Астроцитома головного мозга — причины и лечение, прогноз для жизни
Астроцитома головного мозга — это опухоль, которая возникает вследствие нарушения деления и развития глиальных клеток — астроцитов. Визуально по своему строению эти клетки нервной системы напоминают пятиконечную звезду, отсюда и их второе название — звездчатые. Более полувека ученые сходились во мнении, что это специфические клетки нервной системы, которые выполняют вспомогательные функции.
Однако последние исследования в нейрохирургии показали, что основная, и, возможно, единственная функция астроцитов — защитная. Именно звездчатые клетки защищают нейроны головного мозга от травмирующих факторов, обеспечивают адекватный метаболизм, поглощают избыток продуктов жизнедеятельности нейронов, участвуют в регуляции гематоэнцефалического барьера, а также в кровоснабжении головного мозга. Если на каком-либо этапе развития эти клетки претерпевают патологические изменения, то они не могут полноценно выполнять свои функции, следовательно, страдает вся нервная система.
Что это такое?
Астроцитома — один из видов новообразований в головном мозге, входящим в класс глиом. Заболевание развивается из особых клеток — астроцитов. Маленькие клетки имеют форму звездочек, защищают нейроны, поглощают избыточный объем химических веществ. Но под действием ряда причин в местах концентрации этих клеток возникает астроцитома головного мозга.
Заболевание может развиваться в любом его отделе. Ему подвержены люди любой возрастной категории.
Врачи отмечают, что астроцитома головного мозга представляет собой одну из наиболее распространенных форм опухолей центральной нервной системы. Специалисты подчеркивают важность ранней диагностики, так как это существенно влияет на прогноз и выбор метода лечения. Симптоматика может варьироваться от головных болей и судорог до неврологических нарушений, что затрудняет диагностику на начальных стадиях. Врачи рекомендуют проводить регулярные обследования, особенно для людей с предрасположенностью к опухолям. Лечение астроцитомы часто включает хирургическое вмешательство, радиотерапию и химиотерапию. Однако, несмотря на достижения медицины, прогноз может оставаться неопределенным, что подчеркивает необходимость индивидуального подхода к каждому пациенту. Врачи также акцентируют внимание на важности поддержки пациентов и их семей в процессе лечения и реабилитации.
https://youtube.com/watch?v=QPpRn9mK8_I
Причины возникновения
Ученые до сих пор не могут выяснить, почему возникает рак головного мозга. Известны лишь факторы, которые способствуют патологическим трансформациям. Это:
- влияние химических веществ (ртуть, мышьяк, свинец);
- курение и чрезмерное употребление алкоголя;
- онкология в семье;
- ослабленный иммунитет (особенно это касается людей с ВИЧ инфекцией);
- черепно-мозговые травмы;
- генетические болезни. В частности туберозный склероз (болезнь Бурневилля) практически всегда является причиной появления гигантоклеточной астроцитомы. Исследования генов, которые становятся супрессорами опухоли, выявили, что в 40% случаев заболевания астроцитомами имели место мутации гена р53, а в 70% случаев глиобластом — генов ММАС и EGFR. Выявление этих повреждений позволит предотвратить заболевание злокачественными формами АГМ;
- радиационное излучение. Продолжительное влияние радиации, связанное с условиями работы, загрязнением окружающей среды или даже используемое для лечения других заболеваний, может привести к образованию астроцитомы мозга.
Конечно же, если человек, например, подвергался воздействию радиации, то это не значит, что у него обязательно вырастет опухоль. Но, сочетание нескольких из этих факторов (работа во вредных условиях, вредные привычки, плохая наследственность), может стать катализатором начала мутаций в клетках мозга.
