Симптомы и лечение менингиомы головного мозга — прогноз и последствия после удаления опухоли
Менингиома головного мозга — заболевание, которое развивается долго, но если это злокачественное новообразование, врачи отмечают его быстрый рост и распространение в другие ткани и органы. В этом случае прогнозом станет оперативное удаление вредоносных тканей.
Ученые нашли еще один не менее коварный вид менингиом — атипичный. Определение заболеванию дал американский нейрохирург Кушинг в 1922 году. При лечении атипичного вида заболевания кроме операции больному показана лучевая терапия, как и в случае злокачественной формы.
Что это такое?
Менингиома — опухоль головного мозга, в основном она имеет доброкачественный характер. На долю менингиом приходится около 15% всех опухолей головного мозга. Эта опухоль состоит из арахноидальной оболочки головного мозга. Большая часть доброкачественных менингиом имеет медленный рост и достигает больших размеров, оставаясь незамеченной. Рост возможен в нескольких частях головного мозга.
Менингиома располагается вдоль основания черепа и оболочки венозных синусов. Очень часто она встречается в парасагиттальном синусе, затылочном отверстии, в области больших полушарий мозга и мостомозжечковом углу.
Менингиома головного мозга вызывает значительный интерес у специалистов в области нейрохирургии и онкологии. Врачи отмечают, что это доброкачественная опухоль, которая развивается из оболочек мозга и может проявляться разнообразными симптомами, в зависимости от её расположения и размера. Многие специалисты подчеркивают важность ранней диагностики, так как это существенно влияет на прогноз и выбор метода лечения.
Некоторые врачи считают, что наблюдение за небольшими менингиомами может быть оправданным, если они не вызывают выраженных симптомов. Однако, если опухоль начинает давить на окружающие структуры, может потребоваться хирургическое вмешательство. Врачи также акцентируют внимание на том, что после удаления менингиомы важно проводить регулярные обследования, чтобы исключить риск рецидива. В целом, мнения врачей сходятся на том, что индивидуальный подход к каждому пациенту и мультидисциплинарная команда играют ключевую роль в успешном лечении этого заболевания.
https://youtube.com/watch?v=UAghN3ypZnk
Причины возникновения
Почему развивается менингиома, точно выяснить не удалось до сих пор. Известно, что в группу риска входят женщины, люди белой расы в возрасте 40-70 лет, пациенты с онкобольными родственниками, работники атомных станций (персонал, обслуживающий ядерные реакторы). Опасаться нужно ВИЧ-инфицированным, а также тем, кто имеет сниженный иммунитет и перенес операцию по трансплантации органа.
На менингиому головного мозга могут влиять следующие факторы:
- Радиационное облучение. Повышает риск заболевания, особенно при больших дозах.
- Возраст. Заболевание можно выявить у детей и подростков. Но в зоне наибольшего риска находятся люди в возрасте 40 — 70 лет.
- Пол. В два раза чаще опухоль находят у женщин, но мужчины наиболее склонны к злокачественному типу новообразования.
- Генетические нарушения. Увеличить риск развития менингиом может неврофиброматоз. С такими нарушениями возможно появление злокачественной опухоли или многоочаговой менингиомы.
- Гормоны. Риск возникновения менингиомы мозга связан с влиянием эстрогена, андрогена и прогестерона. Спровоцировать болезнь могут гормональные сбои во время менструального цикла, беременности и рака молочной железы.
Естественно, чтобы уберечь себя от развития опухоли, нужно стараться избегать воздействия этих факторов. Что касается генетических дефектов, то тут требуется квалифицированная помощь медиков.
Классификация
Представленная патология имеет разные виды и формы. Все зависит от доброкачественности образования, скорости ее роста и прогноза патологии. Существуют такие формы менингиомы:
- Атипическая, необычная. Ее нельзя считать злокачественной, хотя растет она гораздо быстрее. Даже после операции менингиома такой формы может появляться снова. Прогноз в этом случае относительно благоприятный, так как пациенту приходится постоянно находиться под диагностическим контролем.
- Типическая. Такая опухоль практически не представляет опасности для жизни. Растет она в головном мозге очень медленно, и ее можно удалить полностью. После операции случаи рецидивов болезни крайне редки. Прогноз жизни обычно положительный. Такая форма опухоли головного мозга встречается в 90-95% случаев.
- Злокачественная. Эта форма менингиомы самая опасная, хоть и фиксируется реже всех. Она быстро развивается и сильно разрушает клетки. Продолжительность жизни существенно уменьшается. Лечить патологию можно только хирургически, хотя такой способ практически не дает положительного эффекта. Прогноз в основном неблагоприятный.
Менингиома головного мозга — это опухоль, которая возникает из оболочек мозга. Многие люди, столкнувшиеся с этой проблемой, делятся своими переживаниями и опытом. Некоторые отмечают, что диагноз стал для них шоком, так как менингиомы часто не проявляют себя яркими симптомами. Однако, по мере роста опухоли, могут возникать головные боли, проблемы со зрением или координацией.
