Дуоденит желудка, что это такое? Симптомы и лечение у взрослых
Дуоденит — воспаление слизистой оболочки двенадцатиперстной кишки. Течение заболевания может быть острым или хроническим. В зависимости от площади патологического процесса выделяют распространенный и ограниченный дуоденит.
При поражениях верхних отделов симптомы заболевания напоминают язвенную болезнь желудка, а дуоденит нижних отделов вызывает симптомы, похожие на панкреатит или холецистит. Заболевание сопровождается общей слабостью, болями в области желудка, изжогой, отрыжкой, тошнотой, рвотой.
Острый дуоденит при соблюдении щадящей диеты (иногда голодания) обычно заканчивается через несколько дней. Повторные заболевания переходят в хроническую форму, осложненную кишечными кровотечениями, перфорацией стенки кишки, развитием острого панкреатита.
Что это такое?
Дуоденит — это воспалительный процесс в слизистой оболочке ДПК (двенадцатиперстной кишки), вызывающий структурные изменения в слизистом покрове, и приводящий к функциональным нарушениям органа. Согласно статистическим данным, более 10% населения испытали на себе симптомы дуоденита — это самая распространенная патология начального отдела тонкой кишки.
Врачи отмечают, что дуоденит желудка является распространенным заболеванием, которое требует внимательного подхода к диагностике и лечению. Специалисты подчеркивают, что основными симптомами являются боль в верхней части живота, тошнота и нарушения пищеварения. Врачи рекомендуют обратить внимание на образ жизни и диету, так как неправильное питание и стресс могут усугубить состояние. Лечение часто включает в себя медикаментозную терапию, направленную на снижение воспаления и восстановление нормальной функции кишечника. Кроме того, врачи советуют пациентам избегать саморазличных методов лечения и обязательно консультироваться со специалистами для предотвращения осложнений. Регулярные обследования и соблюдение рекомендаций помогут достичь положительных результатов и улучшить качество жизни.
https://youtube.com/watch?v=F0jRmOwsfT4
Острый дуоденит
Предпосылкой быстрому развитию острого дуоденита служат отравления, либо любовь к восточным острым блюдам. На их фоне, воспалительные реакции на слизистой поверхности 12-ти перстной кишки провоцируют образование язвенных и эрозийных очагов, иногда на поверхностном слое кишки образуются язвенные полости заполненные гноем (флегмоны).
Симптомы дуоденита у взрослых на этапе острого течения проявляются:
- Острыми болями в зоне желудка;
- Расстройством пищеварения;
- Рвотой, тошнотой и слабостью.
Развитие острого процесса почти всегда провоцируют реакции воспаления в кишечнике или желудке. Часто это диагностируют, как желудочный дуоденит, что в корне не верно, воспаление слизистого покрова полости желудка имеет свое название — гастрит.
Провокационную роль, способствующую развитию патологических реакций воспаления в слизистой структуре ДПК играет нарушение подвижности или перистальтики, что затрудняет продвижение сгущенного содержимого тонкого кишечника к выходному отверстию (дуоденостаз). Если лечение правильно подобрано и пациент соблюдает щадящую диету, воспалительный процесс в ДПК купируется довольно быстро. Но, в случае повторного воспаления стенок кишки, развивается стадия хронического течения заболевания.
Хронический дуоденит
Хронический дуоденит может быть первичным и вторичным. Первичный хронический дуоденит возникает при неправильном питании (употреблении острой, раздражающей, горячей пищи, алкоголя), курении. Чаще встречается вторичный хронический дуоденит — он развивается на фоне уже имеющихся воспалительных заболеваний, например, хронических гастритов; язвенной болезни двенадцатиперстной кишки; неправильного лечения острого дуоденита.
По степени структурных изменений различают несколько вариантов хронического дуоденита:
- атрофический (истончение слизистой оболочки двенадцатиперстной кишки с угасанием ее секреторной функции);
- поверхностный (воспалительный процесс захватывает только верхние слои слизистой оболочки);
- гиперпластический (с чрезмерным разрастанием ткани);
- интерстициальный (без повреждения желез);эрозивно-язвенный (характеризуется появлением на слизистой мелких эрозий и язв).
