотр у специалиста. При планировании беременности следует ответственно отнестись к медицинскому обследованию обоим партнерам.
Вопрос-ответ
Сколько дней лечится уреаплазма у женщин?
Бактерия чувствительна к определенным видам антибактериальных средств (тетрациклины, азалиды, фторхинолоны, макролиды), поэтому полностью избавиться от нее можно за 2 недели. Врачи медицинского центра «Поликлиника +1» назначают комплексные терапевтические схемы, которые помогают бороться с этим недугом.
Кто заражает уреаплазмой, мужчина или женщина?
Однако в некоторых случаях бактерии уреаплазмы могут размножаться быстрее, чем нужно, и вызывать различные нарушения. Женщины подвержены риску заражения уреаплазмой больше, чем мужчины. В случаях, когда уреаплазма размножается быстрее, чем обычно, риск заражения у женщин составляет 60-70%, а у мужчин – 10-20%.
Советы
СОВЕТ №1
Регулярно проходите гинекологические обследования. Это поможет выявить уреаплазмоз на ранней стадии и предотвратить возможные осложнения. Не забывайте сообщать врачу о любых симптомах, которые вас беспокоят.
СОВЕТ №2
Обратите внимание на личную гигиену. Соблюдение правил гигиены, таких как регулярная смена нижнего белья и использование средств для интимной гигиены, может снизить риск развития инфекций, включая уреаплазмоз.
СОВЕТ №3
Избегайте случайных половых связей и используйте средства защиты. Презервативы помогут снизить риск передачи инфекций, включая уреаплазму, и защитят ваше здоровье.
СОВЕТ №4
Обсудите с партнером вопросы здоровья. Если у вас диагностирован уреаплазмоз, важно, чтобы ваш партнер также прошел обследование и, при необходимости, лечение, чтобы избежать повторного заражения.