Пациенты рассказывают о важности ранней диагностики и регулярных обследований, особенно для тех, кто находится в группе риска. Многие отмечают, что после операции или радиотерапии качество жизни значительно улучшается, хотя путь к выздоровлению может быть долгим и трудным. Поддержка близких и общение с другими пациентами помогают справиться с эмоциональными трудностями. В целом, люди стремятся делиться своим опытом, чтобы повысить осведомленность о менингиомах и помочь другим в подобной ситуации.
https://youtube.com/watch?v=Cyr1crUcFbY
Локализация
Наиболее часто внутричерепные менингиомы располагаются парасагиттально и на фальксе (25%). Конвекситально в 19% случаев. На крыльях основной кости — 17%. Супраселлярно — 9%. Задняя черепная ямка — 8%. Ольфакторная ямка — 8%. Средняя черепная ямка — 4%. Намет мозжечка — 3%. В боковых желудочках, большом затылочном отверстии и зрительном нерве по 2%.
Поскольку паутинная мозговая оболочка покрывает и спинной мозг, то возможно и развитие так называемых спинальных менингиом. Данный вид новообразований является самой частой интрадуральной экстрамедуллярной опухолью спинного мозга у человека.
Симптомы
Специфической неврологической симптоматики у менингиом нет. Зачастую заболевание может протекать бессимптомно годами, а первым его проявлением в большинстве случаев становится головная боль. Она так же не носит специфического характера и чаще всего представляется больному как тупая, ноющая, распирающая, разлитая боль в лобно-височной области с двух сторон в ночные и утренние часы.
В целом менингиома головного мозга проявляется в виде общемозговых и локальных признаков. В первом случае у больного появляются симптомы, свидетельствующие об ухудшении кровоснабжения мозга и давлении образования на мозговые центры:
- головокружение;
- головная боль, возникающая предпочтительно после сна;
- тошнота;
- слабость;
- снижение остроты зрения, двоение в глазах;
- снижение концентрации и памяти;
- судороги конечностей;
- эпилептические припадки;
- беспричинная смена настроения — от состояния эйфории до депрессии, уныния и раздражительности.
Локальные симптомы (очаговые) проявляются в зависимости от места расположения опухоли:
- слепота — при образовании, затрагивающем бугорок турецкого седла;
- нарушение координации и двигательных функций — при образовании менингиомы в черепной ямке, расположенной на затылке;
- снижение речевых функций и слуха — при локализации опухоли в височных долях;
- снижение обоняния — при опухоли, поражающей основание лобных долей;
- выпячивание глаза — при поражении опухолью орбиты глаза
- глазодвигательные расстройства — при менингиоме, развивающейся в крыле основной кости.
Симптомы заболевания зависят от расположения опухоли и могут выражаться в виде слабости в конечностях (парезов); снижении остроты зрения и выпадении полей зрения; появления двоения в глазах и опущения века; нарушений чувствительности в различных участках тела; эпилептических приступов; появлению психо-эмоциональных расстройств; просто головных болей. Запущенные стадии заболевания, когда менингиома достигая больших размеров вызывает отёк и сдавление мозговой ткани, что приводит к резкому повышению внутричерепного давления, проявляются обычно сильными головными болями с тошнотой, рвотой, угнетением сознания и реальной угрозой жизни пациента.
https://youtube.com/watch?v=C-pXyKyGRFQ
Диагностика менингиомы
Наиболее информативными способами диагностики при менингиоме остаются следующие:
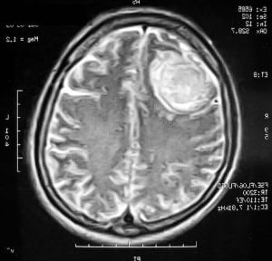
- МРТ — магнитно-резонансная томография является абсолютно безопасной, поэтому часто используется для проверки состояния пациента на ранних дооперационных стадиях и в период послеоперационного восстановления. МРТ помогает распознать рецидив заболевания, а также определить наличие опухоли при объеме всего в несколько миллиметров.
- Компьютерная томография — обследование проводится с контрастным усилением. КТ признаки указывают на наличие опухоли, а также помогают выявить природу новообразования, не прибегая к дополнительным диагностическим процедурам. Злокачественная опухоль имеет тенденцию накапливать контраст в своих тканях, что и становится очевидным на снимке КТ.
Для получения общей картины заболевания, потребуется провести несколько клинических анализов и диагностических процедур. Обязательно проводится исследование крови. Может потребоваться провести спинномозговую пункцию на обнаружение онкомаркеров, а также ангиографию, для определения степени поражения сосудов.
Как лечить менингиому?
На выбор алгоритма лечения менингиомы головного мозга влияет большое количество моментов:
- размеры опухоли;
- ее тип;
- расположение;
- симптомы, провоцируемые опухолью;
- состояние больного;
- его способность выдержать процедуру.
При лечении применяется 4 подхода:
- Динамическое наблюдение за развитием опухоли — тактика ожидания. Включает постоянное наблюдение за менингиомой посредством МРТ, которая осуществляется раз полгода. Для больных с крупными опухолями, которые имеют выраженную симптоматику, такой способ не используется. Подходит он для людей пожилого возраста или лиц с серьезными отклонениями в состоянии здоровья, не дающими проводить более основательное лечение.
