Глиома головного мозга: продолжительность жизни, симптомы, причины и лечение
Глиома головного мозга — это заболевание, включающее в себя группу опухолевых патологий, локализующихся в мозговых оболочках. Толчком к развитию глиом становятся патологических разросшиеся вспомогательные клетки нервной системы.
На глиомы приходится более половины всех новообразований головного мозга, заболевание поражает не только взрослых, но и детей. Продолжительность жизни пациентов зависит от степени новообразования.
Что это такое?
Глиома — это первичная опухоль головного мозга, имеющая специфическую симптоматику, позволяющую заподозрить наличие новообразования. Для точной диагностики заболевания принято использовать общепринятую всемирную классификацию болезней. Опухолям присвоен код по МКБ 10, описывающий причины возникновения, симптомы и существующие стадии злокачественности.
Врачи отмечают, что глиома головного мозга представляет собой одну из самых сложных и разнообразных опухолей центральной нервной системы. Специалисты подчеркивают, что ранняя диагностика играет ключевую роль в успешном лечении. Симптомы могут варьироваться от головной боли и судорог до изменений в когнитивных функциях, что затрудняет своевременное обращение к врачу.
Медики акцентируют внимание на важности мультидисциплинарного подхода в лечении глиом, который включает нейрохирургов, онкологов и радиологов. Современные методы, такие как магнитно-резонансная томография и биопсия, помогают точно определить тип опухоли и выбрать оптимальную стратегию лечения. Врачи также подчеркивают, что индивидуальный подход к каждому пациенту, учитывающий его возраст, общее состояние здоровья и стадию заболевания, значительно повышает шансы на успешный исход.
https://youtube.com/watch?v=8N6sKlSoAW0
Причины возникновения опухоли
Ученые выяснили, что новообразования появляются из-за бурного размножения незрелых глиальных клеток. Так появляются доброкачественные и раковые глиомы.
Опухоли формируются в сером или белом веществе вокруг центрального канала, в задней части гипофиза, клетках мозжечка или в сетчатке глаза. Глиома развивается медленно от объема небольшой крупинки до округлого тела диаметром 10 см. Метастазы распространяются в редких случаях. Точные причины роста раковой глиомы не определены, но ученые склоняются к мнению, что они кроются на генетическом уровне, когда нарушается структура гена ТР53.
Лечить это заболевание трудно именно по причине его малой изученности. Эта опухоль имеет четкие контуры и затрагивает один участок головного мозга. Метастазы почти никогда не развиваются.
Классификация
Глиомы включают в себя различные опухоли в зависимости от того, какие именно клетки подвергались патологическому воздействию. Так, возникать они могут из эпендимы, астроцитов и других клеток. Наибольшее распространение получили следующие виды:
- Эпендимома — занимает около восьми процентов среди всех новообразований мозга, по большей части поражает желудочки;
- Диффузная астроцитома — это заболевание встречается в каждом втором случае. Такая опухоль обычно располагается в белом веществе мозга. Чаще всего встречается глиома ствола головного мозга;
- Смешанные опухоли — включают в себя измененные клетки из вышеперечисленных видов, могут возникать в любом участке мозга;
- Олигодендроглиома — патология встречается в среднем у каждого десятого пациента из ста. Локализуется вдоль желудочков, может прорастать в кору мозга;
- Невриномы — опухоль берет свое начало из миелиновых оболочек, по характеру — доброкачественная, но может провоцировать озлокачествление тканей. Такой является глиома зрительного нерва или глиома хиазмы;
- Опухоли сосудов — редко встречающаяся патология головного мозга с прорастанием опухоли в сосуды;
- Нейронально-глиальные опухоли — самый редкий вид заболевания, включается в патологический процесс, как нейроны, так и глиальная ткань.