Симптомы хронического дуоденита
- изжога,
- отрыжка,
- чувство распирания в верхней части живота («под ложечкой»),
- снижение аппетита,
- иногда тошнота или рвота с желчью,
- запоры.
Периоды обострения — постоянная боль в области желудка, усиливающаяся при голодании или через 1,5-2 часа после еды. Появляются ночные боли. Некоторые пациенты жалуются на головные боли, слабость, раздражительность, одышку и учащенное сердцебиение, что связано с нарушением гормональной функции двенадцатиперстной кишки.
Дуоденит желудка — это воспаление двенадцатиперстной кишки, которое вызывает множество дискомфортных ощущений. Люди, страдающие от этого заболевания, часто отмечают симптомы, такие как боль в верхней части живота, тошнота и изжога. Многие пациенты делятся своими переживаниями о том, как дуоденит влияет на их повседневную жизнь, ограничивая привычные занятия и пищевые предпочтения. Некоторые отмечают, что соблюдение диеты и отказ от острых и жирных блюд значительно облегчают состояние. В то же время, обсуждая лечение, многие упоминают о необходимости комплексного подхода, включая медикаментозную терапию и изменение образа жизни. Важно, что люди стремятся делиться своим опытом, чтобы помочь другим, кто сталкивается с подобными проблемами, и находят поддержку в сообществах, где обсуждаются методы борьбы с недугом.
https://youtube.com/watch?v=mqS46612uqQ
Как лечить?
Лечение хронического дуоденита в периоды обострения заболевания проводится в стационаре. Лечение назначают в зависимости от причины, спровоцировавшей заболевание.
- При выявлении хеликобактерной инфекции применяют антибиотики.
- При наличии лямблиозов и гельминтозов назначают соответствующую химиотерапию (флагил, фуразолидон, хлоксин).
- Для защиты слизистой назначают обволакивающие препараты (де-нол, сульфакрат). С противовоспалительной целью рекомендуется употреблять отвары ромашки и тысячелистника. Для восстановления пищеварения назначают ферментные препараты.
- При повышенной кислотности — препараты, снижающие секрецию соляной кислоты (омепразол, ранитидин) и антациды, нейтрализующие кислотность желудочного сока (альмагель, маалокс, фосфалюгель).
Если причиной дуоденита стало нарушение моторики двенадцатиперстной кишки (дуоденостаз), например, непроходимость, необходимо установить его причину. Если она связана с нарушением каких-либо функций органов пищеварения, лечение дуоденита консервативно. Показано частое питание небольшими порциями, препараты, связывающие желчь и способствующие ее секреции (желчегонные). Эффективно дуоденальное зондирование с промыванием двенадцатиперстной кишки.
При наличии спаек, механических преград и другого рода непроходимости, неподдающейся терапевтическому лечению, показано оперативное лечение дуоденита. При вторичных дуоденитах, необходимо лечение основного заболевания.
Симптомы дуоденита
Дуоденит у взрослых может начинаться как внезапно, так и постепенно. Нередко он манифестирует после какого-то диетического излишества, употребления алкоголя, стресса. Дуоденит обычно сложно отличить от других недугов пищеварительной системы.
Ведь для дуоденита характерны те же клинические симптомы, что и для большинства иных гастроэнтерологических недугов:
- признаки желудочной диспепсии (тяжесть, жжение или дискомфорт в подложечной зоне; отрыжка, подташнивание, вздутие живота);
- боли (слабые или весьма интенсивные боли ассоциированы с видом и временем приема пищи, возникают в верхних областях живота: подложечной зоне, подреберьях);
- психоэмоциональные нарушения (немотивированная раздражительность, плаксивость, быстрая эмоциональная истощаемость и др.);
- проблемы со стулом (хронические поносы или систематические запоры, их чередование).