- Традиционная лучевая терапия — назначается при многочисленных злокачественных опухолях, которые трудно локализовать, либо же при лечении очень крупных для радиохирургии образований. Для большинства опухолей мозга стандартное лечение лучом не является настолько успешным способом лечения, как радиохирургия, и, поэтому остается не соновным способом.
- Хирургическое удаление менингиомы головного мозга — операция по оперативному удалению менингиомы, имеет огромное количество преимуществ. Если образование доброкачественное и может быть полностью иссечено, то вероятность излечения очень большая. Кроме того, удаление опухоли дает материал для более точной постановки диагноза.
- Стереотаксическая радиохирургия — применение нацеленных пучков излучения, уничтожающих клетки опухоли без вреда для окружающих непораженных тканей.
Основным методом лечения менингиомы считается ее хирургическое удаление. При поверхностном расположении опухоли операция дает полное излечение, а удаление такого образования обычно не составляет большого труда: хирург выполняет трепанацию черепа и иссекает новообразование. При необходимости производится пластика образовавшегося дефекта собственными тканями или синтетическими материалами. Во время нейрохирургических операций задействована микроскопическая техника, системы нейровизуализации и контроля за ходом вмешательства.
Если опухоль сращена с окружающими тканями, к ней плотно прилежат сосуды и нервные волокна, то операция может быть затруднительна и опасна, а полное удаление опухолевой ткани становится невозможным. В таких случаях можно оставить часть опухоли, а для прекращения ее дальнейшего роста дополнить операцию лучевой терапией.
Лечение без операции показано пациентам, которым нельзя удалить опухоль хирургически ввиду ее глубокого расположения и риска осложнений. При тяжелом состоянии больного и наличии сопутствующей патологии, когда операция и общий наркоз крайне нежелательны или противопоказаны, радиохирургия становится методом выбора.
Восстановление после удаления менингиомы
Поле хирургического вмешательства больной некоторое время проводит в больнице под контролем врачей. Далее его выписывают, и реабилитация осуществляется в домашних условиях. Пациенту и его родным нужно быть постоянно начеку, чтобы при возникновении рецидива вовремя выявить его. После операции возможны кровопотери, инфекции, даже если все было сделано с соблюдением правил.
Если человек неожиданно начинает терять зрение, память, его начинают мучить головные боли, необходимо обратиться к врачу. Важно постоянно наблюдаться у нейрохирурга, посещать курсы лучевой терапии, особенно, если была удалена только часть опухоли. Для полного восстановления могут понадобиться дополнительные процедуры (иглоукалывание), прием препаратов, снижающих внутричерепное давление, занятия лечебной физкультурой.
Последствия и прогноз
Рецидивирование при менингиоме головного мозга затрагивает все три ее вида. Для доброкачественных опухолей возможность рецидива составляет 3%, атипичных — 38%, злокачественных — 78%.
Место ее расположения влияет на 5-летний индекс рецидивирования. Наименьший показатель у новообразований у свода черепа (3%), для области турецкого седла — 19%, тела клиновидной кости — 34%. Наиболее высокий коэффициент индекса при возникновении менингиомы у крыльев клиновидной кости и пещеристого синуса (60-100%).
Опухоль III степени при всех принятых мероприятиях лечения увеличивает продолжительности жизни на 2-3 года. Чем моложе пациент, тем благоприятнее его прогноз.
Лучший результат достигается при полном удалении опухоли.
Вопрос-ответ
Чем опасна менингиома головного мозга?
Когда опухоль достигает больших размеров, она сдавливает головной мозг, приводит к его отеку и увеличению внутричерепного давления. В таких случаях состояние пациента сильно ухудшается. Кроме сильной головной боли появляются тошнота и рвота, угнетается сознание и существенно повышается риск летального исхода.
Как определить, доброкачественная ли менингиома или злокачественная?
Перфузионная МРТ: Использование перфузионной МРТ позволяет измерить кровоток внутри менингиомы, что предоставляет важные данные о ее сосудистой структуре. Этот метод также способен различать доброкачественные и злокачественные формы менингиом между собой.
Советы
СОВЕТ №1
Обязательно проконсультируйтесь с врачом, если у вас появились симптомы, такие как головные боли, изменения в зрении или слухе, а также проблемы с координацией. Раннее выявление менингиомы может значительно улучшить прогноз.
СОВЕТ №2
Изучите доступные методы лечения менингиомы, включая хирургическое вмешательство, радиотерапию и наблюдение. Понимание различных подходов поможет вам и вашему врачу выбрать наиболее подходящий вариант.
СОВЕТ №3
Поддерживайте здоровый образ жизни, включая сбалансированное питание и регулярные физические нагрузки. Это может помочь укрепить иммунную систему и улучшить общее состояние здоровья, что важно при лечении любых заболеваний.
СОВЕТ №4
Не стесняйтесь обращаться за поддержкой к близким или группам поддержки. Эмоциональная поддержка может быть важной частью процесса лечения и восстановления, особенно при столкновении с диагнозом менингиомы.