Формы заболевания
В зависимости от клеточного состава астроцитомы делятся на несколько видов:
| Анапластическая астроцитома. | Злокачественная опухоль (III степень злокачественности), характеризующаяся отсутствием четких границ и быстрым инфильтративным ростом. Чаще поражает мужчин старше 30 лет. |
| Пилоидная астроцитома | Опухоль доброкачественная, имеет выделенные и четкие границы. Образуется в основном в области мозгового ствола или мозжечка. К группе риска относятся дети. Прогноз по лечению этой формы опухоли всегда благоприятный, поскольку хорошо поддается лечению и без осложнений. Но позднее обращение за помощью повышает вероятность ее перерождения в злокачественную в 70% случаев. |
| Глиобластома | Злокачественный и самый опасный вид астроцитом (IV степень злокачественности). Не имеет границ, быстро прорастает в окружающие ткани и дает метастазы. Обычно наблюдается у мужчин от 40 до 70 лет. |
| Фибриллярная форма | Этот доброкачественный вид новообразования, но возможность ее перехода в злокачественную форму увеличивается. У опухоли нет четкости, растет намного быстрее, чем пилоцитарная астроцитома. Терапия, в том числе и хирургическое вмешательство, не дает 100% хорошего результата. Чаще всего эта форма выявляется у молодых людей до 30 лет. |
Высокодифференцированные (доброкачественные) астроцитомы составляют 10% от общего числа опухолей головного мозга, 60% приходится на анапластические астроцитомы и глиомы.
Астроцитома головного мозга — это опухоль, которая вызывает множество эмоций и обсуждений среди пациентов и их близких. Многие люди делятся своими историями о борьбе с этим заболеванием, подчеркивая важность ранней диагностики и своевременного лечения. Некоторые отмечают, что информация о болезни и поддержка со стороны семьи и друзей играют ключевую роль в их восстановлении. В социальных сетях можно встретить группы, где пациенты обмениваются опытом, советами и моральной поддержкой. Многие говорят о том, как важно сохранять позитивный настрой и не терять надежду, даже когда диагноз кажется угрожающим. В то же время, обсуждаются и трудности, с которыми сталкиваются люди в процессе лечения, включая побочные эффекты от терапии и необходимость постоянного наблюдения. Эти разговоры помогают создать сообщество, где каждый может найти поддержку и понимание.
https://youtube.com/watch?v=LuLcU_GXHUA
Симптомы астроцитомы
Все симптомы, при развитии опухолей в головном мозге делятся на две большие группы: общие и местные. Общие симптомы, связанные с повышением внутричерепного давления:
- постоянная головная боль;
- судорожный синдром;
- тошнота, рвота в утренние часы;
- общие когнитивные нарушения (снижение памяти, внимания, интеллектуальных функций).
Местные симптомы, связаны с непосредственным воздействием опухоли на ткань головного мозга. Их проявления зависят от того, какую локализацию имеет астроцитома:
- нарушения речи, ее восприятия;
- проблемы с чувствительностью и движениями в конечностях;
- ухудшение зрения, обоняния;
- нарушения настроения.
Диагностика
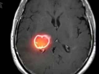
Основной способ диагностировать опухоль в головном мозге — выполнить компьютерную томографию (КТ) или магнитно-резонансную томографию (МРТ). В процессе операции также используется МРТ: это помогает контролировать процесс удаления узлов.
Иногда астроцитома головного мозга диагностируется с привлечением дополнительного метода — магнитно-резонансной спектроскопии (МРС). Это дает возможность провести биохимический анализ тканей опухоли и выявить состояние новообразования.
Рецидивы опухолей головного мозга определяют при помощи позитронно-эмиссионной томографии (ПЭТ).
https://youtube.com/watch?v=W4tUNClyZUc
Лечение астроцитомы головного мозга
В зависимости от степени дифференцировки астроцитомы головного мозга ее лечение проводится одним или несколькими из указанных методов: хирургическим, химиотерапевтическим, радиохирургическим, лучевым.
Стереотаксическое радиохирургическое удаление возможно лишь при малом размере опухоли (до 3 см) и проводится под томографическим контролем при помощи надеваемой на голову пациента стереотаксической рамки. При астроцитоме головного мозга этот метод может быть использован лишь в редких случаях доброкачественного течения и ограниченного роста опухоли. Объем хирургического вмешательства, проводимого путем трепанации черепа, зависит от характера роста астроцитомы. Зачастую из-за диффузного разрастания опухоли в окружающие мозговые ткани ее радикальное хирургическое лечение невозможно. В таких случаях может быть проведена паллиативная операция для уменьшения размеров опухоли или шунтирующая операция, направленная на снижение гидроцефалии.