В зависимости от сочетания симптомов у дуоденита могут быть следующие клинические формы:
- бессимптомная (устанавливается в случае полнейшего отсутствия клинических проявлений, распространена среди пожилых пациентов);
- холецистоподобная (боли схожи с желчной коликой, ощущение горечи во рту, рвота желчью);
- гастритоподобная (боли возникают после пищи, им нередко сопутствуют явления желудочной диспепсии);
- нервновегетативная (потливость, эпизоды дурноты и слабости, учащенное сердцебиение и др.);
- панкреатоподобная (у пациентов болит в основном левое подреберье, могут наблюдаться «опоясывающие» боли, поносы, рвота);
- смешанная (при этой форме у пациентов наблюдаются признаки разных других форм дуоденита);
- язвенноподобная (наиболее частый вариант, «ночные» и «голодные» боли вверху живота чрезвычайно напоминают те, которые характерны для язвенной болезни, они сочетаются с кислой отрыжкой и упорными запорами).
https://youtube.com/watch?v=U7G1ypu_FqE
Диагностика
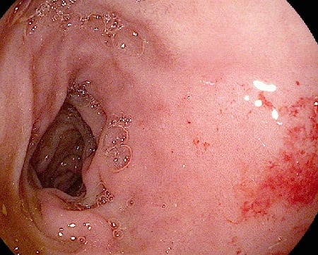
Клиническая картина дуоденита многообразна и неспецифична, кроме того, изолированный дуоденит встречается очень редко, как правило, он сочетается с другими заболеваниями (хроническим гастритом, язвенной болезнью, энтеритом, панкреатитом, заболеваниями желчевыводящих путей). Поэтому достоверная диагностика хронического дуоденита возможна только с помощью инструментальных методов исследования, таких как:
- фиброгастродуоденоскопия с биопсией;
- дуоденоскопия;
- рН-метрия;
- поэтажная манометрия;
- импедансометрия.
Параллельно с диагностикой дуоденита необходимо проводить исследование сопряженных с двенадцатиперстной кишкой органов пищеварения.
Осложнения
При несвоевременном обращении за медицинской помощью или несоблюдении диеты при хроническом дуодените возможны такие осложнения, как:
- язва луковицы двенадцатиперстной кишки, в том числе осложненная кровотечением,
- спаечная тонко-кишечная непроходимость, обусловленная разрастанием соединительной ткани в месте постоянного воспаления на слизистой оболочке и в подслизистых структурах,
- нарушения всасывания питательных веществ (мальабсорбция), приводящее к похуданию, неустойчивому стулу, нарушению деятельности и дистрофии внутренних органов.
Профилактикой развития осложнений служит лечение, начатое вовремя и соблюдение рекомендаций лечащего врача.
Лечение дуоденита
У взрослых лечение дуоденита включает несколько направлений:
- ликвидация острого воспаления;
- предотвращение перехода болезни в хроническую стадию;
- восстановление функций 12-перстной кишки;
- нормализацию пищеварения.
Показания к госпитализации при дуодените:
- обострение дуоденита;
- подозрение на опухоль тонкого кишечника;
- тяжелое общее состояние больного, запущенные случаи болезни;
- воспаление серозного покрова 12-перстной кишки (перидуоденит) и близлежащих органов;
- наличие или угроза кровотечений (эрозивная или язвенная форма дуоденита).
Преимущественно лечение проводят на дому. Для скорейшего выздоровления необходимы полноценный сон, отдых, соблюдение диеты, прогулки, легкие физические нагрузки при отсутствии болей. Необходимо избегать стрессов, отказаться от курения и алкоголя. Такие меры помогают нормализовать кровообращение в ДПК, восстановить защитные свойства ее слизистой.
Медикаментозная терапия
Лечение дуоденита у взрослых включает назначение следующих групп препаратов:
- антибиотиков, которые рекомендуют принимать при обнаружении бактерий Helicobacter Pylori;
- ингибиторов протонной помпы, блокирующих железы, которые отвечают за секрецию соляной кислоты (например, Омепразол);
- антацидных средств, обладающих обволакивающим и местным обезболивающим действием, поскольку нейтрализуют соляную кислоту (Альмагель, Маалокс);
- Н2-гистаминоблокаторов, применяемых при наличии язвоподобного дуоденита; препараты из этой группы подавляют выработку соляной кислоты (Ранитидин, Фамотидин);
- полиферментных препаратов, способствующих усвоению пищи и нормализующих пищеварение;
- прокинетиков, назначаемых, когда диагностируют гастритоподобный дуоденит; они влияют на перистальтику кишечника, имеют противорвотное действие;
- спазмолитиков, снимающих спазм кишечника и устраняющих болевые ощущения.