Глиома головного мозга — это заболевание, которое вызывает множество эмоций и обсуждений среди пациентов и их близких. Многие люди делятся своими историями о борьбе с этим недугом, подчеркивая важность поддержки и понимания со стороны окружающих. Некоторые отмечают, что информация о заболевании и его лечении помогает справиться с тревогой и неуверенностью. В социальных сетях можно встретить группы, где пациенты обмениваются опытом, советами и моральной поддержкой. Также часто упоминается необходимость ранней диагностики и регулярных обследований, что может значительно повысить шансы на успешное лечение. Важно, чтобы общество было осведомлено о глиоме и ее последствиях, ведь это способствует более глубокому пониманию проблемы и улучшению качества жизни тех, кто с ней сталкивается.
https://youtube.com/watch?v=l2kSeb92jpY
Симптомы глиомы
Симптомы растущей глиомы напрямую зависят от того, какой отдел мозга занимает эта опухоль. Новообразование сдавливает ткани и оболочки, что приводит к возникновению общемозговой симптоматики:
- Сильнейшим головным болям, которые не купируются приемом анальгетиков и спазмолитиков.
- Появлением тяжести в глазных яблоках.
- Тошнотой, возникающей как следствие болей в голове. Пациенты жалуются и на периодическую рвоту, возникающую также на пике приступа.
- Судорогам.
Если глиома сдавливает ликворные пути и желудочки мозга, то развивается гидроцефалия и повышается внутричерепное давление. Помимо общемозговых симптомов глиома влияет и на возникновение очаговых проявлений болезни, это:
- Головокружение.
- Шаткость при обычном движении.
- Нарушение зрения.
- Снижение слуха или шумы в ушах.
- Расстройство речевой функции.
- Снижение чувствительности.
- Понижение силы мышц, что становится причиной парезов и параличей.
У пациентов с глиомой головного мозга выявляются и психические изменения, выражающиеся расстройством всех видов памяти и мышления, определенными нарушениями поведенческой функции.
Стадии развития
Согласно международной классификации болезней, стадии опухолевого развития оцениваются по степени опасности для жизнедеятельности пациента. Принято делить заболевание на четыре группы или стадии развития:
- 1 степень — доброкачественное образование с тенденцией к медленному развитию. Имеет наиболее благоприятное течение болезни. При своевременно принятых мерах, удается продлить жизнь пациента до 8-10 лет. Этой степени соответствует врожденная доброкачественная глиома.
- 2 степень — опухоль начинает медленно, но с постоянством увеличиваться в размерах. Проявляются первые признаки перерождения в злокачественное образование. Признаки ухудшения проявляются в постоянном нарастании неврологических и других симптомов.
- 3 степень — анапластическая глиома. На третьем этапе заболевание имеет симптомы, характерные для злокачественного новообразования. Прогноз жизни не превышает 2-5 лет. Метастазирование в другие области тела отсутствует, но иногда наблюдается распространение онкологического заболевания в разные отделы полушарий.
- Прогноз при диффузной глиоме ствола головного мозга крайне неблагоприятный. Пациент редко живет больше 2 лет.
- 4 степень — объемное образование злокачественного характера с тенденцией к быстрому росту опухоли. Прогноз неблагоприятный. Срок жизни пациента до 1 года. На этом этапе диагностируется неоперабельная злокачественная глиома.
Диффузную глиому у маленьких пациентов лечат радиологическим методом. После кратковременного улучшения болезнь возвращается в более тяжелой форме.
https://youtube.com/watch?v=Npba_4aUxaM
Диагностика
Глиомы с низким коэффициентом злокачественного процесса очень редко диагностируют на первоначальных стадиях, потому что они могут не иметь клинических симптомов. В большинстве случаев их обнаруживают во время компьютерной или магнитно-резонансной томографии после черепно-мозговых травм или для обследования сосудистых болезней. В таких ситуациях исследования головного мозга назначают невропатологи. При потере зрения или слуха, пациенты обращаются к специалистам узкого направления, которые должны быть осведомлены о коварных патологиях в головном мозгу.
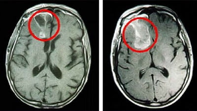
Для адекватной оценки глиомы головного мозга пациента направляют на магниторезонансную томографию. Именно этот вид диагностики позволяет точным образом в трехмерном изображении определить местоположение опухоли, ее объем и зону поражения.