Лучевая терапия астроцитомы головного мозга проводится путем многократного (от 10 до 30 сеансов) внешнего облучения пораженной области. Химиотерапия осуществляется цитостатиками с использованием пероральных препаратов и внутривенных введений. Ей отдают предпочтение в случаях, когда астроцитома головного мозга наблюдается у детей. Последнее время ведутся активные разработки по созданию новых химиотерапевтических препаратов, способных избирательно воздействовать на опухолевые клетки, не оказывая при этом повреждающего действия на здоровые.
Продолжительность жизни
К сожалению, астроцитома головного мозга часто влечет за собой очень неблагоприятные последствия. Как правило, выживаемость после проведения операции (при условии, что опухоль злокачественная) не превышает 2-3 лет.
Прогноз
Прогнозирование болезни производится доктором на основании следующих моментов:
- возраст пациента;
- степень злокачественности;
- расположение новообразования;
- насколько стремителен переход от одной стадии болезни к другой и имел ли он место;
- количество рецидивов.
Исходя из общей картины специалист выносит приблизительный прогноз астроцитомы головного мозга. При первой стадии заболевания срок жизни пациента составит не больше 10 лет.
При последующем переходе от доброкачественной опухоли к злокачественной время жизни будет уменьшаться. На второй стадии она может сократиться до 7-5 лет, на третьей — до 3-4 лет, а на последней больной может прожить больше года, если клиническая картина будет положительной.
Профилактика
Принимая во внимание, сколько причин вызывают появление астроцитомы, а также сколько людей в последние годы обращаются за медицинской помощью, необходимо обратить внимание на меры профилактики этого заболевания.
К таким профилактическим методам относятся:
- Усиление иммунной защиты.
- Устранение стрессовых ситуаций.
- Проживание в экологически безопасных районах.
- Правильное питание. Важно исключить копченые и жареные блюда, жирные продукты, консервы. Больше добавлять в рацион блюда, приготовленные на пару, фрукты, овощи.
- Отказ от вредных привычек.
- Предотвращение травм головы.
- Регулярное прохождение медицинских осмотров.
Если выявлена астроцитома головного мозга, не стоит отчаиваться и опускать руки. Важно сохранять оптимизм, верить в хороший результат, иметь положительный настрой. Только с таким позитивным настроем и верой можно победить онкологию.
Вопрос-ответ
Сколько живут с астроцитомой головного мозга?
Прогноз астроцитомы головного мозга наиболее благоприятен, если астроцитома головного мозга имеет I степень злокачественности. Но даже в этом случае длительность жизни пациента не превышает 5 лет. Для астроцитомы III-IV степени это время составляет в среднем 1 год.
Можно ли вылечиться от астроцитома?
Опухоль мозга не имеет четкой границы, поэтому ее полное удаление практически невозможно. Сложность лечения таких опухолей в том, что головной мозг имеет гематоэнцефалический барьер, через который не проходят многие противоопухолевые препараты. Мозг имеет собственный иммунитет.
Советы
СОВЕТ №1
Регулярно проходите медицинские осмотры и нейровизуализацию, если у вас есть предрасположенность к заболеваниям мозга или если вы замечаете необычные симптомы, такие как головные боли, изменения в зрении или координации.
СОВЕТ №2
Обсуждайте с врачом все доступные варианты лечения, включая хирургическое вмешательство, радиотерапию и химиотерапию. Важно понимать, какие методы могут быть наиболее эффективными в вашем конкретном случае.
СОВЕТ №3
Поддерживайте здоровый образ жизни, включая сбалансированное питание, регулярные физические нагрузки и управление стрессом. Это может помочь улучшить общее состояние здоровья и повысить качество жизни во время лечения.
СОВЕТ №4
Не стесняйтесь обращаться за поддержкой к психологам или группам поддержки. Эмоциональная поддержка важна для пациентов и их семей, так как она помогает справиться с диагнозом и процессом лечения.