Каждому пациенту подбирают индивидуальную схему фармакологической терапии в зависимости от формы и клинических особенностей болезни.
Диета при дуодените
Правильное питание играет ключевую роль в лечении дуоденита. При остром воспалении или обострении хронического дуоденита первые 3-5 дней необходимо придерживаться строгой диеты 1А. Ее основа — слизистые отвары из круп (рис, геркулес), протертые супы, жидкие молочные каши (манная, из гречневой муки) и продукты детского питания. 1 раз в день разрешены курица или нежирная рыба (судак) в виде пюре или парового суфле. Питание дробное: 6 раз в день, небольшими порциями.
Далее диету расширяют. В зависимости от формы и особенностей течения дуоденита больному могут быть рекомендованы разные диеты:
- язвенно-подобный дуоденит — диета №1;
- гастрито-подобный дуоденит (при сниженной секреции желудка) — диета №2;
- холецисто- и панкреатито-подобный дуоденит диета — №5.
При появлении признаков дуоденита не следует заниматься самолечением различными народными средствами, которые могут быть только дополнительными методами терапии. В противном случае возможны тяжелые осложнения в форме кишечного кровотечения, синдрома мальабсорбции, язвенной болезни или непроходимости кишечника. Важно помнить, что дуоденит — это болезнь, которая хорошо поддается традиционному лечению, поэтому важно вовремя обращаться к врачу.
Прогноз
Прогноз при острой и хронической форме заболевания благоприятный. Полное выздоровление после острого дуоденита наступает практически всегда, если исключены факторы, оказывающие раздражающее действие на слизистую оболочку двенадцатиперстной кишки.
Если у пациента развиваются осложнения, прогноз для жизни остается благоприятным, а для здоровья сомнительный в связи с нарушением функции внутренних органов. В некоторых случаях при наличии рубцового поражения луковицы кишки, при частых обострениях язвенной болезни (3-4 раза в год и более), при снижении массы тела более, чем на 15%, анемии и других лабораторных отклонениях, дистрофии, а также в случае необходимости хирургического лечения, пациенту может быть присвоена инвалидность.
Вопрос-ответ
Как лечить дуоденит желудка?
Дуоденит инфекционной природы требует приема антибиотиков. Препарат подбирают индивидуально для снятия воспалительного процесса. Врач также назначает лекарства для снижения выработки желудочного сока и обволакивающие препараты для защиты слизистой. Восстановить пищеварение помогают ферменты.
Чем опасен дуоденит?
При язвенном дуодените образуются глубокие поражения тканей. При геморрагическом дуодените развиваются области кровоточивости, которые могут привести к серьезной кровопотере без достаточного лечения. Если развивается атрофический дуоденит, происходит замещение функциональных тканей слизистой с нарушением работы кишки.
Советы
СОВЕТ №1
Обратитесь к врачу для точной диагностики. Дуоденит может иметь различные причины, и только специалист сможет определить, что именно вызывает ваши симптомы. Не занимайтесь самолечением, так как это может усугубить ситуацию.
СОВЕТ №2
Соблюдайте диету, богатую легкоперевариваемыми продуктами. Избегайте острого, жирного и жареного, а также кофе и алкоголя. Включите в рацион больше овощей, фруктов и нежирного белка, чтобы снизить нагрузку на желудок и двенадцатиперстную кишку.
СОВЕТ №3
Следите за режимом питания. Регулярные приемы пищи небольшими порциями помогут избежать раздражения слизистой оболочки и снизят риск обострения дуоденита. Старайтесь не пропускать приемы пищи и не переедать.
СОВЕТ №4
Управляйте стрессом. Психоэмоциональное состояние может влиять на здоровье желудочно-кишечного тракта. Практикуйте методы релаксации, такие как йога или медитация, чтобы снизить уровень стресса и улучшить общее самочувствие.