В зависимости от симптоматики пациента могут направить на эхоэнцефалографию, мульти-воксальную или магниторезонансную спектроскопию или позитронно-эмиссионную томографию. Для самой точной постановки диагноза назначается биопсия ‒ микроскопическое исследование части биологического материала.
Лечение глиомы головного мозга
Единственный метод, помогающий добиться существенных улучшений в самочувствии пациента, это нейрохирургия мозга. Проведение операции осложнено тем, что любые ошибки хирурга приводят к серьезным нарушениям функций человеческого тела, парализации и летальному исходу.
Удаление глиомы головного мозга проводят с помощью нескольких методов:
| Эндоскопия | с помощью эндоскопа в полость черепа вводятся хирургические инструменты и видеокамера. После удаления опухоли проводится химиотерапия. Повторные операции по удалению глиомы требуются более чем в 50% случаев. |
| Радиотерапия | применяется на начальных стадиях рака и в качестве профилактического способа после проведения хирургического вмешательства. |
Глиома имеет генетические причины образования. Поэтому после операции опухоль может образоваться вновь. Использование препаратов генной инженерии позволяют сократить размеры злокачественного образования и облегчить операцию.
Эти новейшие препараты воздействуют на раковые клетки, убивая. Размеры опухоли не изменяются, пациент может жить дольше без болей. Препараты генной инженерии позволяют избежать повторной операции.
Продолжительность жизни
Глиомы, независимо от их локализации, относятся к группе неизлечимых патологий. Выживает только четверть больных, и к ним, прежде всего, относят тех, кто обратился на ранней стадии, а локализация их глиомы позволяет провести успешную операцию.
При высокой степени злокачественности люди живут от одного года и до двух лет. Но даже при эффективном лечении в 80% случаев возникает рецидив патологии.
Вопрос-ответ
Сколько живут с глиомой головного мозга?
— Сколько живут с глиобластомой в головном мозге? — Глиобластомы — самые проблематичные из злокачественных опухолей головного мозга. Средняя продолжительность жизни пациента с таким диагнозом была около года, 11,6 – 12,1 месяца — это достаточно короткий период.
Каков прогноз при глиоме головного мозга?
Прогноз глиомы головного мозга. Неполное удаление опухоли приводит к ее быстрому рецидивированию и лишь продлевает жизнь пациента. Если глиома головного мозга имеет высокую степень злокачественности, то в половине случаев больные погибают в течение года, и только четверть из них живет дольше 2 лет.
Какая самая опасная опухоль головного мозга?
Глиобластома – опухоль 4-й степени – наиболее опасная, агрессивно растущая опухоль, характеризующаяся наличием некроза. Образование не имеет четких границ, быстро прорастает в мозговую ткань, может поражать также спинной мозг и позвоночник.
От чего появляется глиома?
Причины возникновения глиомы, как и любой опухоли, возникают из-за мутаций, которые происходят в генах. В итоге клетки приобретают способность бесконтрольно размножаться, вторгаться в окружающие ткани.
Советы
СОВЕТ №1
Регулярно проходите медицинские обследования, особенно если у вас есть предрасположенность к заболеваниям головного мозга. Раннее выявление глиомы может значительно повысить шансы на успешное лечение.
СОВЕТ №2
Обратите внимание на изменения в своем здоровье и не игнорируйте симптомы, такие как головные боли, изменения в зрении или слухе, а также проблемы с координацией. Консультация с врачом может помочь определить, требуется ли дальнейшее обследование.
СОВЕТ №3
Изучите доступные варианты лечения и не стесняйтесь задавать вопросы своему врачу. Понимание процесса лечения и возможных побочных эффектов поможет вам лучше справляться с ситуацией и принимать обоснованные решения.
СОВЕТ №4
Поддерживайте здоровый образ жизни, включая сбалансированное питание и регулярные физические нагрузки. Это может помочь укрепить иммунную систему и улучшить общее состояние здоровья, что важно при борьбе с любым заболеванием.



